Tested Applications
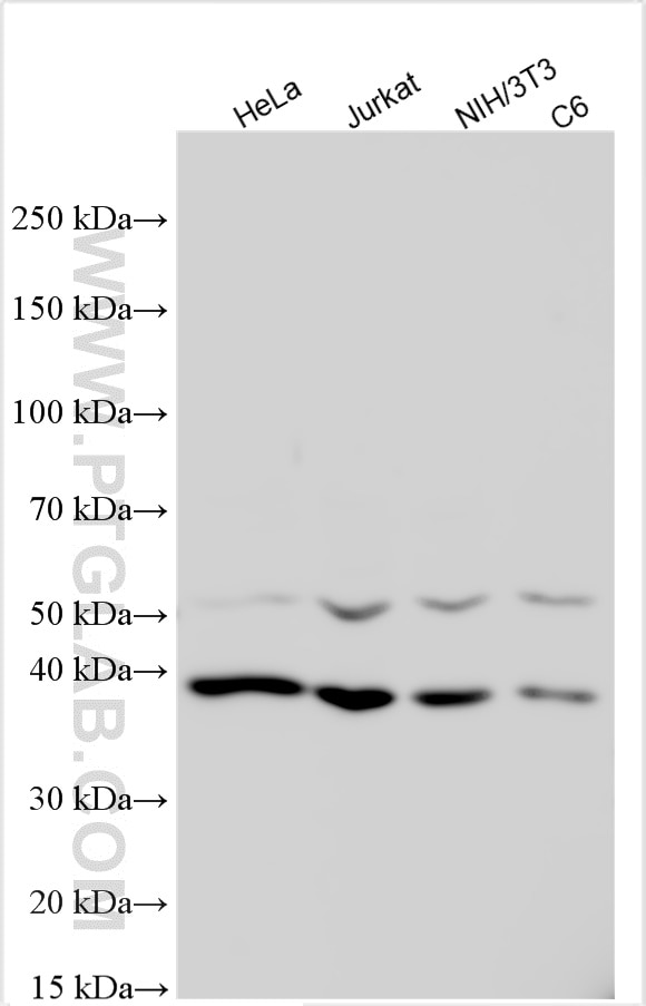
| Positive WB detected in | HeLa cells, HEK-293 cells, Jurkat cells, NIH/3T3 cells, C6 cells |
| Positive IHC detected in | human gliomas tissue, human lung cancer tissue Note: suggested antigen retrieval with TE buffer pH 9.0; (*) Alternatively, antigen retrieval may be performed with citrate buffer pH 6.0 |
| Positive IF/ICC detected in | HeLa cells, U2OS cells |
| Positive FC (Intra) detected in | HeLa cells |
Recommended dilution
| Application | Dilution |
|---|---|
| Western Blot (WB) | WB : 1:5000-1:50000 |
| Immunohistochemistry (IHC) | IHC : 1:50-1:500 |
| Immunofluorescence (IF)/ICC | IF/ICC : 1:50-1:500 |
| Flow Cytometry (FC) (INTRA) | FC (INTRA) : 0.25 ug per 10^6 cells in a 100 µl suspension |
| It is recommended that this reagent should be titrated in each testing system to obtain optimal results. | |
| Sample-dependent, Check data in validation data gallery. | |
Published Applications
| KD/KO | See 2 publications below |
| WB | See 18 publications below |
| IHC | See 2 publications below |
| IF | See 3 publications below |
| IP | See 2 publications below |
Product Information
11705-1-AP targets CDK9 in WB, IHC, IF/ICC, FC (Intra), IP, ELISA applications and shows reactivity with human, mouse, rat samples.
| Tested Reactivity | human, mouse, rat |
| Cited Reactivity | human, mouse |
| Host / Isotype | Rabbit / IgG |
| Class | Polyclonal |
| Type | Antibody |
| Immunogen |
CatNo: Ag2318 Product name: Recombinant human CDK9 protein Source: e coli.-derived, PGEX-4T Tag: GST Domain: 1-372 aa of BC001968 Sequence: MAKQYDSVECPFCDEVSKYEKLAKIGQGTFGEVFKARHRKTGQKVALKKVLMENEKEGFPITALREIKILQLLKHENVVNLIEICRTKASPYNRCKGSIYLVFDFCEHDLAGLLSNVLVKFTLSEIKRVMQMLLNGLYYIHRNKILHRDMKAANVLITRDGVLKLADFGLARAFSLAKNSQPNRYTNRVVTLWYRPPELLLGERDYGPPIDLWGAGCIMAEMWTRSPIMQGNTEQHQLALISQLCGSITPEVWPNVDNYELYEKLELVKGQKRKVKDRLKAYVRDPYALDLIDKLLVLDPAQRIDSDDALNHDFFWSDPMPSDLKGMLSTHLTSMFEYLAPPRRKGSQITQQSTNQSRNPATTNQTEFERVF Predict reactive species |
| Full Name | cyclin-dependent kinase 9 |
| Calculated Molecular Weight | 372 aa, 43 kDa |
| Observed Molecular Weight | 38-42 kDa, 55 kDa |
| GenBank Accession Number | BC001968 |
| Gene Symbol | CDK9 |
| Gene ID (NCBI) | 1025 |
| RRID | AB_2077302 |
| Conjugate | Unconjugated |
| Form | Liquid |
| Purification Method | Antigen affinity purification |
| UNIPROT ID | P50750 |
| Storage Buffer | PBS with 0.02% sodium azide and 50% glycerol, pH 7.3. |
| Storage Conditions | Store at -20°C. Stable for one year after shipment. Aliquoting is unnecessary for -20oC storage. 20ul sizes contain 0.1% BSA. |
Background Information
CDK9(Cyclin-dependent kinase 9) is a member of the Cdc2-like family of kinases. Its cyclin partners are members of the family of cyclin T (T1, T2a and T2b) and cyclin K. The CDK9/cyclin T complexes appear to be involved in regulating several physiological processes. CDK9 has also been described as the kinase of the TAK complex, which is homologous to the P-TEFb complex and involved in HIV replication. In addition, CDK9 seems to have an anti-apoptotic function in monocytes, that may be related to its control over differentiation of monocytes (PMID: 12432243). CDK9 has two isoforms with the molecular mass of 42 kDa and 55 kDa, and the relative abundance of Cdk9(42kDa) and Cdk9(55kDa) changes in different cell types (PMID: 12706900, 15780980).
Protocols
| Product Specific Protocols | |
|---|---|
| FC protocol for CDK9 antibody 11705-1-AP | Download protocol |
| IF protocol for CDK9 antibody 11705-1-AP | Download protocol |
| IHC protocol for CDK9 antibody 11705-1-AP | Download protocol |
| WB protocol for CDK9 antibody 11705-1-AP | Download protocol |
| Standard Protocols | |
|---|---|
| Click here to view our Standard Protocols |
Publications
| Species | Application | Title |
|---|---|---|
Nat Commun The methyltransferase METTL3 negatively regulates nonalcoholic steatohepatitis (NASH) progression. | ||
Nat Commun Deficiency of WTAP in hepatocytes induces lipoatrophy and non-alcoholic steatohepatitis (NASH) | ||
Cell Death Dis CircFUNDC1 interacts with CDK9 to promote mitophagy in nucleus pulposus cells under oxidative stress and ameliorates intervertebral disc degeneration | ||
Commun Biol IGF2BP3 recruits NUDT21 to regulate SPTBN1 alternative polyadenylation and drive ovarian cancer progression |

















