Tested Applications
| Positive WB detected in | rat bone marrow tissue |
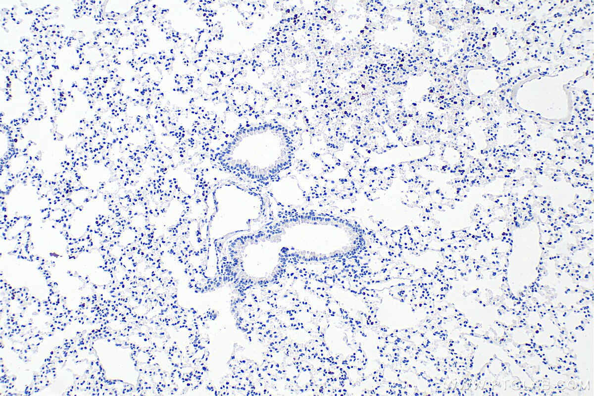
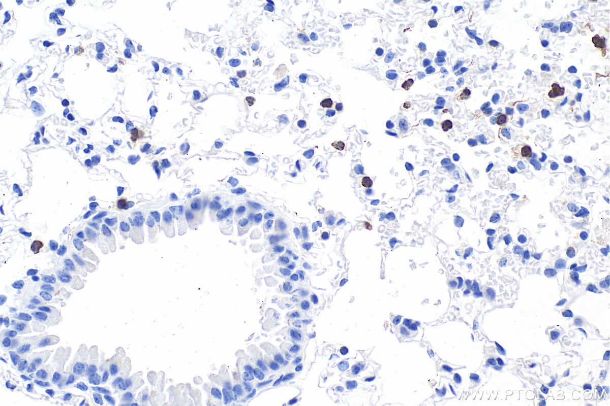
| Positive IHC detected in | mouse lung tissue Note: suggested antigen retrieval with TE buffer pH 9.0; (*) Alternatively, antigen retrieval may be performed with citrate buffer pH 6.0 |
Recommended dilution
| Application | Dilution |
|---|---|
| Western Blot (WB) | WB : 1:500-1:2000 |
| Immunohistochemistry (IHC) | IHC : 1:1000-1:4000 |
| It is recommended that this reagent should be titrated in each testing system to obtain optimal results. | |
| Sample-dependent, Check data in validation data gallery. | |
Product Information
33733-1-AP targets CD177 in WB, IHC, ELISA applications and shows reactivity with mouse, rat samples.
| Tested Reactivity | mouse, rat |
| Host / Isotype | Rabbit / IgG |
| Class | Polyclonal |
| Type | Antibody |
| Immunogen |
CatNo: Eg2668 Product name: recombinant mouse Cd177 protein Source: mammalian cells-derived, V37 Tag: C-rFc Domain: 22-796 aa of NM_026862.3 Sequence: LTCQKSSAQAVRNVAELPLRWWGAGEKTCEVSEGCQDLIMLLYNGPKVNLVIIKGCTEVEDQEPKVIWLRTGPGLSVVSYTRVCRHGDLCNDVNSTKILEELPTPTVPGSLRCPLCLSNDSCENAPEQVCPVGSTHCYDGVLRLRGDGIRTNLKVQGCMAQPDCNLLNGTQAIGTLYMSENCDLIGPQALDCNSGSLETVRNVSDLHLSWTTGWQTCEAGEGCYETVMLIQNGHEFHMVLTKGCTRDMNKKARLTRHRTGPGISIVSYVHVCRDRDFCNDLSTTDPLWTPPPDTELGTLRCRHCLSTGSCVSASELVCPAGSTHCYSGVLSLRGGGVISDLKVQGCISQSQPGCNLLNGTQTIGPVDVREDCGLQLDALKCQHGTLKTIQDISKLPLQWTAGQKICNVGEGCQDTLMLIENGEQVNLVLTKGCTTAKDQEAKVTEHRTGPGLSVTSYTRVCRKKDFCNDLSTTAPLWAPPPVTAPGTTRCPLCFSEQACENAPEQVCPAGSTHCYSGVLSLRGGGIISDLKVQGCMSQPGCNLLNGTQTIGPVDVSERCSPPSETTELSCYRGVMFELGNGFAEEPVKWTAPGSQVCAPDEICQETLLLIDVGQKSAFLGSKGCSSPGAQDNIGVSIFSRLPGMLVASYTKFCSSHLCNGADSSSVLLSILPRPDVPPPGDVQCPMCVELFGSCKSTDSVTCPRGATHCYKGDIALQGGGLTTRVSIQGCMAPPIKPLLGDSKTIGIFSAEESSNYRHEDDVTSAPSLAWTLRLS Predict reactive species |
| Full Name | CD177 antigen |
| Calculated Molecular Weight | 87 kDa |
| Observed Molecular Weight | 130 kDa |
| GenBank Accession Number | NM_026862.3 |
| Gene Symbol | Cd177 |
| Gene ID (NCBI) | 68891 |
| Conjugate | Unconjugated |
| Form | Liquid |
| Purification Method | Antigen affinity Purification |
| UNIPROT ID | Q8R2S8 |
| Storage Buffer | PBS with 0.02% sodium azide and 50% glycerol, pH 7.3. |
| Storage Conditions | Store at -20°C. Stable for one year after shipment. Aliquoting is unnecessary for -20oC storage. 20ul sizes contain 0.1% BSA. |
Background Information
CD177, also known as NB1, HNA-2a or PRV-1, is a glycosylphosphatidylinositol (GPI)-anchored glycoprotein that belongs to the uPAR/CD59/Ly6 snake toxin superfamily (PMID: 17898576). It is expressed exclusively by neutrophils, neutrophilic metamyelocytes, and myelocytes (PMID: 17580308). CD177 interacts with β2 integrin CD11b/CD18 and CD11a/CD18, PECAM-1, and participates in neutrophil activation and transmigration (PMID: 17580308; 21193407). CD177 has been identified as a useful biomarker for myeloproliferative diseases (PMID: 17898576).
Protocols
| Product Specific Protocols | |
|---|---|
| IHC protocol for CD177 antibody 33733-1-AP | Download protocol |
| WB protocol for CD177 antibody 33733-1-AP | Download protocol |
| Standard Protocols | |
|---|---|
| Click here to view our Standard Protocols |





