Tested Applications
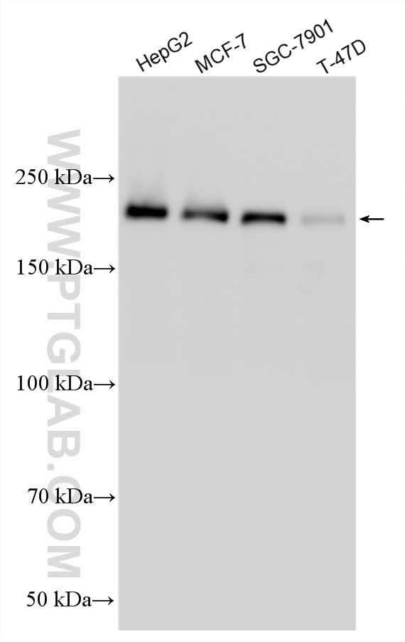
| Positive WB detected in | HepG2 cells, A549 cells, Jurkat cells, MCF-7 cells, Ramos cells, MDA-MB-231 cells, T-47D cells, SGC-7901 cells |
| Positive IP detected in | A549 cells |
| Positive IHC detected in | human lung cancer tissue Note: suggested antigen retrieval with TE buffer pH 9.0; (*) Alternatively, antigen retrieval may be performed with citrate buffer pH 6.0 |
| Positive IF/ICC detected in | HepG2 cells |
Recommended dilution
| Application | Dilution |
|---|---|
| Western Blot (WB) | WB : 1:2000-1:12000 |
| Immunoprecipitation (IP) | IP : 0.5-4.0 ug for 1.0-3.0 mg of total protein lysate |
| Immunohistochemistry (IHC) | IHC : 1:1000-1:4000 |
| Immunofluorescence (IF)/ICC | IF/ICC : 1:300-1:1200 |
| It is recommended that this reagent should be titrated in each testing system to obtain optimal results. | |
| Sample-dependent, Check data in validation data gallery. | |
Published Applications
| KD/KO | See 1 publications below |
| WB | See 9 publications below |
| IHC | See 1 publications below |
| CoIP | See 1 publications below |
Product Information
28486-1-AP targets BRD4 in WB, IHC, IF/ICC, IP, CoIP, ELISA applications and shows reactivity with human samples.
| Tested Reactivity | human |
| Cited Reactivity | human, mouse |
| Host / Isotype | Rabbit / IgG |
| Class | Polyclonal |
| Type | Antibody |
| Immunogen |
Peptide Predict reactive species |
| Full Name | bromodomain containing 4 |
| Calculated Molecular Weight | 1362 aa, 152 kDa |
| Observed Molecular Weight | 200 kDa |
| GenBank Accession Number | BC035266 |
| Gene Symbol | BRD4 |
| Gene ID (NCBI) | 23476 |
| RRID | AB_2918170 |
| Conjugate | Unconjugated |
| Form | Liquid |
| Purification Method | Antigen affinity purification |
| UNIPROT ID | O60885 |
| Storage Buffer | PBS with 0.02% sodium azide and 50% glycerol, pH 7.3. |
| Storage Conditions | Store at -20°C. Stable for one year after shipment. Aliquoting is unnecessary for -20oC storage. 20ul sizes contain 0.1% BSA. |
Background Information
BRD4 is a member of the BET (bromodomain and extra terminal domain) family, which also includes BRD2, BRD3, and BRDT. BRD4, similar to other BET family members, contains two bromodomains that recognize acetylated lysine residues. BRD4 also has an extended C-terminal domain with little sequence homology to other BET family members. BRD4 has some isoforms, the long isoform BRD4-L has an extended C terminus, while the short isoform BRD4-S lacks this C-terminal extension. This antibody detects the small and the long isoform of BRD4, the molecular weight range of BRD4-S and BRD4-L is 110 kDa to 200 kDa (PMID: 32203489).
Protocols
| Product Specific Protocols | |
|---|---|
| IF protocol for BRD4 antibody 28486-1-AP | Download protocol |
| IHC protocol for BRD4 antibody 28486-1-AP | Download protocol |
| IP protocol for BRD4 antibody 28486-1-AP | Download protocol |
| WB protocol for BRD4 antibody 28486-1-AP | Download protocol |
| Standard Protocols | |
|---|---|
| Click here to view our Standard Protocols |
Publications
| Species | Application | Title |
|---|---|---|
Sci Rep BRD4 as the key lactylation related gene in heart failure identified through bioinformatics analysis | ||
bioRxiv Arginine shortage induces replication stress and confers genotoxic resistance by inhibiting histone H4 translation and promoting PCNA polyubiquitination | ||
Tissue Cell Inhibition of BRD4 alleviates pyroptosis induced by testicular ischemia/reperfusion injury through the NLRP3 pathway | ||
Front Med (Lausanne) Screening and identification of microRNAs mediating cartilage endplate degeneration in human intervertebral disks | ||
Cell Commun Signal Specific sDMA modifications on the RGG/RG motif of METTL14 regulate its function in AML | ||
J Transl Med Vascular restenosis following paclitaxel-coated balloon therapy is attributable to NLRP3 activation and LIN9 upregulation |
Reviews
The reviews below have been submitted by verified Proteintech customers who received an incentive for providing their feedback.
FH Fabienne (Verified Customer) (06-13-2024) | detects 3 BRD4 bands in HeLa cells
![]() |


















