Tested Applications
| Positive WB detected in | K-562 cells, NIH/3T3 cells, RAW 264.7 cells, mouse spleen tissue |
| Positive IF/ICC detected in | NIH/3T3 cells |
Recommended dilution
| Application | Dilution |
|---|---|
| Western Blot (WB) | WB : 1:5000-1:20000 |
| Immunofluorescence (IF)/ICC | IF/ICC : 1:200-1:800 |
| It is recommended that this reagent should be titrated in each testing system to obtain optimal results. | |
| Sample-dependent, Check data in validation data gallery. | |
Product Information
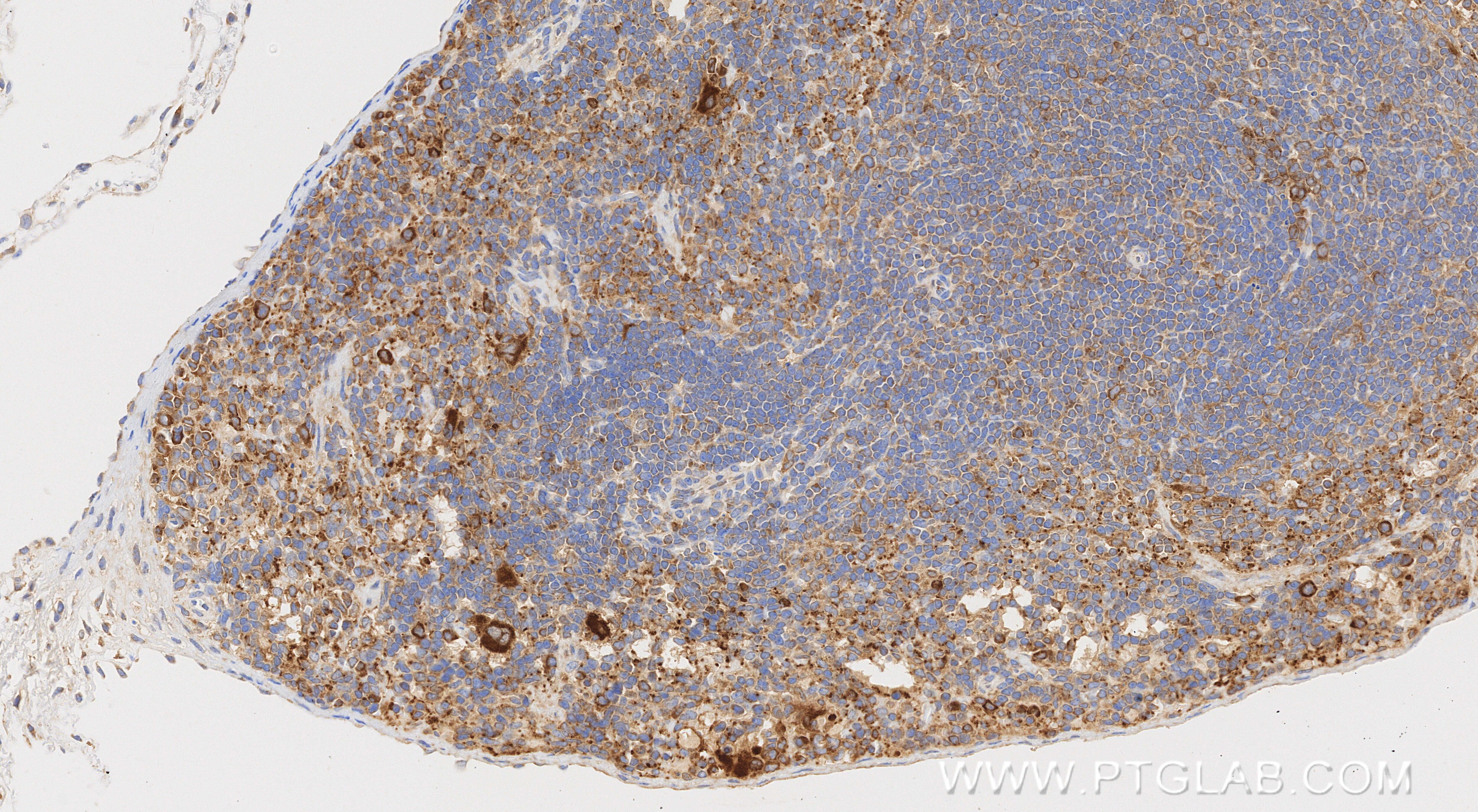
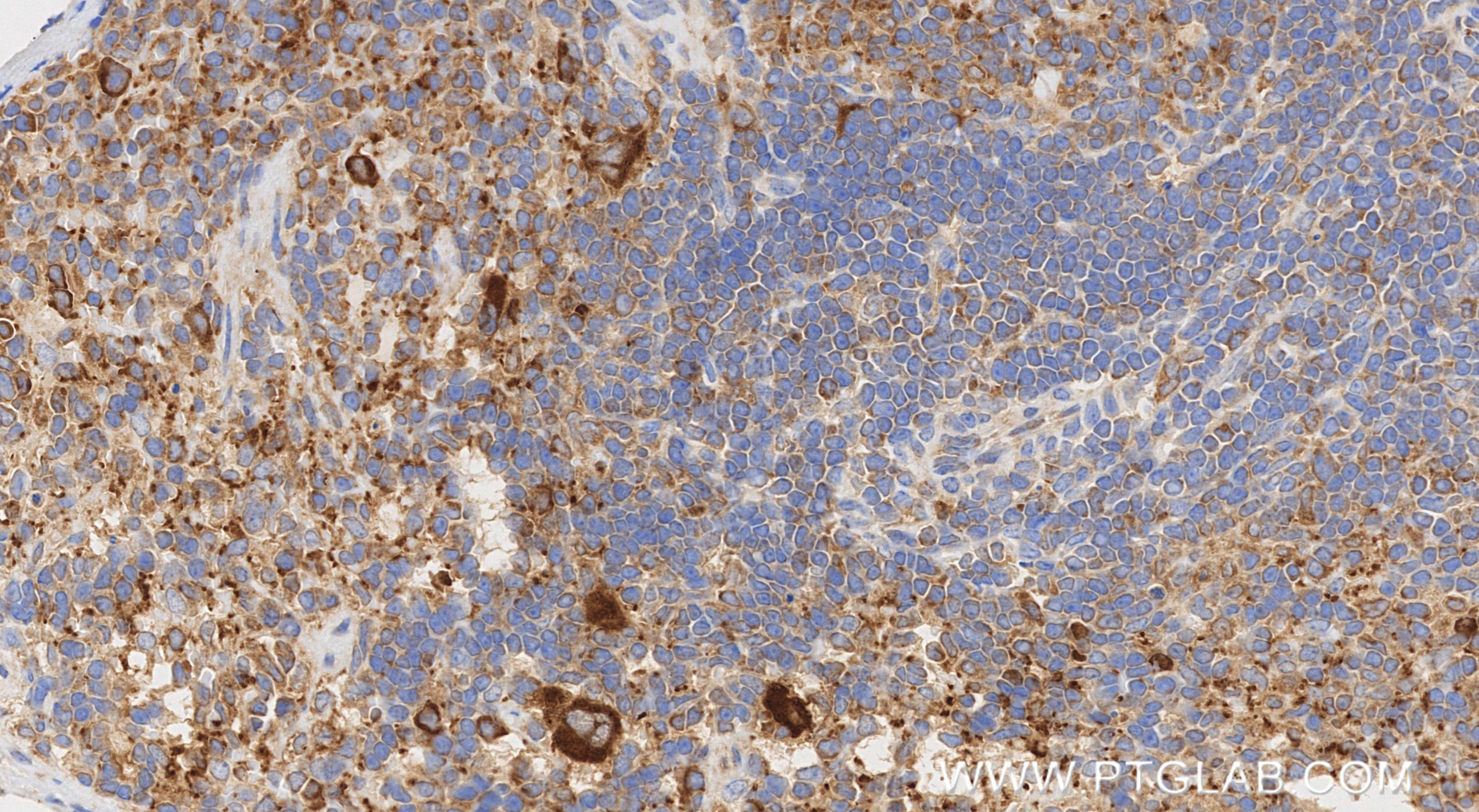
80458-2-RR targets TGF beta 1 in WB, IF/ICC, ELISA applications and shows reactivity with human, mouse samples.
| Tested Reactivity | human, mouse |
| Host / Isotype | Rabbit / IgG |
| Class | Recombinant |
| Type | Antibody |
| Immunogen |
CatNo: Eg3734 Product name: Recombinant mouse Tgfb1 protein Source: mammalian cells-derived, pHZ-KIsec-C-rFc Tag: C-rFc Domain: 30-390 aa of NM-011577 Sequence: LSTCKTIDMELVKRKRIEAIRGQILSKLRLASPPSQGEVPPGPLPEAVLALYNSTRDRVAGESADPEPEPEADYYAKEVTRVLMVDRNNAIYEKTKDISHSIYMFFNTSDIREAVPEPPLLSRAELRLQRLKSSVEQHVELYQKYSNNSWRYLGNRLLTPTDTPEWLSFDVTGVVRQWLNQGDGIQGFRFSAHCSCDSKDNKLHVEINGISPKRRGDLGTIHDMNRPFLLLMATPLERAQHLHSSRHRRALDTNYCFSSTEKNCCVRQLYIDFRKDLGWKWIHEPKGYHANFCLGPCPYIWSLDTQYSKVLALYNQHNPGASASPCCVPQALEPLPIVYYVGRKPKVEQLSNMIVRSCKCS Predict reactive species |
| Full Name | transforming growth factor, beta 1 |
| Observed Molecular Weight | 48 kDa |
| GenBank Accession Number | NM-011577 |
| Gene Symbol | TGF beta 1 |
| Gene ID (NCBI) | 21803 |
| Conjugate | Unconjugated |
| Form | Liquid |
| Purification Method | Protein A purification |
| UNIPROT ID | P04202 |
| Storage Buffer | PBS with 0.02% sodium azide and 50% glycerol, pH 7.3. |
| Storage Conditions | Store at -20°C. Stable for one year after shipment. Aliquoting is unnecessary for -20oC storage. 20ul sizes contain 0.1% BSA. |
Background Information
TGF beta 1 is a potent cytokine capable of regulating multiple cellular processes including cell proliferation, differentiation, wound healing, and immune response. TGF beta 1 is identified in various immune cells and its activity varies in different cell types or cells at different developmental stages1. TGF beta 1 functions by binding to the TGFβ1 receptors, which subsequently activate the canonical SMAD pathway or non-canonical signaling cascades, such as the mitogen-activated protein kinase (MAPK) pathway, phosphatidylinositol-3 kinase and AKT (PI3K-AKT), and Rho family of GTPases (Rho GTPase). What is special about TGF beta 1 is its context-dependent nature that is particularly true for tumors. Full-length, inactive 44 kD TGFB1 is cleaved into mature TGFB1 (13 kD). TGFB1 also homodimerizes and heterodimerizes with TGFB2, so there is potential for multiple different band sizes in WB (12, 25, 45 to 65 kDa).
Protocols
| Product Specific Protocols | |
|---|---|
| IF protocol for TGF beta 1 antibody 80458-2-RR | Download protocol |
| IHC protocol for TGF beta 1 antibody 80458-2-RR | Download protocol |
| WB protocol for TGF beta 1 antibody 80458-2-RR | Download protocol |
| Standard Protocols | |
|---|---|
| Click here to view our Standard Protocols |







