Tested Applications
| Positive WB detected in | SK-BR-3 cells |
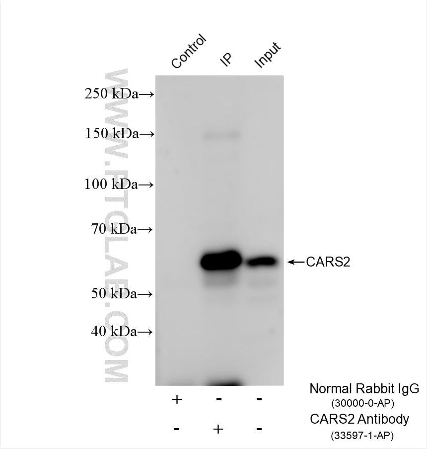
| Positive IP detected in | SK-BR-3 cells |
| Positive IF/ICC detected in | A431 cells |
Recommended dilution
| Application | Dilution |
|---|---|
| Western Blot (WB) | WB : 1:1000-1:4000 |
| Immunoprecipitation (IP) | IP : 0.5-4.0 ug for 1.0-3.0 mg of total protein lysate |
| Immunofluorescence (IF)/ICC | IF/ICC : 1:200-1:800 |
| It is recommended that this reagent should be titrated in each testing system to obtain optimal results. | |
| Sample-dependent, Check data in validation data gallery. | |
Product Information
33597-1-AP targets CARS2 in WB, IF/ICC, IP, ELISA applications and shows reactivity with human samples.
| Tested Reactivity | human |
| Host / Isotype | Rabbit / IgG |
| Class | Polyclonal |
| Type | Antibody |
| Immunogen |
CatNo: Ag38943 Product name: Recombinant human CARS2 protein Source: e coli.-derived, PGEX-4T Tag: GST Domain: 331-564 aa of NM_024537.3 Sequence: FLKTFSPDVFRFFCLRSSYRSAIDYSDSAMLQAQQLLLGLGSFLEDARAYMKGQLACGSVREAMLWERLSSTKRAVKAALADDFDTPRVVDAILGLAHHGNGQLRASLKEPEGPRSPAVFGAIISYFEQFFETVGISLANQQYVSGDGSEATLHGVVDELVRFRQKVRQFALAMPEATGDARRQQLLERQPLLEACDTLRRGLTAHGINIKDRSSTTSTWELLDQRTKDQKSAG Predict reactive species |
| Full Name | cysteinyl-tRNA synthetase 2, mitochondrial (putative) |
| Calculated Molecular Weight | 62kDa,564aa |
| Observed Molecular Weight | 55-63kd |
| GenBank Accession Number | NM_024537.3 |
| Gene Symbol | CARS2 |
| Gene ID (NCBI) | 79587 |
| Conjugate | Unconjugated |
| Form | Liquid |
| Purification Method | Antigen affinity Purification |
| UNIPROT ID | Q9HA77 |
| Storage Buffer | PBS with 0.02% sodium azide and 50% glycerol, pH 7.3. |
| Storage Conditions | Store at -20°C. Stable for one year after shipment. Aliquoting is unnecessary for -20oC storage. 20ul sizes contain 0.1% BSA. |
Background Information
Cars2 (mitochondrial cysteine-tRNA synthetase 2) is a class I aminoacyl-tRNA synthetase encoded by nuclear gene, which locates in mitochondria. Its core function is to catalyze cysteine to bind to corresponding trna, and ensure the translation of mitochondrial protein. Its mutation will cause diseases related to mitochondrial dysfunction.
Protocols
| Product Specific Protocols | |
|---|---|
| IF protocol for CARS2 antibody 33597-1-AP | Download protocol |
| IP protocol for CARS2 antibody 33597-1-AP | Download protocol |
| WB protocol for CARS2 antibody 33597-1-AP | Download protocol |
| Standard Protocols | |
|---|---|
| Click here to view our Standard Protocols |





