ABHD14B Recombinant monoclonal antibody

ABHD14B Uni-rAb® Recombinant Antibody for WB, ELISA
Cat No. 87389-1-RR
Clone No.252778C8

Host / Isotype

Rabbit / IgG

Reactivity

human, mouse

Applications

WB, ELISA

Abhydrolase domain-containing protein 14B, Alpha/beta hydrolase domain-containing protein 14B, CCG1-interacting factor B, CIB, EC:2.3.1.-

Formulation:  PBS, Azide, Glycerol
PBS, Azide, Glycerol
PBS Only
Conjugate:  Unconjugated
Unconjugated
Size/Concentration: 

-/ -

Freight/Packing: -

Quantity

Please visit your regions distributor:


Tested Applications

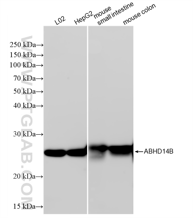
Positive WB detected inL02 cells, mouse liver tissue, HepG2 cells, mouse small intestine tissue, mouse colon tissue, mouse kidney tissue

Recommended dilution

ApplicationDilution
Western Blot (WB)WB : 1:5000-1:50000
It is recommended that this reagent should be titrated in each testing system to obtain optimal results.
Sample-dependent, Check data in validation data gallery.

Product Information

87389-1-RR targets ABHD14B in WB, ELISA applications and shows reactivity with human, mouse samples.

Tested Reactivity human, mouse
Host / Isotype Rabbit / IgG
Class Recombinant
Type Antibody
Immunogen

CatNo: Ag15097

Product name: Recombinant human ABHD14B protein

Source: e coli.-derived, PET28a

Tag: 6*His

Domain: 1-210 aa of BC007234

Sequence: MAASVEQREGTIQVQGQALFFREALPGSGQARFSVLLLHGIRFSSETWQNLGTLHRLAQAGYRAVAIDLPGLGHSKEAAAPAPIGELAPGSFLAAVVDALELGPPVVISPSLSGMYSLPFLTAPGSQLPGFVPVAPICTDKINAANYASVKTPALIVYGDQDPMGQTSFEHLKQLPNHRVLIMKGAGHPCYLDKPEEWHTGLLDFLQGLQ

Predict reactive species
Full Name abhydrolase domain containing 14B
Calculated Molecular Weight 210 aa, 22 kDa
Observed Molecular Weight20-30 kDa
GenBank Accession NumberBC007234
Gene Symbol ABHD14B
Gene ID (NCBI) 84836
Conjugate Unconjugated
FormLiquid
Purification MethodProtein A purification
UNIPROT IDQ96IU4
Storage Buffer PBS with 0.02% sodium azide and 50% glycerol, pH 7.3.
Storage ConditionsStore at -20°C. Stable for one year after shipment. Aliquoting is unnecessary for -20oC storage. 20ul sizes contain 0.1% BSA.

Background Information

ABHD14B possessed the canonical ABHD fold, an invariant catalytic triad (Ser-His-Asp), and based on its protein sequence, was subsequently categorized as an outlying member of the metabolic serine hydrolase family. ABHD14B was able to transfer an acetyl group from post translationally modified protein lysine residue to coenzyme-A (CoA), thus making the biologically important acetyl-CoA.

Protocols

Product Specific Protocols
WB protocol for ABHD14B antibody 87389-1-RRDownload protocol
Standard Protocols
Click here to view our Standard Protocols
Loading...
||
New chat

Able

正在加载,请稍候...