Tested Applications
| Positive WB detected in | mouse retina tissue |
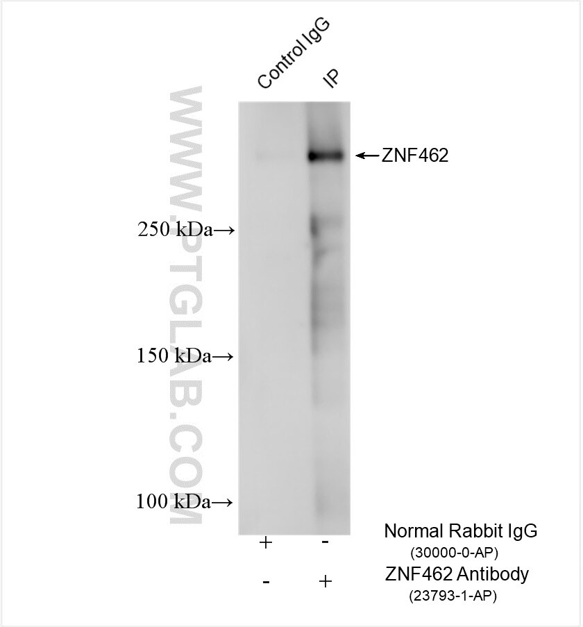
| Positive IP detected in | mouse eye tissue |
Recommended dilution
| Application | Dilution |
|---|---|
| Western Blot (WB) | WB : 1:500-1:1000 |
| Immunoprecipitation (IP) | IP : 0.5-4.0 ug for 1.0-3.0 mg of total protein lysate |
| It is recommended that this reagent should be titrated in each testing system to obtain optimal results. | |
| Sample-dependent, Check data in validation data gallery. | |
Product Information
23793-1-AP targets ZNF462 in WB, IP, ELISA applications and shows reactivity with human, mouse samples.
| Tested Reactivity | human, mouse |
| Host / Isotype | Rabbit / IgG |
| Class | Polyclonal |
| Type | Antibody |
| Immunogen |
CatNo: Ag20699 Product name: Recombinant human ZNF462 protein Source: e coli.-derived, PGEX-4T Tag: GST Domain: 2157-2506 aa of BC036884 Sequence: NHYQSAALARNNSRVSPVPLSGAAAGTEQKTEAVLHCEFCEFSSGYIQSIRRHYRDKHGGKKLFKCKDCSFYTGFKSAFTMHVEAGHSAVPEEGPKDLRCPLCLYHTKYKRNMIDHIVLHREERVVPIEVCRSKLSKYLQGVVFRCDKCTFTCSSDESLQQHIEKHNELKPYKCQLCYYETKHTEELDSHLRDEHKVSRNFELVGRVNLDQLEQMKEKMESSSSDDEDKEEEMNSKAEDRELMRFSDHGAALNTEKRFPCEFCGRAFSQGSEWERHVLRHGMALNDTKQVSREEIHPKEIMENSVKMPSIEEKEDDEAIGIDFSLKNETVAICVVTADKSLLENAEAKKE Predict reactive species |
| Full Name | zinc finger protein 462 |
| Calculated Molecular Weight | 2506 aa, 285 kDa |
| Observed Molecular Weight | 285 kDa |
| GenBank Accession Number | BC036884 |
| Gene Symbol | ZNF462 |
| Gene ID (NCBI) | 58499 |
| Conjugate | Unconjugated |
| Form | Liquid |
| Purification Method | Antigen Affinity purified |
| UNIPROT ID | Q96JM2 |
| Storage Buffer | PBS with 0.02% sodium azide and 50% glycerol, pH 7.3. |
| Storage Conditions | Store at -20°C. Stable for one year after shipment. Aliquoting is unnecessary for -20oC storage. 20ul sizes contain 0.1% BSA. |
Protocols
| Product Specific Protocols | |
|---|---|
| IP protocol for ZNF462 antibody 23793-1-AP | Download protocol |
| WB protocol for ZNF462 antibody 23793-1-AP | Download protocol |
| Standard Protocols | |
|---|---|
| Click here to view our Standard Protocols |



