Tested Applications
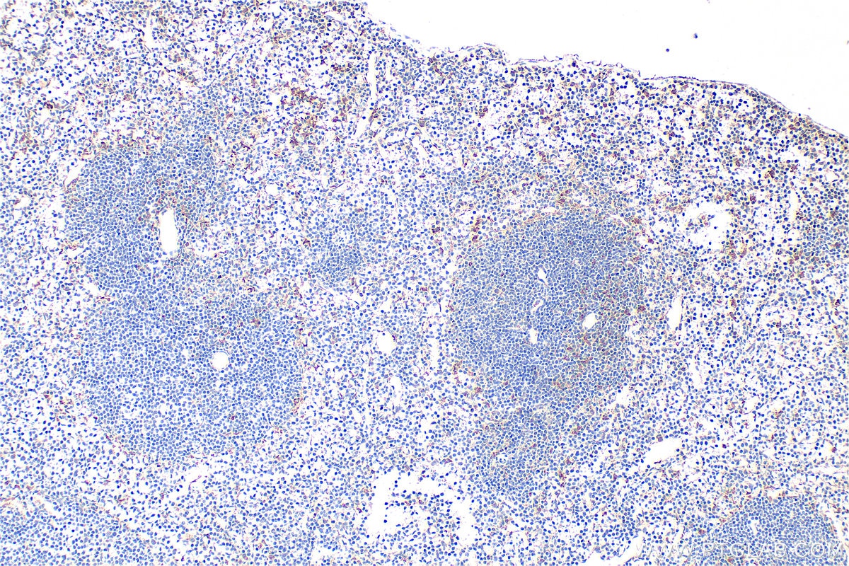
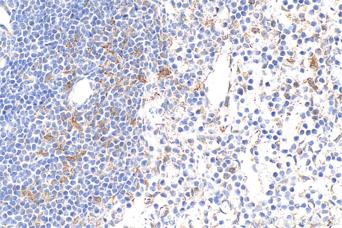
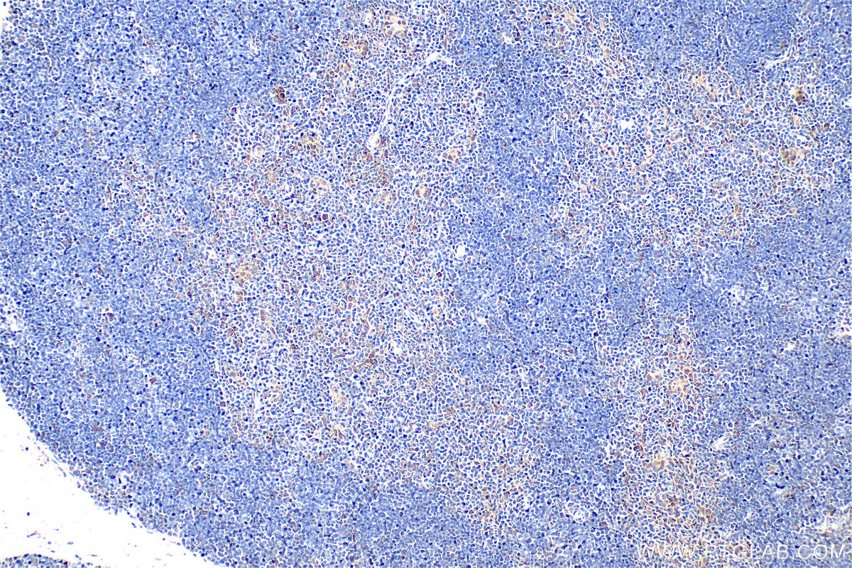
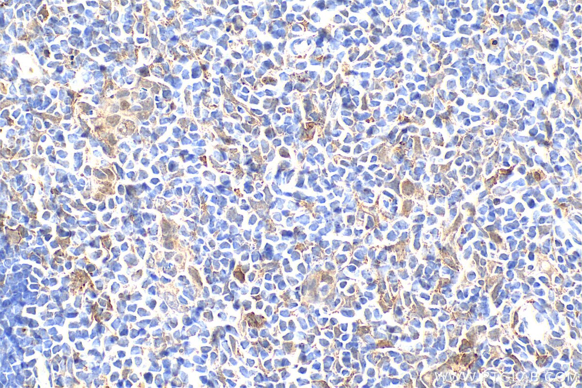
| Positive IHC detected in | mouse spleen tissue, mouse thymus tissue Note: suggested antigen retrieval with TE buffer pH 9.0; (*) Alternatively, antigen retrieval may be performed with citrate buffer pH 6.0 |
Recommended dilution
| Application | Dilution |
|---|---|
| Immunohistochemistry (IHC) | IHC : 1:200-1:800 |
| It is recommended that this reagent should be titrated in each testing system to obtain optimal results. | |
| Sample-dependent, Check data in validation data gallery. | |
Product Information
33408-1-AP targets XCL1 in IHC, ELISA applications and shows reactivity with mouse samples.
| Tested Reactivity | mouse |
| Host / Isotype | Rabbit / IgG |
| Class | Polyclonal |
| Type | Antibody |
| Immunogen |
CatNo: Eg2932 Product name: recombinant mouse Xcl1 protein Source: mammalian cells-derived, V37 Tag: C-rFc Domain: 22-114 aa of NM_008510.1 Sequence: VGTEVLEESSCVNLQTQRLPVQKIKTYIIWEGAMRAVIFVTKRGLKICADPEAKWVKAAIKTVDGRASTRKNMAETVPTGAQRSTSTAITLTG Predict reactive species |
| Full Name | chemokine (C motif) ligand 1 |
| Calculated Molecular Weight | 12 kDa |
| GenBank Accession Number | NM_008510.1 |
| Gene Symbol | Xcl1 |
| Gene ID (NCBI) | 16963 |
| Conjugate | Unconjugated |
| Form | Liquid |
| Purification Method | Antigen affinity Purification |
| UNIPROT ID | P47993 |
| Storage Buffer | PBS with 0.02% sodium azide and 50% glycerol, pH 7.3. |
| Storage Conditions | Store at -20°C. Stable for one year after shipment. Aliquoting is unnecessary for -20oC storage. 20ul sizes contain 0.1% BSA. |
Background Information
XCL1/lymphotactin is a member of the chemokine family, which is expressed by immune cells, including activated CD8+ T cells, CD4+ T cells, natural killer cells (NKCs), and natural killer T (NKT) cells. XCR1, the XCL1 receptor, is a member of the C-chemokine subfamily expressed on CD4+ and CD8+ T cells, NKCs, B cells, and neutrophils. XCL1 has a potential role in inflammatory diseases, including chronic inflammatory bowel disease, autoimmune diabetes, encephalomyelitis, and rheumatoid arthritis (RA).
Protocols
| Product Specific Protocols | |
|---|---|
| IHC protocol for XCL1 antibody 33408-1-AP | Download protocol |
| Standard Protocols | |
|---|---|
| Click here to view our Standard Protocols |







