Tested Applications
| Positive WB detected in | 37°C incubated mouse kidney tissue |
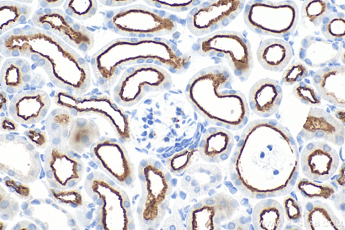
| Positive IHC detected in | mouse kidney tissue Note: suggested antigen retrieval with TE buffer pH 9.0; (*) Alternatively, antigen retrieval may be performed with citrate buffer pH 6.0 |
| Positive IF-P detected in | mouse small intestine tissue, mouse kidney tissue |
Recommended dilution
| Application | Dilution |
|---|---|
| Western Blot (WB) | WB : 1:500-1:3000 |
| Immunohistochemistry (IHC) | IHC : 1:1000-1:4000 |
| Immunofluorescence (IF)-P | IF-P : 1:50-1:500 |
| It is recommended that this reagent should be titrated in each testing system to obtain optimal results. | |
| Sample-dependent, Check data in validation data gallery. | |
Product Information
33559-1-AP targets SLC9A3/NHE3 in WB, IHC, IF-P, ELISA applications and shows reactivity with human, mouse samples.
| Tested Reactivity | human, mouse |
| Host / Isotype | Rabbit / IgG |
| Class | Polyclonal |
| Type | Antibody |
| Immunogen |
CatNo: Ag38302 Product name: Recombinant human SLC9A3 protein Source: e coli.-derived, PGEX-4T Tag: GST Domain: 750-834 aa of BC101669 Sequence: AGIDNPVFSPDEALDRSLLARLPPWLSPGETVVPSQRARTQIPYSPGTFRRLMPFRLSSKSVDSFLQADGPEERPPAALPESTHM Predict reactive species |
| Full Name | solute carrier family 9 (sodium/hydrogen exchanger), member 3 |
| Calculated Molecular Weight | 834 aa, 93 kDa |
| Observed Molecular Weight | 80-100 kDa |
| GenBank Accession Number | BC101669 |
| Gene Symbol | NHE3 |
| Gene ID (NCBI) | 6550 |
| Conjugate | Unconjugated |
| Form | Liquid |
| Purification Method | Antigen affinity Purification |
| UNIPROT ID | P48764 |
| Storage Buffer | PBS with 0.02% sodium azide and 50% glycerol, pH 7.3. |
| Storage Conditions | Store at -20°C. Stable for one year after shipment. Aliquoting is unnecessary for -20oC storage. 20ul sizes contain 0.1% BSA. |
Background Information
SLC9A3, also known as NHE3, belongs to the sodium hydrogen exchange protein family (NHE) and is mainly responsible for regulating the concentration of sodium and hydrogen ions inside and outside the cell. SLC9A3 is a Major apical Na+/H+ exchanger in kidney and intestine, playing an important role in renal and intestine Na+ absorption and blood pressure regulation (PMID:24622516, 2635877). Mutations in SLC9A3 cause Congenital Sodium Diarrhea (PMID: 26358773, 31276831).
Protocols
| Product Specific Protocols | |
|---|---|
| IF protocol for SLC9A3/NHE3 antibody 33559-1-AP | Download protocol |
| IHC protocol for SLC9A3/NHE3 antibody 33559-1-AP | Download protocol |
| WB protocol for SLC9A3/NHE3 antibody 33559-1-AP | Download protocol |
| Standard Protocols | |
|---|---|
| Click here to view our Standard Protocols |







