Tested Applications
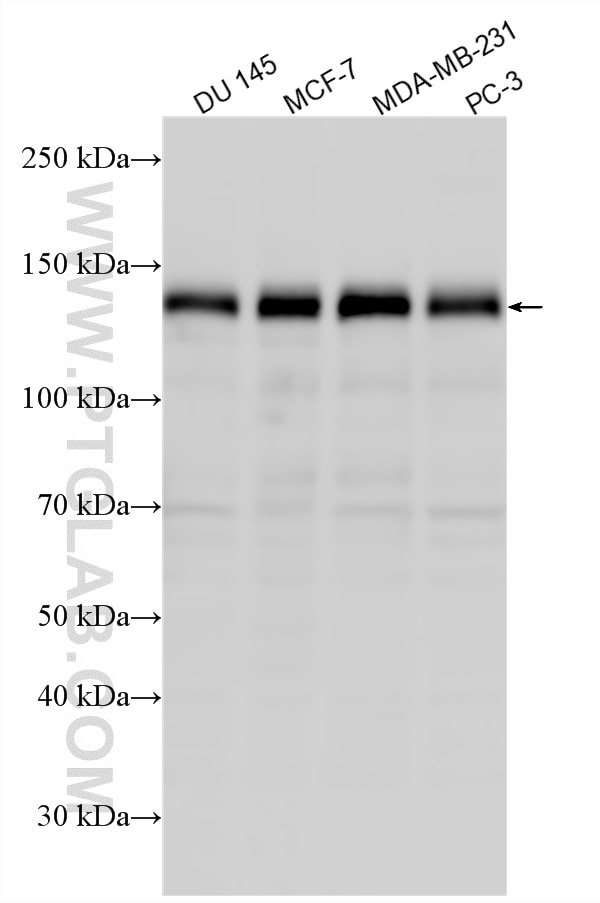
| Positive WB detected in | DU 145 cells, MCF-7 cells, MDA-MB-231 cells, PC-3 cells |
Recommended dilution
| Application | Dilution |
|---|---|
| Western Blot (WB) | WB : 1:500-1:2000 |
| It is recommended that this reagent should be titrated in each testing system to obtain optimal results. | |
| Sample-dependent, Check data in validation data gallery. | |
Published Applications
| WB | See 1 publications below |
Product Information
17611-1-AP targets ZBTB4 in WB, ELISA applications and shows reactivity with human samples.
| Tested Reactivity | human |
| Cited Reactivity | human |
| Host / Isotype | Rabbit / IgG |
| Class | Polyclonal |
| Type | Antibody |
| Immunogen |
CatNo: Ag11774 Product name: Recombinant human ZBTB4 protein Source: e coli.-derived, PGEX-4T Tag: GST Domain: 1-353 aa of BC043352 Sequence: MPPPAEVTDPSHAPAVLRQLNEQRLRGLFCDVTLIAGDTKFPAHRSVLAASSPFFREALLTSAPLPLPPATGGAAPNPATTTAASSSSSSSSSSSSSSSSASSSSSSSSSSPPPASPPASSPPRVLELPGVPAAAFSDVLNFIYSARLALPGGGGDGAAVAEIGALGRRLGISRLQGLGEGGDAWVPSTPAPMATSQPEEDSFGPGPRPAGEWEGDRAEAQAPDLQCSLPRRPLPCPQCGKSFIHPKRLQTHEAQCRRGASTRGSTGLGAGGAGPGGPAGVDASALPPPVGFRGGPEHVVKVVGGHVLYVCAACERSYVTLSSLKRHSNVHSWRRKYPCRYCEKVFALAEYRT Predict reactive species |
| Full Name | zinc finger and BTB domain containing 4 |
| Calculated Molecular Weight | 1013 aa, 105 kDa |
| Observed Molecular Weight | 105-140 kDa |
| GenBank Accession Number | BC043352 |
| Gene Symbol | ZBTB4 |
| Gene ID (NCBI) | 57659 |
| Conjugate | Unconjugated |
| Form | Liquid |
| Purification Method | Antigen affinity purification |
| UNIPROT ID | Q9P1Z0 |
| Storage Buffer | PBS with 0.02% sodium azide and 50% glycerol, pH 7.3. |
| Storage Conditions | Store at -20°C. Stable for one year after shipment. Aliquoting is unnecessary for -20oC storage. 20ul sizes contain 0.1% BSA. |
Background Information
Zinc-finger proteins contain DNA-binding domains and have a wide variety of functions, most of which encompass some form of transcriptional activation or repression. The majority of zinc-finger proteins contain a Krüppel-type DNA binding domain and a KRAB domain, which is thought to interact with KAP1, thereby recruiting histone modifying proteins. ZBTB4 (zinc finger and BTB domain containing 4), also known as KAISO-L1 (KAISO-like zinc finger protein 1), is a 1,013 amino acid nuclear protein that is involved in transcriptional regulation. ZBTB4 contains one BTB (POZ) domain, six C2H2-type zinc fingers and is phosphorylated and downregulated by HIPK2. The gene encoding ZBTB4 maps to human chromosome 17, which comprises over 2.5% of the human genome and encodes over 1,200 genes.
Protocols
| Product Specific Protocols | |
|---|---|
| WB protocol for ZBTB4 antibody 17611-1-AP | Download protocol |
| Standard Protocols | |
|---|---|
| Click here to view our Standard Protocols |

