Tested Applications
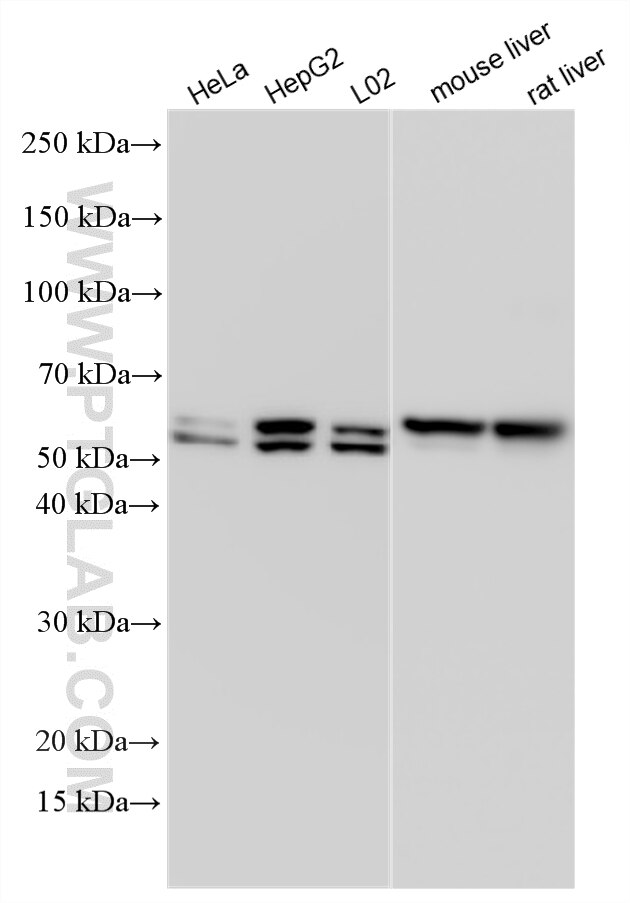
| Positive WB detected in | HeLa cells, HepG2 cells, mouse liver tissue, L02 cells, rat liver tissue |
| Positive IHC detected in | human ovary tumor tissue, human kidney tissue, human liver cancer tissue Note: suggested antigen retrieval with TE buffer pH 9.0; (*) Alternatively, antigen retrieval may be performed with citrate buffer pH 6.0 |
| Positive IF/ICC detected in | HepG2 cells |
Recommended dilution
| Application | Dilution |
|---|---|
| Western Blot (WB) | WB : 1:2000-1:20000 |
| Immunohistochemistry (IHC) | IHC : 1:100-1:1000 |
| Immunofluorescence (IF)/ICC | IF/ICC : 1:50-1:500 |
| It is recommended that this reagent should be titrated in each testing system to obtain optimal results. | |
| Sample-dependent, Check data in validation data gallery. | |
Published Applications
| KD/KO | See 3 publications below |
| WB | See 5 publications below |
| IHC | See 3 publications below |
Product Information
10391-1-AP targets UGP2 in WB, IHC, IF/ICC, ELISA applications and shows reactivity with human, mouse, rat samples.
| Tested Reactivity | human, mouse, rat |
| Cited Reactivity | human, rat |
| Host / Isotype | Rabbit / IgG |
| Class | Polyclonal |
| Type | Antibody |
| Immunogen |
CatNo: Ag0590 Product name: Recombinant human UGP2 protein Source: e coli.-derived, PGEX-4T Tag: GST Domain: 2-288 aa of BC002954 Sequence: SQDGASQFQEVIRQELELSVKKELEKILTTASSHEFEHTKKDLDGFRKLFHRFLQEKGPSVDWGKIQRPPEDSIQPYEKIKARGLPDNISSVLNKLVVVKLNGGLGTSMGCKGPKSLIGVRNENTFLDLTVQQIEHLNKTYNTDVPLVLMNSFNTDEDTKKILQKYNHCRVKIYTFNQSRYPRINKESLLPVAKDVSYSGENTEAWYPPGHGDIYASFYNSGLLDTFIGEGKEYIFVSNIDNLGATVDLYILNHLMNPPNGKRCEFVMEVTNKTRADVKGGTLTQYE Predict reactive species |
| Full Name | UDP-glucose pyrophosphorylase 2 |
| Calculated Molecular Weight | 56 kDa |
| Observed Molecular Weight | 50-56 kDa |
| GenBank Accession Number | BC002954 |
| Gene Symbol | UGP2 |
| Gene ID (NCBI) | 7360 |
| RRID | AB_2272775 |
| Conjugate | Unconjugated |
| Form | Liquid |
| Purification Method | Antigen affinity purification |
| UNIPROT ID | Q16851 |
| Storage Buffer | PBS with 0.02% sodium azide and 50% glycerol, pH 7.3. |
| Storage Conditions | Store at -20°C. Stable for one year after shipment. Aliquoting is unnecessary for -20oC storage. 20ul sizes contain 0.1% BSA. |
Background Information
UDP-glucose pyrophosphorylase 2 (UGP2, synonyms: UDPG, UGPP2, UDPGP2, Phc379)is an important intermediary in mammalian carbohydrate interconversions. It transfers a glucose moiety from glucose-1-phosphate to MgUTP and forms UDP-glucose and MgPPi. In liver and muscle tissue, UDP-glucose is a direct precursor of glycogen; in lactating mammary gland it is converted to UDP-galactose which is then converted to lactose. So far two isoforms are encoded by two transcript variants have been found.
Protocols
| Product Specific Protocols | |
|---|---|
| IF protocol for UGP2 antibody 10391-1-AP | Download protocol |
| IHC protocol for UGP2 antibody 10391-1-AP | Download protocol |
| WB protocol for UGP2 antibody 10391-1-AP | Download protocol |
| Standard Protocols | |
|---|---|
| Click here to view our Standard Protocols |
Publications
| Species | Application | Title |
|---|---|---|
iScience MYCT1 alters the glycogen shunt by regulating selective translation of RACK1-mediated enzymes. | ||
Toxicol Sci Mitochondrial prohibitins and septin 9 are implicated in the onset of rat hepatocarcinogenesis. | ||
Dis Markers Low UGP2 Expression Is Associated with Tumour Progression and Predicts Poor Prognosis in Hepatocellular Carcinoma. | ||
Sci Rep UGP2 is a potential target for breast cancer, based on bioinformatics analysis and in vitro experiments.
| ||
J Agric Food Chem Discovery of a Novel Target Inhibitor Theaflavin against UDP-Glucose Pyrophosphorylase 2 and Its Role in Attenuating the Malignant Phenotype of Liver Cancer Cells via Perturbation of Glucose Metabolism. | ||
bioRxiv Glucose-dependent glycosphingolipid biosynthesis fuels CD8 + T cell function and tumor control
|

















