Tested Applications
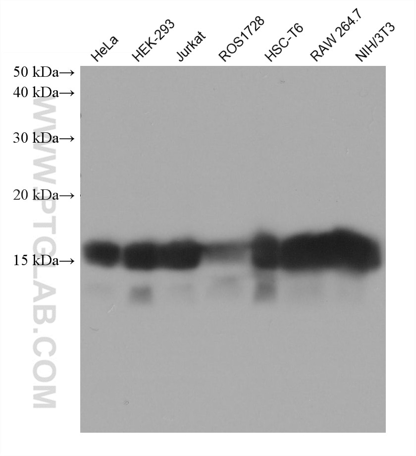
| Positive WB detected in | HeLa cells, HEK-293 cells, Jurkat cells, ROS1728 cells, HSC-T6 cells. RAW 264.7 cells, NIH/3T3 cells |
| Positive IF/ICC detected in | HeLa cells, MDCK cells |
Recommended dilution
| Application | Dilution |
|---|---|
| Western Blot (WB) | WB : 1:5000-1:50000 |
| Immunofluorescence (IF)/ICC | IF/ICC : 1:50-1:500 |
| It is recommended that this reagent should be titrated in each testing system to obtain optimal results. | |
| Sample-dependent, Check data in validation data gallery. | |
Published Applications
| WB | See 42 publications below |
| IHC | See 2 publications below |
| IF | See 4 publications below |
| IP | See 4 publications below |
| CoIP | See 6 publications below |
Product Information
66289-1-Ig targets Pan Acetylation in WB, IHC, IF/ICC, IP, CoIP, ELISA, Acetylation assay applications and shows reactivity with chemical compound samples.
| Tested Reactivity | chemical compound |
| Cited Reactivity | human, mouse, rat, drosophila, rice |
| Host / Isotype | Mouse / IgG1 |
| Class | Monoclonal |
| Type | Antibody |
| Immunogen |
Peptide Predict reactive species |
| Full Name | Pan Acetylation |
| Observed Molecular Weight | 17 kDa |
| Gene Symbol | |
| Gene ID (NCBI) | |
| RRID | AB_2881672 |
| Conjugate | Unconjugated |
| Form | Liquid |
| Purification Method | Protein G purification |
| Storage Buffer | PBS with 0.02% sodium azide and 50% glycerol, pH 7.3. |
| Storage Conditions | Store at -20°C. Stable for one year after shipment. Aliquoting is unnecessary for -20oC storage. 20ul sizes contain 0.1% BSA. |
Background Information
Acetylation and De-acetylation are the important reaction in epigenetic. Many proteins, especially Histone, are with Acetylated of Lysine. This antibody is used to detect the Acetylation of Lysine. The 17 kDa in our detection is Acetylated Histone.
Protocols
| Product Specific Protocols | |
|---|---|
| IF protocol for Pan Acetylation antibody 66289-1-Ig | Download protocol |
| WB protocol for Pan Acetylation antibody 66289-1-Ig | Download protocol |
| Standard Protocols | |
|---|---|
| Click here to view our Standard Protocols |
Publications
| Species | Application | Title |
|---|---|---|
Mol Cell Serine synthesis sustains macrophage IL-1β production via NAD+-dependent protein acetylation | ||
Neuron Astrocytic ApoE reprograms neuronal cholesterol metabolism and histone-acetylation-mediated memory. | ||
Sci Adv Asparagine transporter supports macrophage inflammation via histone phosphorylation | ||
Dev Cell HDAC6 Suppresses Age-Dependent Ectopic Fat Accumulation by Maintaining the Proteostasis of PLIN2 in Drosophila. | ||
Cell Death Dis RSL1D1 promotes the progression of colorectal cancer through RAN-mediated autophagy suppression. | ||
Plant Biotechnol J The rice RNase P protein subunit Rpp30 confers broad-spectrum resistance to fungal and bacterial pathogens. |
Reviews
The reviews below have been submitted by verified Proteintech customers who received an incentive for providing their feedback.
FH MALLIKARJUNA (Verified Customer) (10-24-2025) | works well for Western blot
|
FH Xiaoyu (Verified Customer) (07-18-2024) | Gives a nice, strong and specific signal in Western Blot.
![]() |








