Tested Applications
| Positive WB detected in | mouse brain tissue, mouse cerebellum tissue, rat brain tissue, rat cerebellum tissue |
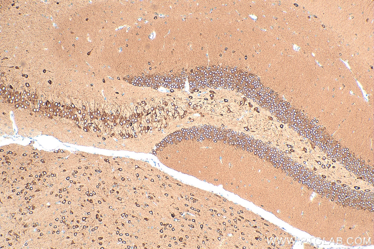
| Positive IHC detected in | mouse brain tissue Note: suggested antigen retrieval with TE buffer pH 9.0; (*) Alternatively, antigen retrieval may be performed with citrate buffer pH 6.0 |
Recommended dilution
| Application | Dilution |
|---|---|
| Western Blot (WB) | WB : 1:20000-1:100000 |
| Immunohistochemistry (IHC) | IHC : 1:200-1:800 |
| It is recommended that this reagent should be titrated in each testing system to obtain optimal results. | |
| Sample-dependent, Check data in validation data gallery. | |
Published Applications
| WB | See 1 publications below |
| IF | See 1 publications below |
Product Information
24786-1-AP targets TMEM35 in WB, IHC, IF, ELISA applications and shows reactivity with human, mouse samples.
| Tested Reactivity | human, mouse |
| Cited Reactivity | human |
| Host / Isotype | Rabbit / IgG |
| Class | Polyclonal |
| Type | Antibody |
| Immunogen |
CatNo: Ag20589 Product name: Recombinant human TMEM35 protein Source: e coli.-derived, PGEX-4T Tag: GST Domain: 125-167 aa of BC078658 Sequence: LTCRLLIARKPEDRSSEKKPLPGNAEEQPSLYEKAPQGKVKVS Predict reactive species |
| Full Name | transmembrane protein 35 |
| Calculated Molecular Weight | 167 aa, 18 kDa |
| Observed Molecular Weight | 20 kDa |
| GenBank Accession Number | BC078658 |
| Gene Symbol | TMEM35 |
| Gene ID (NCBI) | 59353 |
| RRID | AB_2879723 |
| Conjugate | Unconjugated |
| Form | Liquid |
| Purification Method | Antigen affinity purification |
| UNIPROT ID | Q53FP2 |
| Storage Buffer | PBS with 0.02% sodium azide and 50% glycerol, pH 7.3. |
| Storage Conditions | Store at -20°C. Stable for one year after shipment. Aliquoting is unnecessary for -20oC storage. 20ul sizes contain 0.1% BSA. |
Background Information
TMEM35 is a 167-amino acid peptide with a putative NH2 terminal signal peptide, three hydrophobic transmembrane domains, and a nerve growth factor binding domain.TMEM35is 18kDa and has been shown to localize to membrane-bound structures within cells.
Protocols
| Product Specific Protocols | |
|---|---|
| IHC protocol for TMEM35 antibody 24786-1-AP | Download protocol |
| WB protocol for TMEM35 antibody 24786-1-AP | Download protocol |
| Standard Protocols | |
|---|---|
| Click here to view our Standard Protocols |
Publications
| Species | Application | Title |
|---|---|---|
Am J Respir Cell Mol Biol Nicotine-induced ER Stress and ASM Cell Proliferation is Mediated by α7nAChR and Chaperones-RIC-3 and TMEM35 | ||





