TMCC3 Polyclonal antibody

TMCC3 Polyclonal Antibody for WB, ELISA
Cat No. 32730-1-AP

Host / Isotype

Rabbit / IgG

Reactivity

human

Applications

WB, ELISA

KIAA1145, Q9ULS5, Transmembrane and coiled-coil domain protein 3

Formulation:  PBS, Azide, Glycerol
PBS, Azide, Glycerol
Conjugate:  Unconjugated
Unconjugated
Size/Concentration: 

-/ -

Freight/Packing: -

Quantity

Please visit your regions distributor:


Tested Applications

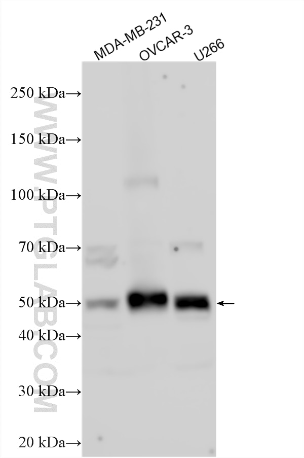
Positive WB detected inMDA-MB-231 cells, OVCAR-3 cells, U266 cells

Recommended dilution

ApplicationDilution
Western Blot (WB)WB : 1:2000-1:16000
It is recommended that this reagent should be titrated in each testing system to obtain optimal results.
Sample-dependent, Check data in validation data gallery.

Product Information

32730-1-AP targets TMCC3 in WB, ELISA applications and shows reactivity with human samples.

Tested Reactivity human
Host / Isotype Rabbit / IgG
Class Polyclonal
Type Antibody
Immunogen

CatNo: Ag38430

Product name: Recombinant human TMCC3 protein

Source: e coli.-derived, PGEX-4T

Tag: GST

Domain: 120-250 aa of NM_001301036.1

Sequence: QKSAHSIAQLQKKLEQYHRKLREIEQNGASRSSKDISKDHLKDIHRSLKDAHVKSRTAPHCMESSKSGMPGVSLTPPVFVFNKSREFANLIRNKFGSADNIAHLKNSLEEFRPEASARAYGGSATIVNKPK

Predict reactive species
Full Name transmembrane and coiled-coil domain family 3
Calculated Molecular Weight54kDa,477aa
Observed Molecular Weight54 kDa
GenBank Accession NumberNM_001301036.1
Gene Symbol TMCC3
Gene ID (NCBI) 57458
Conjugate Unconjugated
FormLiquid
Purification MethodAntigen affinity Purification
UNIPROT IDQ9ULS5
Storage Buffer PBS with 0.02% sodium azide and 50% glycerol, pH 7.3.
Storage ConditionsStore at -20°C. Stable for one year after shipment. Aliquoting is unnecessary for -20oC storage. 20ul sizes contain 0.1% BSA.

Background Information

TMCC3 is a member of the transmembrane and coiled-coil domain (TMCC) family of proteins, which are integral membrane proteins localized in the endoplasmic reticulum (ER). The TMCC family consists of three members: TMCC1, TMCC2, and TMCC3, which are conserved from nematodes to humans. (PMID: 33742122)

Protocols

Product Specific Protocols
WB protocol for TMCC3 antibody 32730-1-APDownload protocol
Standard Protocols
Click here to view our Standard Protocols
Loading...
||
New chat

Able

正在加载,请稍候...