Tested Applications
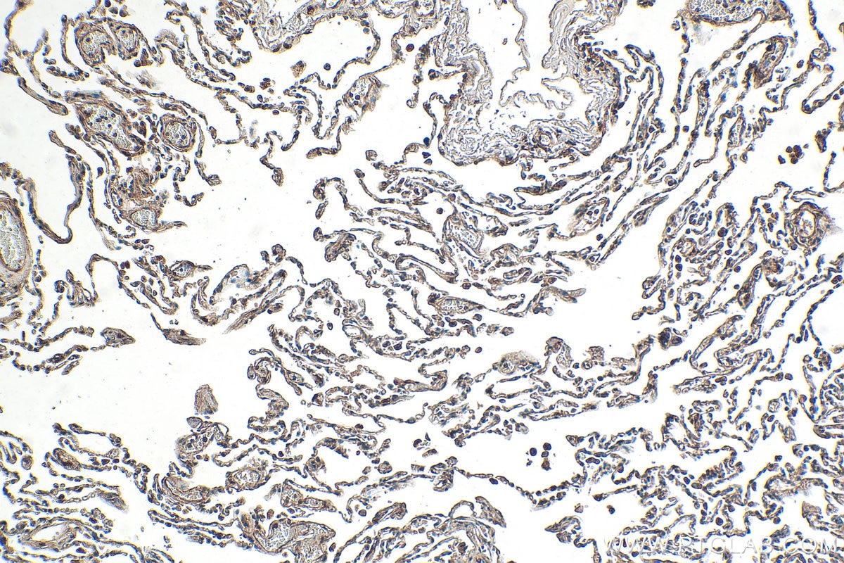
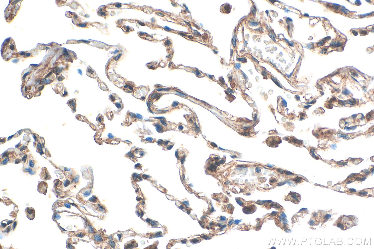
| Positive IHC detected in | human lung tissue Note: suggested antigen retrieval with TE buffer pH 9.0; (*) Alternatively, antigen retrieval may be performed with citrate buffer pH 6.0 |
| Positive IF/ICC detected in | HeLa cells |
Recommended dilution
| Application | Dilution |
|---|---|
| Immunohistochemistry (IHC) | IHC : 1:50-1:500 |
| Immunofluorescence (IF)/ICC | IF/ICC : 1:50-1:500 |
| It is recommended that this reagent should be titrated in each testing system to obtain optimal results. | |
| Sample-dependent, Check data in validation data gallery. | |
Published Applications
| IF | See 1 publications below |
Product Information
27231-1-AP targets ALMS1 in IHC, IF/ICC, ELISA applications and shows reactivity with human samples.
| Tested Reactivity | human |
| Cited Reactivity | human |
| Host / Isotype | Rabbit / IgG |
| Class | Polyclonal |
| Type | Antibody |
| Immunogen |
CatNo: Ag26100 Product name: Recombinant human ALMS1 protein Source: e coli.-derived, PGEX-4T Tag: GST Domain: 2881-3000 aa of NM_015120 Sequence: LEQRELFEQSKAPRADDHVRKHHSPSPQHQDYVAPDLPSCIFLEQRELFEQCKAPYVDHQMRENHSPLPQGQDSIASDLPSPISLEQCQSKAPGVDDQMNKHHFPLPQGQDCVVEKNNQH Predict reactive species |
| Full Name | Alstrom syndrome 1 |
| Calculated Molecular Weight | 461 kDa |
| GenBank Accession Number | NM_015120 |
| Gene Symbol | ALMS1 |
| Gene ID (NCBI) | 7840 |
| RRID | AB_2880812 |
| Conjugate | Unconjugated |
| Form | Liquid |
| Purification Method | Antigen affinity purification |
| UNIPROT ID | Q8TCU4 |
| Storage Buffer | PBS with 0.02% sodium azide and 50% glycerol, pH 7.3. |
| Storage Conditions | Store at -20°C. Stable for one year after shipment. Aliquoting is unnecessary for -20oC storage. 20ul sizes contain 0.1% BSA. |
Background Information
ALMS1 (Alstrom syndrome protein 1) is also KIAA0328. ALMS1 encodes a ~ 0.5 megadalton protein that localises to the base of centrioles. Some studies have suggested a role for this protein in maintaining centriole-nucleated sensory organelles termed primary cilia, and AS is now considered to belong to the growing class of human genetic disorders linked to ciliary dysfunction (ciliopathies). The ALMS1 protein is a component of the centrosome (PMID:30421101). ALMS1 is involved in PCM1-dependent intracellular transport. ALMS1 is required, directly or indirectly, for the localization of NCAPD2 to the proximal ends of centrioles. It is required for proper formation and/or maintenance of primary cilia (PC), microtubule-based structures that protrude from the surface of epithelial cells.
Protocols
| Product Specific Protocols | |
|---|---|
| IF protocol for ALMS1 antibody 27231-1-AP | Download protocol |
| IHC protocol for ALMS1 antibody 27231-1-AP | Download protocol |
| Standard Protocols | |
|---|---|
| Click here to view our Standard Protocols |





