Tested Applications
| Positive WB detected in | HEK-293 cells, HeLa cells, NIH/3T3 cells, mouse embryo tissue |
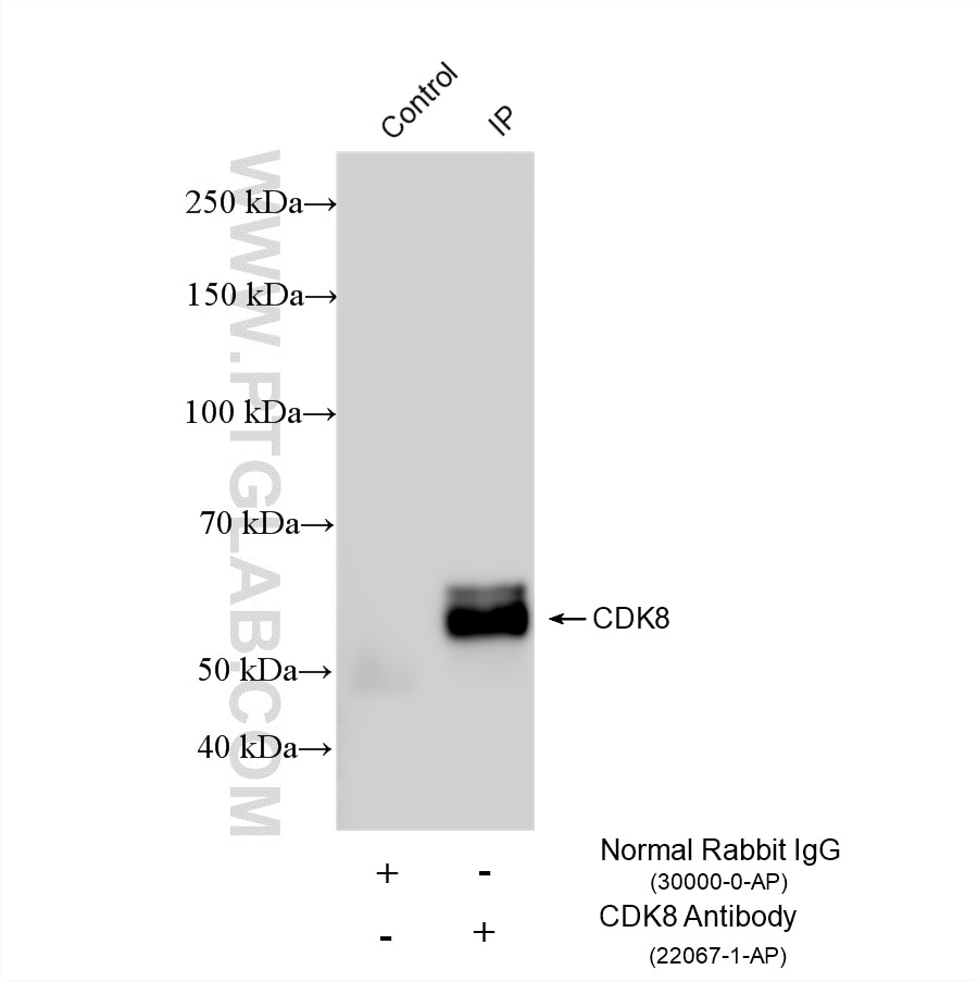
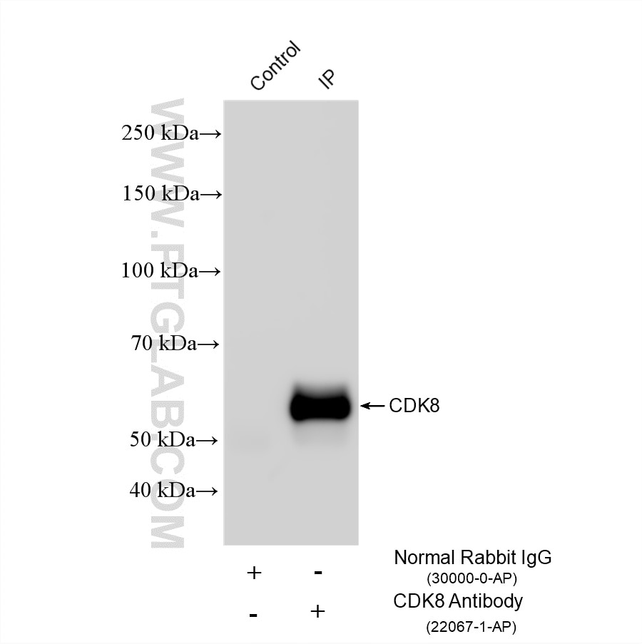
| Positive IP detected in | NIH/3T3 cells, HEK-293 cells |
| Positive IHC detected in | human stomach cancer tissue, human testis tissue Note: suggested antigen retrieval with TE buffer pH 9.0; (*) Alternatively, antigen retrieval may be performed with citrate buffer pH 6.0 |
| Positive FC (Intra) detected in | NIH/3T3 cells |
Recommended dilution
| Application | Dilution |
|---|---|
| Western Blot (WB) | WB : 1:1000-1:6000 |
| Immunoprecipitation (IP) | IP : 0.5-4.0 ug for 1.0-3.0 mg of total protein lysate |
| Immunohistochemistry (IHC) | IHC : 1:20-1:200 |
| Flow Cytometry (FC) (INTRA) | FC (INTRA) : 0.25 ug per 10^6 cells in a 100 µl suspension |
| It is recommended that this reagent should be titrated in each testing system to obtain optimal results. | |
| Sample-dependent, Check data in validation data gallery. | |
Published Applications
| KD/KO | See 3 publications below |
| WB | See 6 publications below |
| IHC | See 2 publications below |
| IF | See 1 publications below |
| IP | See 1 publications below |
Product Information
22067-1-AP targets CDK8 in WB, IHC, IF, FC (Intra), IP, ELISA applications and shows reactivity with human, mouse samples.
| Tested Reactivity | human, mouse |
| Cited Reactivity | human, mouse |
| Host / Isotype | Rabbit / IgG |
| Class | Polyclonal |
| Type | Antibody |
| Immunogen |
CatNo: Ag17148 Product name: Recombinant human CDK8 protein Source: e coli.-derived, PET28a Tag: 6*His Domain: 360-464 aa of BC069634 Sequence: TEEEPDDKGDKNQQQQQGNNHTNGTGHPGNQDSSHTQGPPLKKVRVVPPTTTSGGLIMTSDYQRSNPHAAYPNPGPSTSQPQSSMGYSATSQQPPQYSHQTHRY Predict reactive species |
| Full Name | cyclin-dependent kinase 8 |
| Calculated Molecular Weight | 464 aa, 53 kDa |
| Observed Molecular Weight | 53 kDa |
| GenBank Accession Number | BC069634 |
| Gene Symbol | CDK8 |
| Gene ID (NCBI) | 1024 |
| RRID | AB_2878983 |
| Conjugate | Unconjugated |
| Form | Liquid |
| Purification Method | Antigen affinity purification |
| UNIPROT ID | P49336 |
| Storage Buffer | PBS with 0.02% sodium azide and 50% glycerol, pH 7.3. |
| Storage Conditions | Store at -20°C. Stable for one year after shipment. Aliquoting is unnecessary for -20oC storage. 20ul sizes contain 0.1% BSA. |
Protocols
| Product Specific Protocols | |
|---|---|
| FC protocol for CDK8 antibody 22067-1-AP | Download protocol |
| IHC protocol for CDK8 antibody 22067-1-AP | Download protocol |
| IP protocol for CDK8 antibody 22067-1-AP | Download protocol |
| WB protocol for CDK8 antibody 22067-1-AP | Download protocol |
| Standard Protocols | |
|---|---|
| Click here to view our Standard Protocols |
Publications
| Species | Application | Title |
|---|---|---|
Nucleic Acids Res Loss of MED12 activates the TGFβ pathway to promote chemoresistance and replication fork stability in BRCA-deficient cells.
| ||
PLoS Genet Dual genome-wide CRISPR knockout and CRISPR activation screens identify mechanisms that regulate the resistance to multiple ATR inhibitors.
| ||
Bull Exp Biol Med Knockdown of Long Noncoding RNA CCAT2 Suppresses Malignant Phenotype in Human Laryngeal Squamous Cell Carcinoma | ||
Biochim Biophys Acta Gene Regul Mech PP2A and its adapter protein IER5 induce the DNA-binding ability and target gene expression of E2F1 via dephosphorylation at serine 375 | ||
bioRxiv CDK8 Inhibition Releases the Muscle Differentiation Block in Fusion-driven Alveolar Rhabdomyosarcoma | ||
J Adv Res CDK8 mediated inflammatory microenvironment aggravates osteoarthritis progression
|
Reviews
The reviews below have been submitted by verified Proteintech customers who received an incentive for providing their feedback.
FH SITING (Verified Customer) (04-02-2021) | can see band between 50-65kd
![]() |




















