Tested Applications
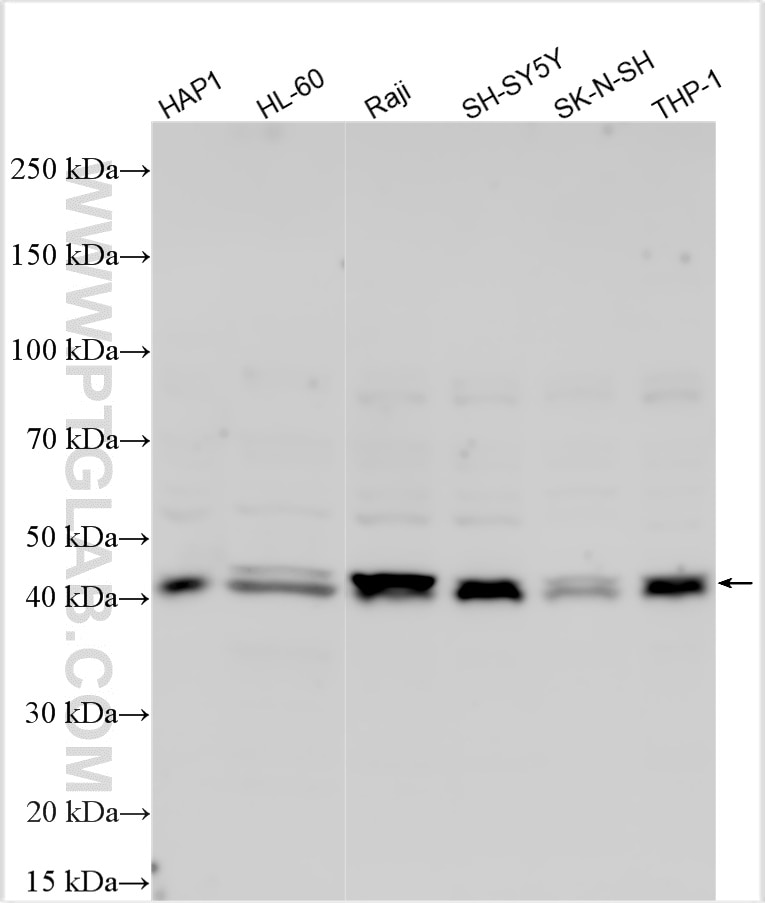
| Positive WB detected in | HAP1 cells, HL-60 cells, HeLa cells, Raji cells, SH-SY5Y cells, SK-N-SH cells, THP-1 cells |
Recommended dilution
| Application | Dilution |
|---|---|
| Western Blot (WB) | WB : 1:500-1:1000 |
| It is recommended that this reagent should be titrated in each testing system to obtain optimal results. | |
| Sample-dependent, Check data in validation data gallery. | |
Product Information
33056-1-AP targets TRMT10B in WB, ELISA applications and shows reactivity with human samples.
| Tested Reactivity | human |
| Host / Isotype | Rabbit / IgG |
| Class | Polyclonal |
| Type | Antibody |
| Immunogen |
CatNo: Ag36835 Product name: Recombinant human RG9MTD3 protein Source: e coli.-derived, PGEX-4T Tag: GST Domain: 1-140 aa of BC012175 Sequence: MDWKLEGSTQKVESPVLQGQEGILEETGEDGLPEGFQLLQIDAEGECQEGEILATGSTAWCSKNVQRKQRHWEKIVAAKKSKRKQEKERRKANRAENPGICPQHSKRFLRALTKDKLLEAKHSGPRLCIDLSMTHYMSKK Predict reactive species |
| Full Name | RNA (guanine-9-) methyltransferase domain containing 3 |
| Calculated Molecular Weight | 36 kDa |
| Observed Molecular Weight | 40 kDa |
| GenBank Accession Number | BC012175 |
| Gene Symbol | RG9MTD3 |
| Gene ID (NCBI) | 158234 |
| Conjugate | Unconjugated |
| Form | Liquid |
| Purification Method | Antigen affinity Purification |
| UNIPROT ID | Q6PF06 |
| Storage Buffer | PBS with 0.02% sodium azide and 50% glycerol, pH 7.3. |
| Storage Conditions | Store at -20°C. Stable for one year after shipment. Aliquoting is unnecessary for -20oC storage. 20ul sizes contain 0.1% BSA. |
Background Information
The TRM10 family of methyltransferases is responsible for the N1-methylation of purines at position 9 of tRNAs in Archaea and Eukarya. The human genome encodes three TRM10-type enzymes. TRMT10B is the first m1A9-specific tRNA methyltransferase found in eukaryotes and is responsible for the modification of a single nuclear-encoded tRNA. Furthermore, we show that the lack of G9 methylation causes a decrease in the steady-state levels of the initiator tRNAiMet-CAT and an alteration in its further post-transcriptional modification (PMID: 32392304).
Protocols
| Product Specific Protocols | |
|---|---|
| WB protocol for TRMT10B antibody 33056-1-AP | Download protocol |
| Standard Protocols | |
|---|---|
| Click here to view our Standard Protocols |

