Tested Applications
| Positive WB detected in | A431 cells, Raji cells, HepG2 cells, U-937 cells, Jurkat cells, mouse lung tissue |
| Positive IP detected in | A431 cells |
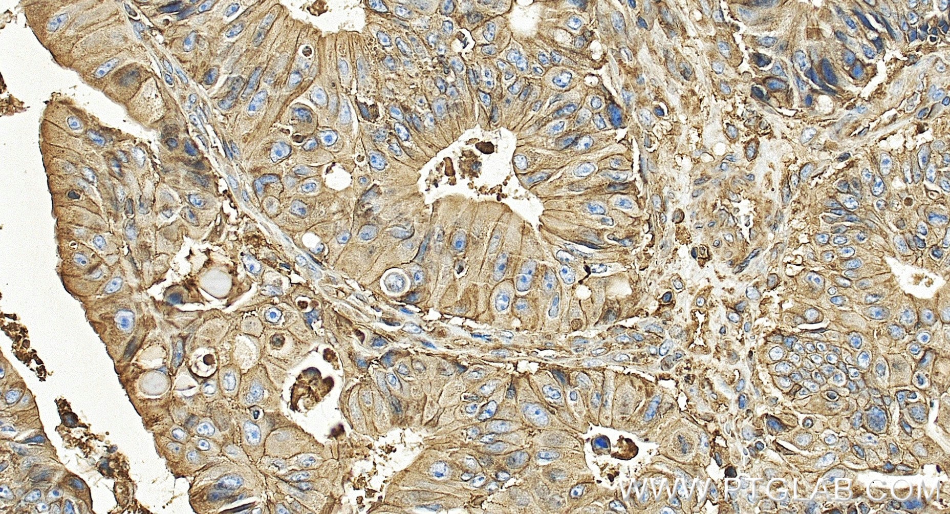
| Positive IHC detected in | human tonsillitis tissue, human colon cancer tissue Note: suggested antigen retrieval with TE buffer pH 9.0; (*) Alternatively, antigen retrieval may be performed with citrate buffer pH 6.0 |
Recommended dilution
| Application | Dilution |
|---|---|
| Western Blot (WB) | WB : 1:5000-1:50000 |
| Immunoprecipitation (IP) | IP : 0.5-4.0 ug for 1.0-3.0 mg of total protein lysate |
| Immunohistochemistry (IHC) | IHC : 1:400-1:1600 |
| It is recommended that this reagent should be titrated in each testing system to obtain optimal results. | |
| Sample-dependent, Check data in validation data gallery. | |
Product Information
83683-6-RR targets Beta-2-Microglobulin in WB, IHC, IP, ELISA applications and shows reactivity with human, mouse samples.
| Tested Reactivity | human, mouse |
| Host / Isotype | Rabbit / IgG |
| Class | Recombinant |
| Type | Antibody |
| Immunogen |
CatNo: Ag4433 Product name: Recombinant human B2M protein Source: e coli.-derived, PGEX-4T Tag: GST Domain: 22-119 aa of BC032589 Sequence: QRTPKIQVYSRHPAENGKSNFLNCYVSGFHPSDIEVDLLKNGERIEKVEHSDLSFSKDWSFYLLYYTEFTPTEKDEYACRVNHVTLSQPKIVKWDRDM Predict reactive species |
| Full Name | beta-2-microglobulin |
| Calculated Molecular Weight | 119 aa, 14 kDa |
| Observed Molecular Weight | 12 kDa |
| GenBank Accession Number | BC032589 |
| Gene Symbol | B2M |
| Gene ID (NCBI) | 567 |
| ENSEMBL Gene ID | ENSG00000166710 |
| RRID | AB_3671284 |
| Conjugate | Unconjugated |
| Form | Liquid |
| Purification Method | Protein A purfication |
| UNIPROT ID | P61769 |
| Storage Buffer | PBS with 0.02% sodium azide and 50% glycerol, pH 7.3. |
| Storage Conditions | Store at -20°C. Stable for one year after shipment. Aliquoting is unnecessary for -20oC storage. 20ul sizes contain 0.1% BSA. |
Background Information
Beta-2-microglobulin (B2M) is a component of MHC class I molecules, which are present on the surface of nearly all nucleated cells. It can be found in body fluids under physiologic conditions due to shedding from cell surfaces or intracellular release. B2M has various biological functions, including antigen presentation. Investigations reveal that increased synthesis and release of B2M are present in several malignant diseases.
Protocols
| Product Specific Protocols | |
|---|---|
| IHC protocol for Beta-2-Microglobulin antibody 83683-6-RR | Download protocol |
| IP protocol for Beta-2-Microglobulin antibody 83683-6-RR | Download protocol |
| WB protocol for Beta-2-Microglobulin antibody 83683-6-RR | Download protocol |
| Standard Protocols | |
|---|---|
| Click here to view our Standard Protocols |















