TBC1D7 Polyclonal antibody

TBC1D7 Polyclonal Antibody for WB, IP, ELISA
Cat No. 20769-1-AP

Host / Isotype

Rabbit / IgG

Reactivity

human, mouse

Applications

WB, IP, ELISA

PIG51, TBC1 domain family member 7, TBC1 domain family, member 7, TBC7

Formulation:  PBS, Azide, Glycerol
PBS, Azide, Glycerol
Conjugate:  Unconjugated
Unconjugated
Size/Concentration: 

-/ -

Freight/Packing: -

Quantity

Please visit your regions distributor:


Tested Applications

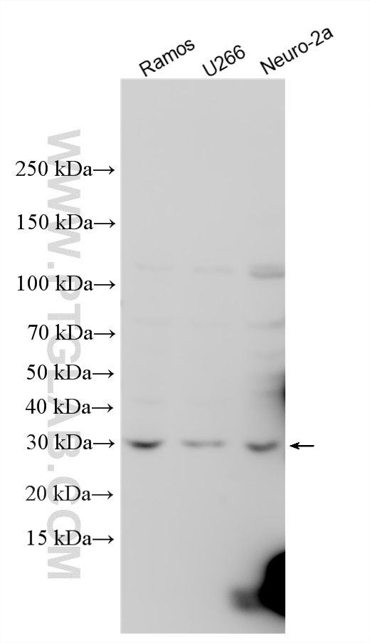
Positive WB detected inRamos cells, human placenta tissue, U266 cells, Neuro-2a cells
Positive IP detected inNeuro-2a cells, HeLa cells

Recommended dilution

ApplicationDilution
Western Blot (WB)WB : 1:500-1:1000
Immunoprecipitation (IP)IP : 0.5-4.0 ug for 1.0-3.0 mg of total protein lysate
It is recommended that this reagent should be titrated in each testing system to obtain optimal results.
Sample-dependent, Check data in validation data gallery.

Product Information

20769-1-AP targets TBC1D7 in WB, IP, ELISA applications and shows reactivity with human, mouse samples.

Tested Reactivity human, mouse
Host / Isotype Rabbit / IgG
Class Polyclonal
Type Antibody
Immunogen

CatNo: Ag14756

Product name: Recombinant human TBC1D7 protein

Source: e coli.-derived, PGEX-4T

Tag: GST

Domain: 1-293 aa of BC007054

Sequence: MTEDSQRNFRSVYYEKVGFRGVEEKKSLEILLKDDRLDTEKLCTFSQRFPLPSMYRALVWKVLLGILPPHHESHAKVMMYRKEQYLDVLHALKVVRFVSDATPQAEVYLRMYQLESGKLPRSPSFPLEPDDEVFLAIAKAMEEMVEDSVDCYWITRRFVNQLNTKYRDSLPQLPKAFEQYLNLEDGRLLTHLRMCSAAPKLPYDLWFKRCFAGCLPESSLQRVWDKVVSGSCKILVFVAVEILLTFKIKVMALNSAEKITKFLENIPQDSSDAIVSKAIDLWHKHCGTPVHSS

Predict reactive species
Full Name TBC1 domain family, member 7
Calculated Molecular Weight 293 aa, 34 kDa
Observed Molecular Weight 30 kDa
GenBank Accession NumberBC007054
Gene Symbol TBC1D7
Gene ID (NCBI) 51256
Conjugate Unconjugated
FormLiquid
Purification MethodAntigen affinity purification
UNIPROT IDQ9P0N9
Storage Buffer PBS with 0.02% sodium azide and 50% glycerol, pH 7.3.
Storage ConditionsStore at -20°C. Stable for one year after shipment. Aliquoting is unnecessary for -20oC storage. 20ul sizes contain 0.1% BSA.

Background Information

TBC1D7 is a member of the TBC-domain containing protein family. The encoded protein functions as a subunit of the tuberous sclerosis TSC1-TSC2 complex which plays a role in the regulation of cellular growth and differentiation. Mutations in this gene have been associated with autosomal recessive megalencephaly.

Protocols

Product Specific Protocols
IP protocol for TBC1D7 antibody 20769-1-APDownload protocol
WB protocol for TBC1D7 antibody 20769-1-APDownload protocol
Standard Protocols
Click here to view our Standard Protocols
Loading...
||
New chat

Able

正在加载,请稍候...