Tested Applications
| Positive WB detected in | LNCaP cells, HEK-293 cells, HeLa cells, HepG2 cells, Jurkat cells, K-562 cells, HSC-T6 cells, NIH/3T3 cells, 4T1 cells |
Recommended dilution
| Application | Dilution |
|---|---|
| Western Blot (WB) | WB : 1:5000-1:50000 |
| It is recommended that this reagent should be titrated in each testing system to obtain optimal results. | |
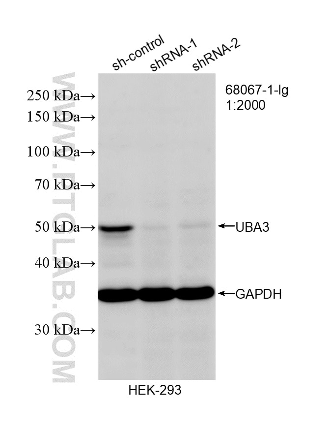
| Sample-dependent, Check data in validation data gallery. | |
Published Applications
| WB | See 1 publications below |
Product Information
68067-1-Ig targets UBA3 in WB, ELISA applications and shows reactivity with human, mouse, rat samples.
| Tested Reactivity | human, mouse, rat |
| Host / Isotype | Mouse / IgG1 |
| Class | Monoclonal |
| Type | Antibody |
| Immunogen |
CatNo: Ag31051 Product name: Recombinant human UBA3 protein Source: e coli.-derived, PET28a Tag: 6*His Domain: 1-300 aa of BC022853 Sequence: MADGEEPERKRRRIEELLAEKMAVDGGCGDTGDWEGRWNHVKKFLERSGPFTHPDFEPSTESLQFLLDTCKVLVIGAGGLGCELLKNLALSGFRQIHVIDMDTIDVSNLNRQFLFRPKDIGRPKAEVAAEFLNDRVPNCNVVPHFNKIQDFNDTFYRQFHIIVCGLDSIIARRWINGMLISLLNYEDGVLDPSSIVPLIDGGTEGFKGNARVILPGMTACIECTLELYPPQVNFPMCTIASMPRLPEHCIEYVRMLQWPKEQPFGEGVPLDGDDPEHIQWIFQKSLERASQYNIRGVTYR Predict reactive species |
| Full Name | ubiquitin-like modifier activating enzyme 3 |
| Calculated Molecular Weight | 463 aa, 52 kDa |
| Observed Molecular Weight | 49 kDa |
| GenBank Accession Number | BC022853 |
| Gene Symbol | UBA3 |
| Gene ID (NCBI) | 9039 |
| RRID | AB_2918808 |
| Conjugate | Unconjugated |
| Form | Liquid |
| Purification Method | Protein G purification |
| UNIPROT ID | Q8TBC4 |
| Storage Buffer | PBS with 0.02% sodium azide and 50% glycerol, pH 7.3. |
| Storage Conditions | Store at -20°C. Stable for one year after shipment. Aliquoting is unnecessary for -20oC storage. 20ul sizes contain 0.1% BSA. |
Background Information
The modification of proteins with ubiquitin is an important cellular mechanism for targeting abnormal or short-lived proteins for degradation. Ubiquitination involves at least three classes of enzymes: ubiquitin-activating enzymes, or E1s, ubiquitin-conjugating enzymes, or E2s, and ubiquitin-protein ligases, or E3s. This gene encodes a member of the E1 ubiquitin-activating enzyme family. The encoded enzyme associates with AppBp1, an amyloid beta precursor protein binding protein, to form a heterodimer, and then the enzyme complex activates NEDD8, a ubiquitin-like protein, which regulates cell division, signaling and embryogenesis. Multiple alternatively spliced transcript variants encoding distinct isoforms have been found for this gene.
Protocols
| Product Specific Protocols | |
|---|---|
| WB protocol for UBA3 antibody 68067-1-Ig | Download protocol |
| Standard Protocols | |
|---|---|
| Click here to view our Standard Protocols |



