ATP13A3 Polyclonal antibody

ATP13A3 Polyclonal Antibody for WB, IHC, ELISA
Cat No. 55108-1-AP

Host / Isotype

Rabbit / IgG

Reactivity

human

Applications

WB, IHC, ELISA

AFURS1, ATPase type 13A3

Formulation:  PBS, Azide, Glycerol
PBS, Azide, Glycerol
Conjugate:  Unconjugated
Unconjugated
Size/Concentration: 

-/ -

Freight/Packing: -

Quantity

Please visit your regions distributor:


Tested Applications

Positive WB detected inBxPC-3 cells, MCF-7 cells
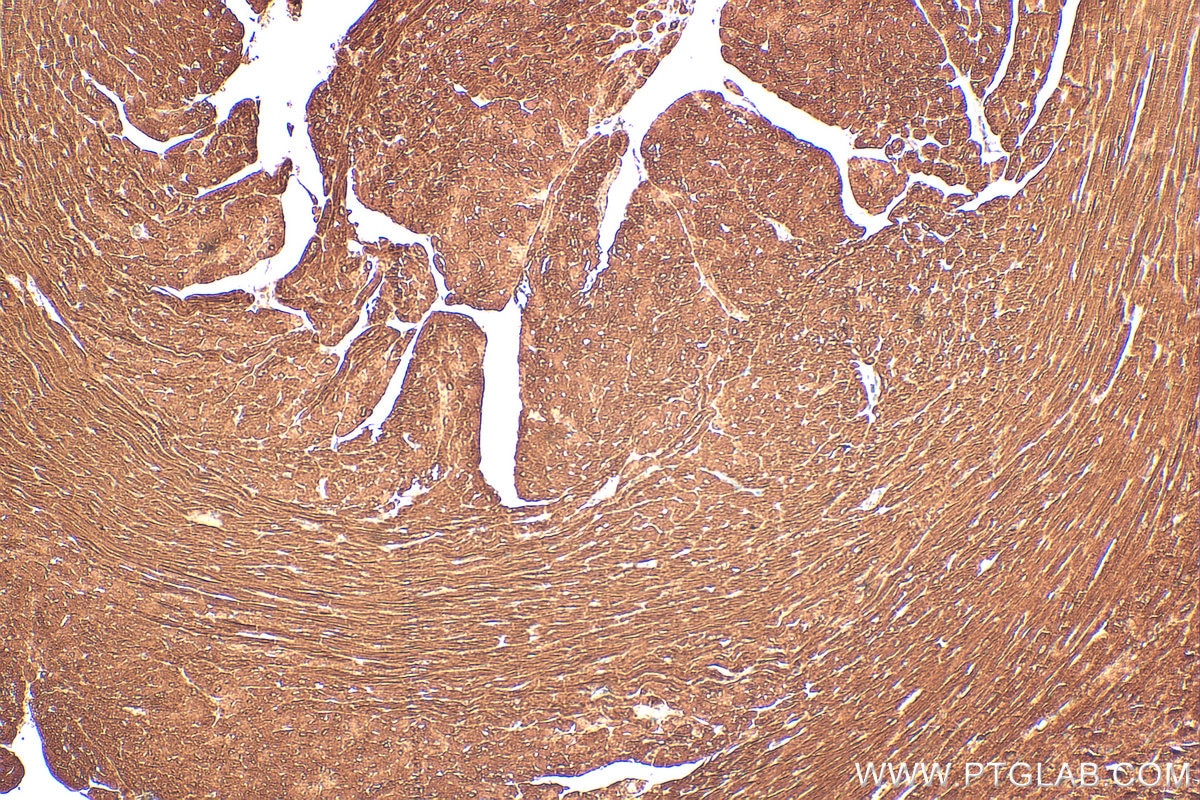
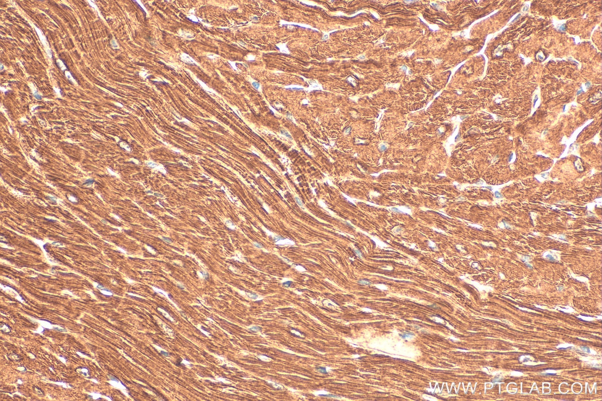
Positive IHC detected inmouse heart tissue
Note: suggested antigen retrieval with TE buffer pH 9.0; (*) Alternatively, antigen retrieval may be performed with citrate buffer pH 6.0

Recommended dilution

ApplicationDilution
Western Blot (WB)WB : 1:500-1:2000
Immunohistochemistry (IHC)IHC : 1:200-1:800
It is recommended that this reagent should be titrated in each testing system to obtain optimal results.
Sample-dependent, Check data in validation data gallery.

Product Information

55108-1-AP targets ATP13A3 in WB, IHC, ELISA applications and shows reactivity with human samples.

Tested Reactivity human
Host / Isotype Rabbit / IgG
Class Polyclonal
Type Antibody
Immunogen

Peptide

Predict reactive species
Full Name ATPase type 13A3
Calculated Molecular Weight 138 kDa
Observed Molecular Weight 78 kDa
GenBank Accession NumberNM_024524
Gene Symbol ATP13A3
Gene ID (NCBI) 79572
RRIDAB_3670238
Conjugate Unconjugated
FormLiquid
Purification MethodAntigen affinity purification
UNIPROT IDQ9H7F0
Storage Buffer PBS with 0.02% sodium azide and 50% glycerol, pH 7.3.
Storage ConditionsStore at -20°C. Stable for one year after shipment. Aliquoting is unnecessary for -20oC storage. 20ul sizes contain 0.1% BSA.

Background Information

ATP13A3 is a member of the P-type ATPase family of proteins that transport a variety of cations across membranes. ATP13A3 is a novel member of the enigmatic mammalian PTS that contributes to cellular polyamine uptake and is implicated in disease(PMID: 33310703). Mutations in ATP13A3 cause Primary Pulmonary Hypertension 5(PMID: 30679663, 34493544). ATP13A3 can be detected as 78 kDa representing a truncated isoform of ATP13A3 as reported (PMID: 35260637).

Protocols

Product Specific Protocols
IHC protocol for ATP13A3 antibody 55108-1-APDownload protocol
WB protocol for ATP13A3 antibody 55108-1-APDownload protocol
Standard Protocols
Click here to view our Standard Protocols

Publications

SpeciesApplicationTitle

Nat Commun

Targeting spermine metabolism to overcome immunotherapy resistance in pancreatic cancer

Authors - Hanshen Yang
Loading...
||
New chat

Able

正在加载,请稍候...