C8B Polyclonal antibody

C8B Polyclonal Antibody for WB, IHC, ELISA
Cat No. 25184-1-AP

Host / Isotype

Rabbit / IgG

Reactivity

human

Applications

WB, IHC, ELISA

Formulation:  PBS, Azide, Glycerol
PBS, Azide, Glycerol
Conjugate:  Unconjugated
Unconjugated
Size/Concentration: 

-/ -

Freight/Packing: -

Quantity

Please visit your regions distributor:


Tested Applications

Positive WB detected inhuman plasma
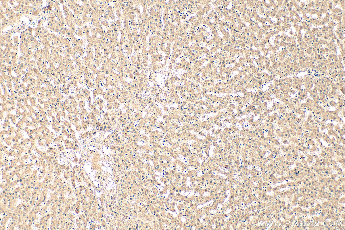
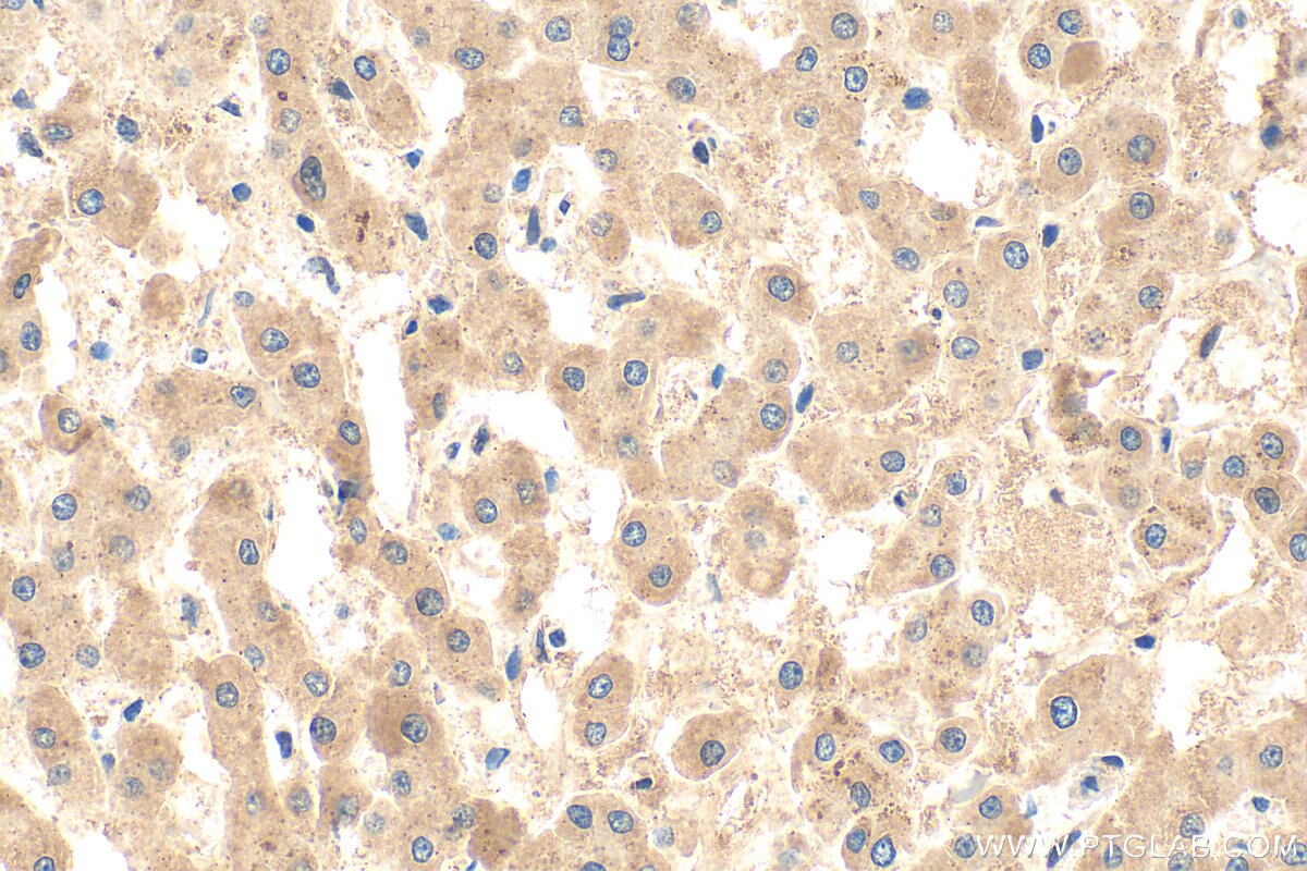
Positive IHC detected inhuman liver tissue
Note: suggested antigen retrieval with TE buffer pH 9.0; (*) Alternatively, antigen retrieval may be performed with citrate buffer pH 6.0

Recommended dilution

ApplicationDilution
Western Blot (WB)WB : 1:1000-1:8000
Immunohistochemistry (IHC)IHC : 1:200-1:800
It is recommended that this reagent should be titrated in each testing system to obtain optimal results.
Sample-dependent, Check data in validation data gallery.

Product Information

25184-1-AP targets C8B in WB, IHC, ELISA applications and shows reactivity with human samples.

Tested Reactivity human
Host / Isotype Rabbit / IgG
Class Polyclonal
Type Antibody
Immunogen

CatNo: Ag18388

Product name: Recombinant human C8B protein

Source: e coli.-derived, PET28a

Tag: 6*His

Domain: 242-591 aa of BC130575

Sequence: RNVTEKMASKSGFSFGFKIPGIFELGISSQSDRGKHYIRRTKRFSHTKSVFLHARSDLEVAHYKLKPRSLMLHYEFLQRVKRLPLEYSYGEYRDLFRDFGTHYITEAVLGGIYEYTLVMNKEAMERGDYTLNNVHACAKNDFKIGGAIEEVYVSLGVSVGKCRGILNEIKDRNKRDTMVEDLVVLVRGGASEHITTLAYQELPTADLMQEWGDAVQYNPAIIKVKVEPLYELVTATDFAYSSTVRQNMKQALEEFQKEVSSCHCAPCQGNGVPVLKGSRCDCICPVGSQGLACEVSYRKNTPIDGKWNCWSNWSSCSGRRKTRQRQCNNPPPQNGGSPCSGPASETLDCS

Predict reactive species
Full Name complement component 8, beta polypeptide
Calculated Molecular Weight 591 aa, 67 kDa
Observed Molecular Weight64 kDa
GenBank Accession NumberBC130575
Gene Symbol C8B
Gene ID (NCBI) 732
RRIDAB_3085774
Conjugate Unconjugated
FormLiquid
Purification MethodAntigen affinity purification
UNIPROT IDP07358
Storage Buffer PBS with 0.02% sodium azide and 50% glycerol, pH 7.3.
Storage ConditionsStore at -20°C. Stable for one year after shipment. Aliquoting is unnecessary for -20oC storage. 20ul sizes contain 0.1% BSA.

Background Information

The beta chain of complement component 8 (C8B) is one of three different subunits (alpha, beta, and gamma) of the complement component 8 (C8), which is a component of the MAC (membrane attack complex). The deficiency of C8B leads to the type II of C8 deficiency, leading to the malfunction of MAC.

Protocols

Product Specific Protocols
IHC protocol for C8B antibody 25184-1-APDownload protocol
WB protocol for C8B antibody 25184-1-APDownload protocol
Standard Protocols
Click here to view our Standard Protocols
Loading...
||
New chat

Able

正在加载,请稍候...