Tested Applications
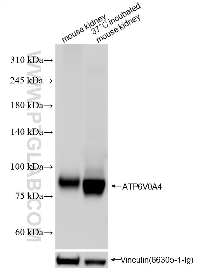
| Positive WB detected in | mouse kidney tissue, rat kidney tissue |
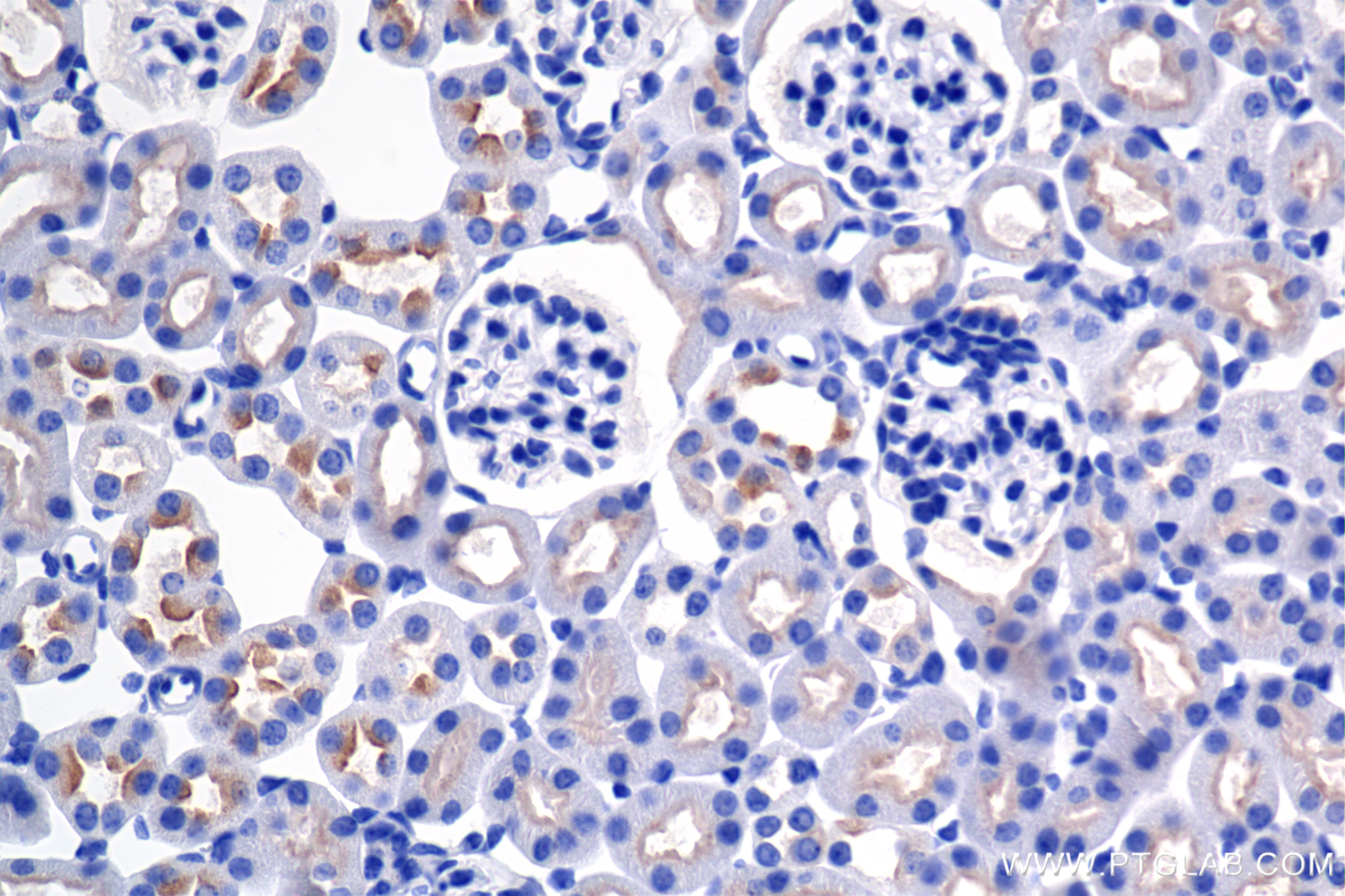
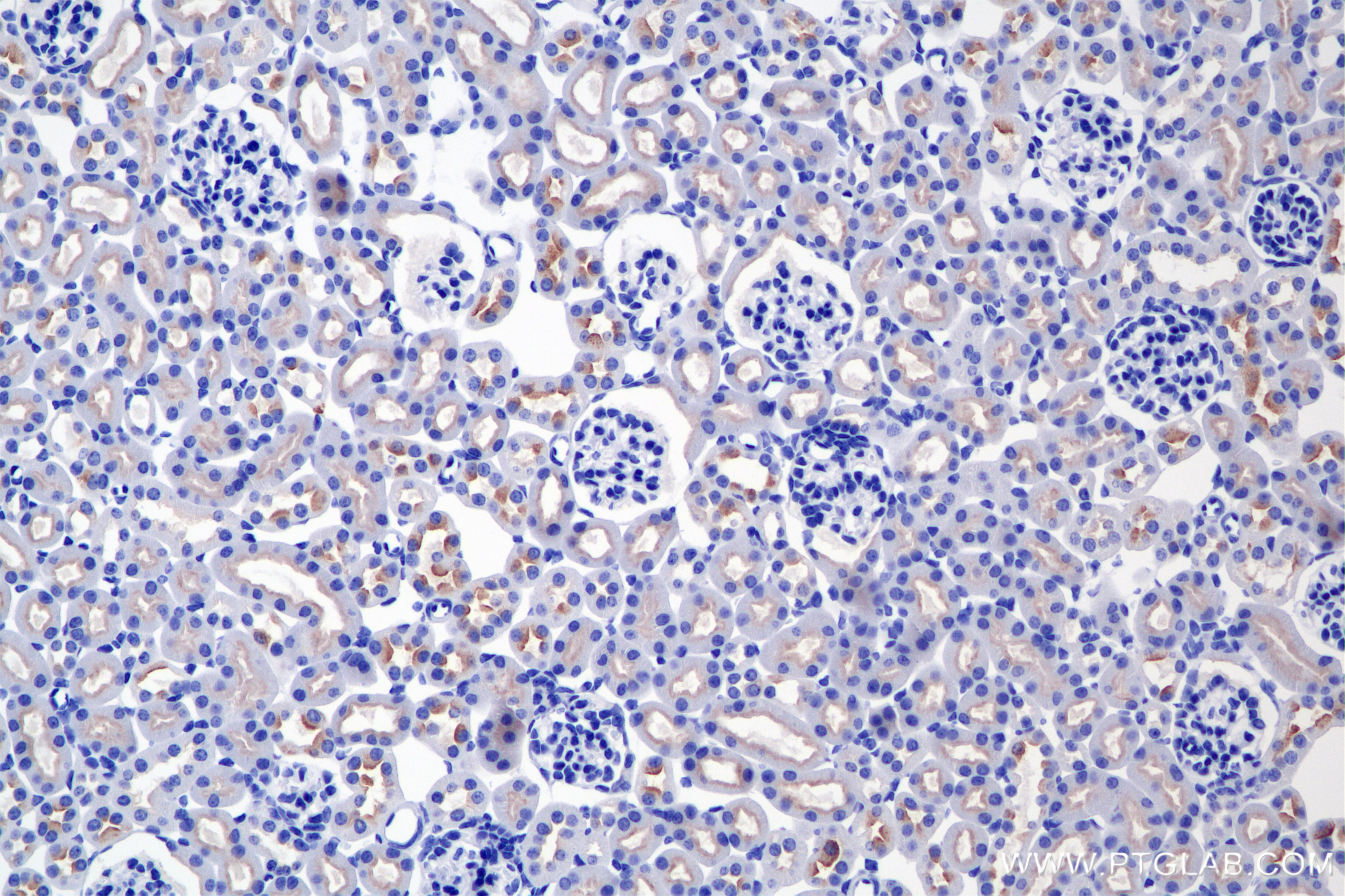
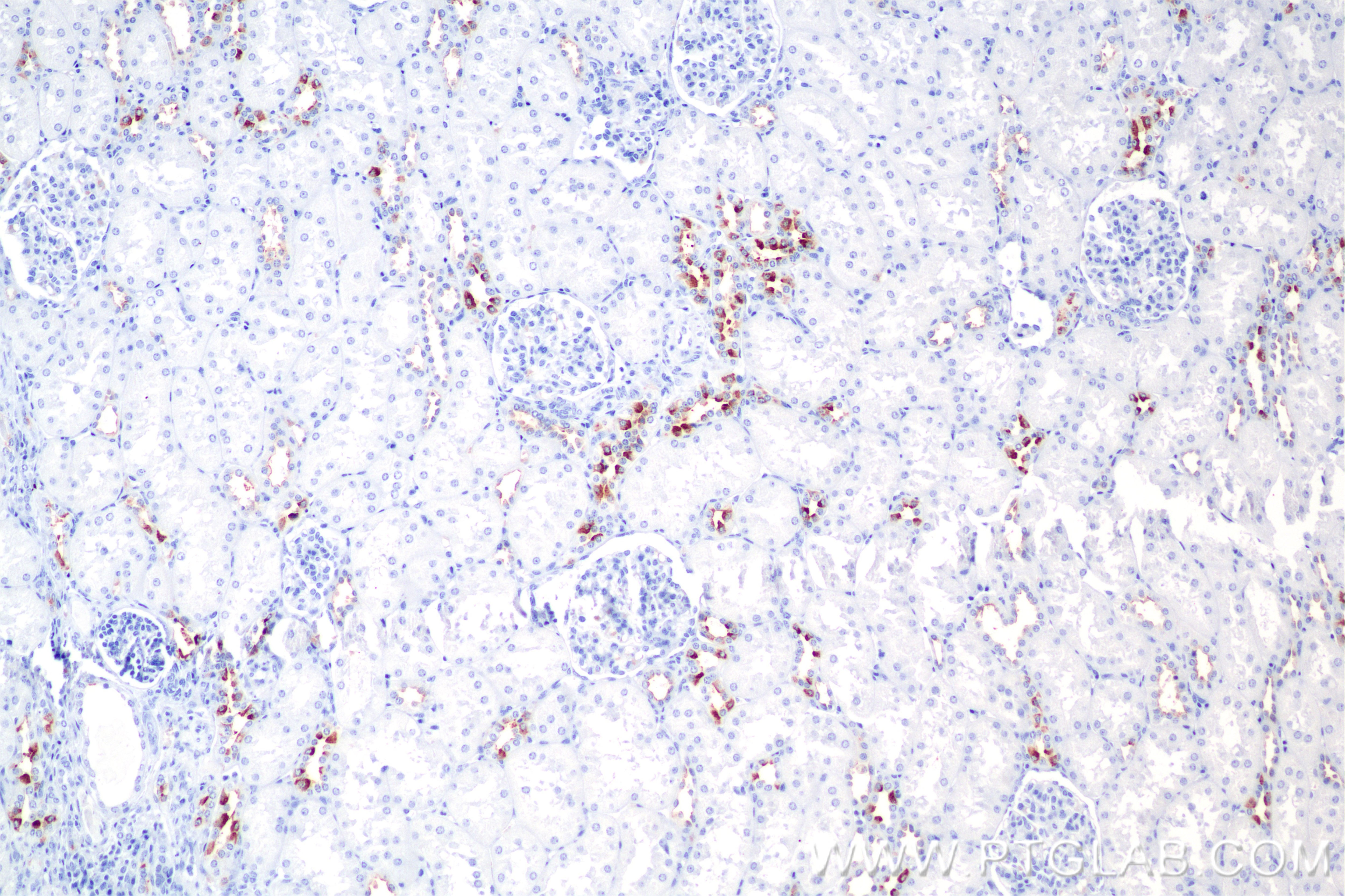
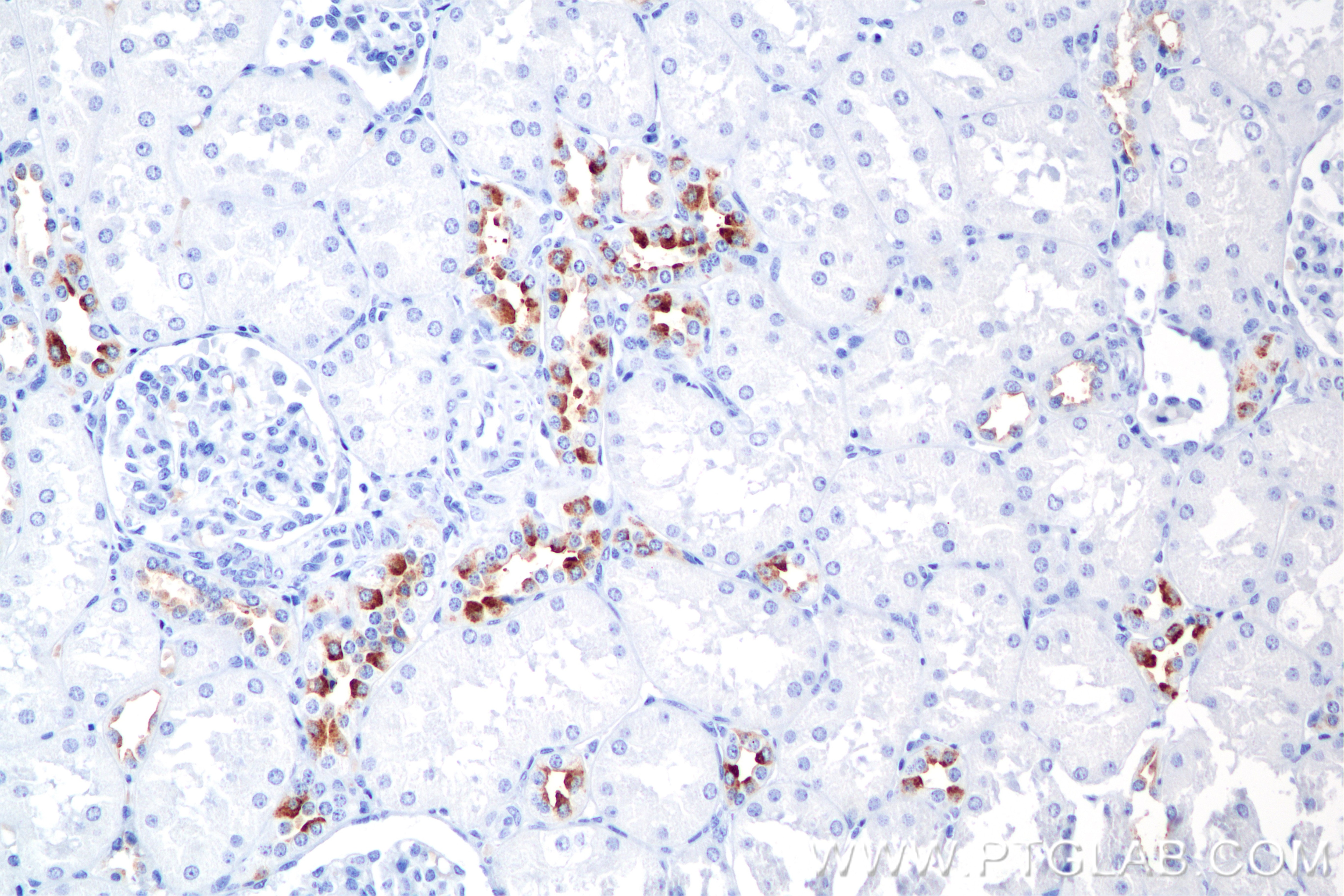
| Positive IHC detected in | human kidney tissue, mouse kidney tissue Note: suggested antigen retrieval with TE buffer pH 9.0; (*) Alternatively, antigen retrieval may be performed with citrate buffer pH 6.0 |
Recommended dilution
| Application | Dilution |
|---|---|
| Western Blot (WB) | WB : 1:5000-1:50000 |
| Immunohistochemistry (IHC) | IHC : 1:10000-1:40000 |
| It is recommended that this reagent should be titrated in each testing system to obtain optimal results. | |
| Sample-dependent, Check data in validation data gallery. | |
Product Information
86321-1-RR targets ATP6V0A4 in WB, IHC, ELISA applications and shows reactivity with human, mouse, rat samples.
| Tested Reactivity | human, mouse, rat |
| Host / Isotype | Rabbit / IgG |
| Class | Recombinant |
| Type | Antibody |
| Immunogen |
CatNo: Ag16095 Product name: Recombinant human ATP6V0A4 protein Source: e coli.-derived, PGEX-4T Tag: GST Domain: 190-375 aa of BC109305 Sequence: ERMASFERLLWRICRGNVYLKFSEMDAPLEDPVTKEEIQKNIFIIFYQGEQLRQKIKKICDGFRATVYPCPERAVERREMLESVNVRLEDLITVITQTESHRQRLLQEAAANWHSWLIKVQKMKAVYHILNMCNIDVTQQCVIAEIWFPVADATRIKRALEQGMELSGSSMAPIMTTVQSKTAPPTFNRTNKFTAG Predict reactive species |
| Full Name | ATPase, H+ transporting, lysosomal V0 subunit a4 |
| Calculated Molecular Weight | 840 aa, 96 kDa |
| Observed Molecular Weight | 85 kDa |
| GenBank Accession Number | BC109305 |
| Gene Symbol | ATP6V0A4 |
| Gene ID (NCBI) | 50617 |
| Conjugate | Unconjugated |
| Form | Liquid |
| Purification Method | Protein A purification |
| UNIPROT ID | Q9HBG4 |
| Storage Buffer | PBS with 0.02% sodium azide and 50% glycerol, pH 7.3. |
| Storage Conditions | Store at -20°C. Stable for one year after shipment. Aliquoting is unnecessary for -20oC storage. 20ul sizes contain 0.1% BSA. |
Background Information
The ATP6V0A4 is a component of vacuolar-H+ATPase (V-ATPase) which is a multi-subunit enzyme that couples ATP hydrolysis to proton pumping across membranes. The V-ATPases are comprised of two major parts, the cytosolic V1 domain involved in ATP-binding and subsequent hydrolysis, and the membrane-associated V0 domain responsible for proton translocation. The V0 domain is composed of five subunits: a, c, c', c'' and d. The 'a' subunit of V0 domain has four isoforms : a1-a4. It has been found that mutations in ATP6V0A4(a4) are associated with distal renal tubular acidosis(dRTA) combined in some cases with progressive hearing loss leading to sensorineural deafness.
Protocols
| Product Specific Protocols | |
|---|---|
| IHC protocol for ATP6V0A4 antibody 86321-1-RR | Download protocol |
| WB protocol for ATP6V0A4 antibody 86321-1-RR | Download protocol |
| Standard Protocols | |
|---|---|
| Click here to view our Standard Protocols |













