Tested Applications
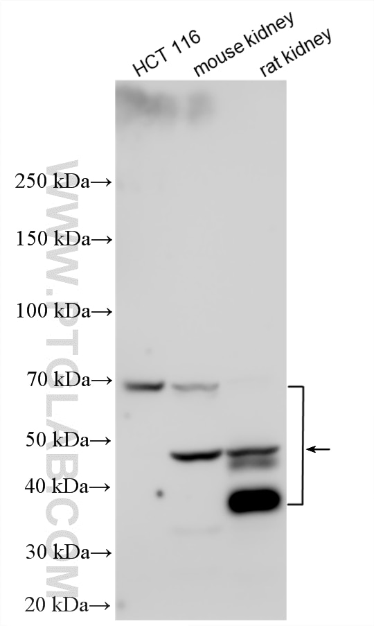
| Positive WB detected in | HCT 116 cells, mouse kindey tissue, rat kidney tissue |
Recommended dilution
| Application | Dilution |
|---|---|
| Western Blot (WB) | WB : 1:500-1:2000 |
| It is recommended that this reagent should be titrated in each testing system to obtain optimal results. | |
| Sample-dependent, Check data in validation data gallery. | |
Product Information
34030-1-AP targets ST6GAL1 in WB, ELISA applications and shows reactivity with human, mouse, rat samples.
| Tested Reactivity | human, mouse, rat |
| Host / Isotype | Rabbit / IgG |
| Class | Polyclonal |
| Type | Antibody |
| Immunogen |
CatNo: Eg5252 Product name: Recombinant rat ST6GAL1 protein Source: mammalian cells-derived, V37 Tag: C-rFc Domain: 27-403 aa of NM_001113344.1 Sequence: KKGSDYEALTLQAKEFQMPKSQEKVAMGSASQVVFSNSKQDPKEDIPILSYHRVTAKVKPQPSFQVWDKDSTYSKLNPRLLKIWRNYLNMNKYKVSYKGPGPGVKFSVEALRCHLRDHVNVSMIEATDFPFNTTEWEGYLPKENFRTKVGPWQRCAVVSSAGSLKNSQLGREIDNHDAVLRFNGAPTDNFQQDVGSKTTIRLMNSQLVTTEKRFLKDSLYTEGILIVWDPSVYHADIPKWYQKPDYNFFETYKSYRRLNPSQPFYILKPQMPWELWDIIQEISADLIQPNPPSSGMLGIIIMMTLCDQVDIYEFLPSKRKTDVCYYHQKFFDSACTMGAYHPLLFEKNMVKHLNEGTDEDIYLFGKATLSGFRNIRC Predict reactive species |
| Full Name | ST6 beta-galactosamide alpha-2,6-sialyltranferase 1 |
| Calculated Molecular Weight | 47 kDa |
| Observed Molecular Weight | 43-45 kDa, 50-70 kDa |
| GenBank Accession Number | NM_001113344.1 |
| Gene Symbol | ST6GAL1 |
| Gene ID (NCBI) | 25197 |
| Conjugate | Unconjugated |
| Form | Liquid |
| Purification Method | Antigen affinity Purification |
| UNIPROT ID | P13721-1 |
| Storage Buffer | PBS with 0.02% sodium azide and 50% glycerol, pH 7.3. |
| Storage Conditions | Store at -20°C. Stable for one year after shipment. Aliquoting is unnecessary for -20oC storage. 20ul sizes contain 0.1% BSA. |
Background Information
ST6GAL1 (β-galactoside α-2-6 sialyl transferase1; also known as ST6N or CD75) is a sialyltransferase mediating the glycosylation of proteins and lipids to form functionally important glycoproteins and glycolipids in the Golgi compartment. It is principally expressed in liver, placenta, and skeletal muscle. ST6GAL1 undergoes proteolytic process to generate soluble form from membrane form. Higher molecular weight of bands around 50-70 kDa can also be observed with glycosylation modification. (PMID: 15049997, 23358684)
Protocols
| Product Specific Protocols | |
|---|---|
| WB protocol for ST6GAL1 antibody 34030-1-AP | Download protocol |
| Standard Protocols | |
|---|---|
| Click here to view our Standard Protocols |

