Tested Applications
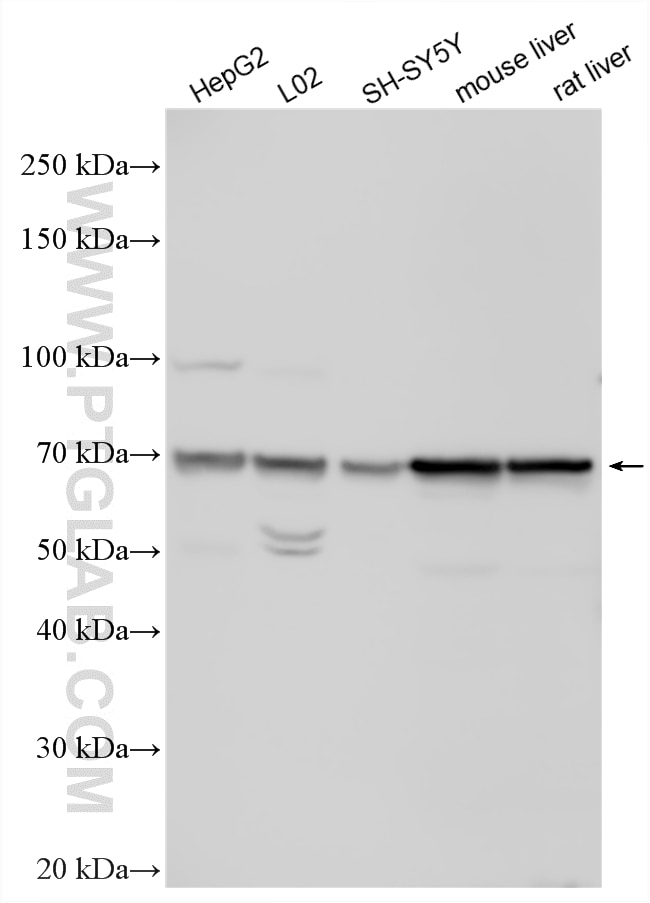
| Positive WB detected in | HepG2 cells, L02 cells, SH-SY5Y cells, mouse liver tissue, rat liver tissue |
Recommended dilution
| Application | Dilution |
|---|---|
| Western Blot (WB) | WB : 1:500-1:2000 |
| It is recommended that this reagent should be titrated in each testing system to obtain optimal results. | |
| Sample-dependent, Check data in validation data gallery. | |
Published Applications
| KD/KO | See 1 publications below |
| WB | See 13 publications below |
| IHC | See 4 publications below |
| IF | See 2 publications below |
Product Information
23495-1-AP targets UGT1A1 in WB, IHC, IF, ELISA applications and shows reactivity with human, mouse, rat samples.
| Tested Reactivity | human, mouse, rat |
| Cited Reactivity | human, mouse, rat |
| Host / Isotype | Rabbit / IgG |
| Class | Polyclonal |
| Type | Antibody |
| Immunogen |
CatNo: Ag19001 Product name: Recombinant human UGT1A1 protein Source: e coli.-derived, PET28a Tag: 6*His Domain: 26-263 aa of BC128415 Sequence: HAGKILLIPVDGSHWLSMLGAIQQLQQRGHEIVVLAPDASLYIRDGAFYTLKTYPVPFQREDVKESFVSLGHNVFENDSFLQRVIKTYKKIKKDSAMLLSGCSHLLHNKELMASLAESSFDVMLTDPFLPCSPIVAQYLSLPTVFFLHALPCSLEFEATQCPNPFSYVPRPLSSHSDHMTFLQRVKNMLIAFSQNFLCDVVYSPYATLASEFLQREVTVQDLLSSASVWLFRSDFVKD Predict reactive species |
| Full Name | UDP glucuronosyltransferase 1 family, polypeptide A1 |
| Calculated Molecular Weight | 533 aa, 60 kDa |
| Observed Molecular Weight | 50-60 kDa, 65-70 kDa |
| GenBank Accession Number | BC128415 |
| Gene Symbol | UGT1A1 |
| Gene ID (NCBI) | 54658 |
| RRID | AB_2879286 |
| Conjugate | Unconjugated |
| Form | Liquid |
| Purification Method | Antigen Affinity purified |
| UNIPROT ID | P22309 |
| Storage Buffer | PBS with 0.02% sodium azide and 50% glycerol, pH 7.3. |
| Storage Conditions | Store at -20°C. Stable for one year after shipment. Aliquoting is unnecessary for -20oC storage. 20ul sizes contain 0.1% BSA. |
Background Information
UDP-glucuronosyltransferase 1A1 (UGT1A1) is one of nine transferases encoded on the UGT1 locus. Developmental regulation of the UGT1A1 gene is an important process that is needed to achieve normal levels of serum total bilirubin (TB). UGT1A1 is a 50-60 kda member of the UGT1A subfamily, and can be detected as 65-70 kda band after posttranslational modification.
Protocols
| Product Specific Protocols | |
|---|---|
| WB protocol for UGT1A1 antibody 23495-1-AP | Download protocol |
| Standard Protocols | |
|---|---|
| Click here to view our Standard Protocols |
Publications
| Species | Application | Title |
|---|---|---|
J Mol Biol Silencing of Aberrant Secretory Protein Expression by Disease-Associated Mutations. | ||
Phytomedicine Oleanolic acid alleviates ANIT-induced cholestatic liver injury by activating Fxr and Nrf2 pathways to ameliorate disordered bile acids homeostasis. | ||
Phytomedicine NRF2 and FXR dual signaling pathways cooperatively regulate the effects of oleanolic acid on cholestatic liver injury | ||
Pathogens Dysregulated Glucuronidation of Bilirubin Exacerbates Liver Inflammation and Fibrosis in Schistosomiasis Japonica through the NF-κB Signaling Pathway | ||
Front Nutr The Protective Effect of Sulforaphane on Dextran Sulfate Sodium-Induced Colitis Depends on Gut Microbial and Nrf2-Related Mechanism. | ||
J Integr Med Huachansu injection enhances anti-colorectal cancer efficacy of irinotecan and alleviates its induced intestinal toxicity through upregulating UGT1A1-OATP1B3 expression in vitro and in vivo |
Reviews
The reviews below have been submitted by verified Proteintech customers who received an incentive for providing their feedback.
FH MALLIKARJUNA (Verified Customer) (10-24-2025) | suits well for wb
|

