Tested Applications
| Positive WB detected in | HEK-293 cells, HepG2 cells, L02 cells |
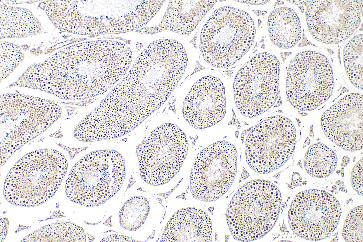
| Positive IHC detected in | mouse testis tissue Note: suggested antigen retrieval with TE buffer pH 9.0; (*) Alternatively, antigen retrieval may be performed with citrate buffer pH 6.0 |
Recommended dilution
| Application | Dilution |
|---|---|
| Western Blot (WB) | WB : 1:2000-1:10000 |
| Immunohistochemistry (IHC) | IHC : 1:50-1:500 |
| It is recommended that this reagent should be titrated in each testing system to obtain optimal results. | |
| Sample-dependent, Check data in validation data gallery. | |
Product Information
23005-1-AP targets CENPV in WB, IHC, ELISA applications and shows reactivity with human, mouse samples.
| Tested Reactivity | human, mouse |
| Host / Isotype | Rabbit / IgG |
| Class | Polyclonal |
| Type | Antibody |
| Immunogen |
CatNo: Ag19210 Product name: Recombinant human CENPV protein Source: e coli.-derived, PGEX-4T Tag: GST Domain: 1-125 aa of BC137486 Sequence: MRRSRSSAAAKLRGQKRSGASAAPAASAAAALAPSATRTRRSASQAGSKSQAVEKPPSEKPRLRRSSPRAQEEGPGEPPPPELALLPPPPPPPPTPATPTSSASNLDLGEQRERWETFQKRQKLT Predict reactive species |
| Full Name | centromere protein V |
| Calculated Molecular Weight | 275 aa, 30 kDa |
| Observed Molecular Weight | 30-33 kDa |
| GenBank Accession Number | BC137486 |
| Gene Symbol | CENPV |
| Gene ID (NCBI) | 201161 |
| Conjugate | Unconjugated |
| Form | Liquid |
| Purification Method | Antigen Affinity purified |
| UNIPROT ID | Q7Z7K6 |
| Storage Buffer | PBS with 0.02% sodium azide and 50% glycerol, pH 7.3. |
| Storage Conditions | Store at -20°C. Stable for one year after shipment. Aliquoting is unnecessary for -20oC storage. 20ul sizes contain 0.1% BSA. |
Protocols
| Product Specific Protocols | |
|---|---|
| IHC protocol for CENPV antibody 23005-1-AP | Download protocol |
| WB protocol for CENPV antibody 23005-1-AP | Download protocol |
| Standard Protocols | |
|---|---|
| Click here to view our Standard Protocols |



