Tested Applications
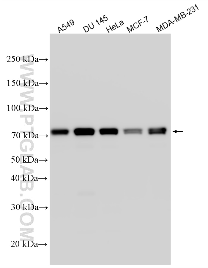
| Positive WB detected in | A549 cells, HeLa cells, MCF-7 cells, DU 145 cells, MDA-MB-231 cells |
| Positive IHC detected in | mouse kidney tissue Note: suggested antigen retrieval with TE buffer pH 9.0; (*) Alternatively, antigen retrieval may be performed with citrate buffer pH 6.0 |
| Positive IF/ICC detected in | A549 cells |
Recommended dilution
| Application | Dilution |
|---|---|
| Western Blot (WB) | WB : 1:1000-1:5000 |
| Immunohistochemistry (IHC) | IHC : 1:50-1:500 |
| Immunofluorescence (IF)/ICC | IF/ICC : 1:50-1:500 |
| It is recommended that this reagent should be titrated in each testing system to obtain optimal results. | |
| Sample-dependent, Check data in validation data gallery. | |
Published Applications
| KD/KO | See 2 publications below |
| WB | See 6 publications below |
| IF | See 5 publications below |
| IP | See 1 publications below |
Product Information
10330-1-AP targets Zyxin in WB, IHC, IF/ICC, IP, ELISA applications and shows reactivity with human samples.
| Tested Reactivity | human |
| Cited Reactivity | human, mouse, rabbit |
| Host / Isotype | Rabbit / IgG |
| Class | Polyclonal |
| Type | Antibody |
| Immunogen |
CatNo: Ag0419 Product name: Recombinant human ZYX protein Source: e coli.-derived, PGEX-4T Tag: GST Domain: 278-572 aa of BC008743 Sequence: SKFSPGAPGGSGSQPNQKLGHPEALSAGTGSPQPPSFTYAQQREKPRVQEKQHPVPPPAQNQNQVRSPGAPGPLTLKEVEELEQLTQQLMQDMEHPQRQNVAVNELCGRCHQPLARAQPAVRALGQLFHIACFTCHQCAQQLQGQQFYSLEGAPYCEGCYTDTLEKCNTCGEPITDRMLRATGKAYHPHCFTCVVCARPLEGTSFIVDQANRPHCVPDYHKQYAPRCSVCSEPIMPEPGRDETVRVVALDKNFHMKCYKCEDCGKPLSIEADDNGCFPLDGHVLCRKCHTARAQT Predict reactive species |
| Full Name | zyxin |
| Calculated Molecular Weight | 80 kDa |
| Observed Molecular Weight | 78 kDa |
| GenBank Accession Number | BC008743 |
| Gene Symbol | Zyxin |
| Gene ID (NCBI) | 7791 |
| RRID | AB_2221279 |
| Conjugate | Unconjugated |
| Form | Liquid |
| Purification Method | Antigen affinity purification |
| UNIPROT ID | Q15942 |
| Storage Buffer | PBS with 0.02% sodium azide and 50% glycerol, pH 7.3. |
| Storage Conditions | Store at -20°C. Stable for one year after shipment. Aliquoting is unnecessary for -20oC storage. 20ul sizes contain 0.1% BSA. |
Background Information
Focal adhesions are actin-rich structures that enable cells to adhere to the extracellular matrix and at which protein complexes involved in signal transduction assemble. Zyxin (ZYX) is a zinc-binding phosphoprotein that concentrates at focal adhesions and along the actin cytoskeleton. Zyxin has an N-terminal proline-rich domain and three LIM domains in its C-terminal half. The proline-rich domain may interact with SH3 domains of proteins involved in signal transduction pathways while the LIM domains are likely involved in protein-protein binding. Zyxin may function as a messenger in the signal transduction pathway that mediates adhesion-stimulated changes in gene expression and may modulate the cytoskeletal organization of actin bundles.
Protocols
| Product Specific Protocols | |
|---|---|
| IF protocol for Zyxin antibody 10330-1-AP | Download protocol |
| IHC protocol for Zyxin antibody 10330-1-AP | Download protocol |
| WB protocol for Zyxin antibody 10330-1-AP | Download protocol |
| Standard Protocols | |
|---|---|
| Click here to view our Standard Protocols |
Publications
| Species | Application | Title |
|---|---|---|
J Cell Biol The late endosomal p14-MP1 (LAMTOR2/3) complex regulates focal adhesion dynamics during cell migration. | ||
Cell Death Dis Essential role of zyxin in platelet biogenesis and glycoprotein Ib-IX surface expression
| ||
Cell Prolif Zyxin-involved actin regulation is essential in the maintenance of vinculin focal adhesion and chondrocyte differentiation status.
| ||
J Biol Chem O-GlcNAc transferase promotes the nuclear localization of the focal adhesion-associated protein Zyxin to regulate UV-induced cell death. | ||
Am J Physiol Gastrointest Liver Physiol Targeted disruption of the Lasp-1 gene is linked to increases in histamine-stimulated gastric HCl secretion. | ||
Physiol Genomics Lasp1 gene disruption is linked to enhanced cell migration and tumor formation. |
Reviews
The reviews below have been submitted by verified Proteintech customers who received an incentive for providing their feedback.
FH Alex (Verified Customer) (08-20-2025) | Excellent staining of adhesions and actin filament tips. Consistent with literature-reported fluorescent protein constructs. In image: A - Paxillin (from another manufacturer) B - Zyxin (10330-1-AP. 1:200) C - Phalloidin (from another manufacturer) D - Merged (G = Paxillin; R = Zyxin; gray = phalloidin)
![]() |








