Product Information
87574-1-PBS targets CNTN2 as part of a matched antibody pair:
MP03102-1: 87574-2-PBS capture and 87574-1-PBS detection (validated in Cytometric bead array)
Unconjugated rabbit recombinant monoclonal antibody in PBS only (BSA and azide free) storage buffer at a concentration of 1 mg/mL, ready for conjugation. Created using Proteintech’s proprietary in-house recombinant technology. Recombinant production enables unrivalled batch-to-batch consistency, easy scale-up, and future security of supply.
This conjugation ready format makes antibodies ideal for use in many applications including: ELISAs, multiplex assays requiring matched pairs, mass cytometry, and multiplex imaging applications.Antibody use should be optimized by the end user for each application and assay.
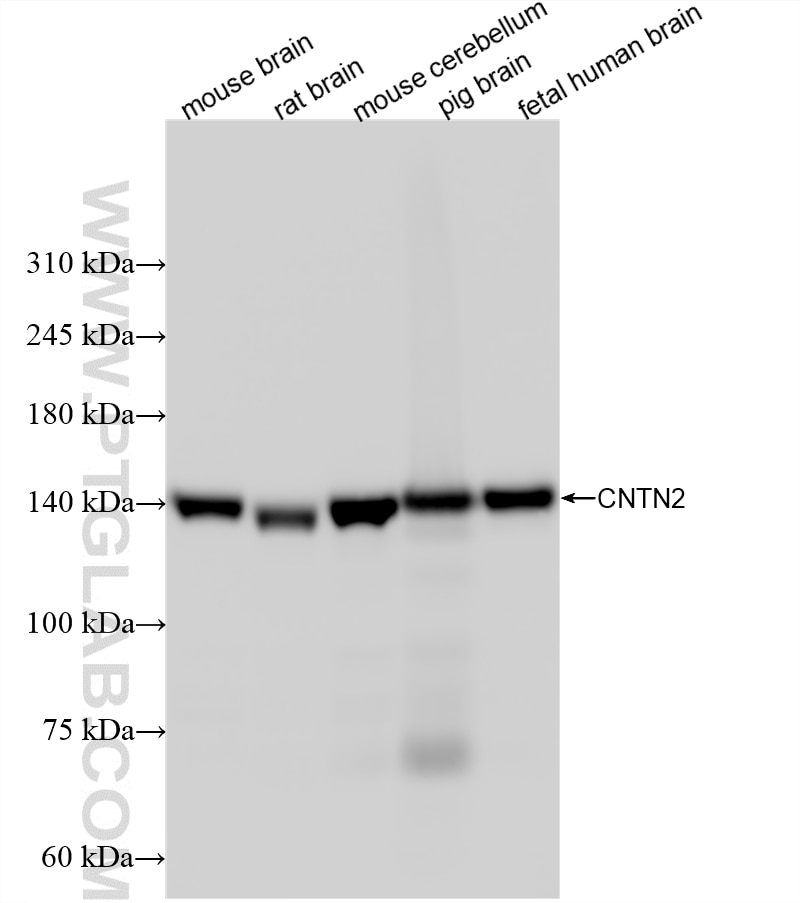
| Tested Reactivity | human, mouse, rat, pig |
| Host / Isotype | Rabbit / IgG |
| Class | Recombinant |
| Type | Antibody |
| Immunogen |
CatNo: Eg5489 Product name: Recombinant human CNTN2 protein Source: mammalian cells-derived, V37 Tag: C-rFc Domain: 31-1012 aa of NM_001346083.2 Sequence: SQTTFGPVFEDQPLSVLFPEESTEEQVLLACRARASPPATYRWKMNGTEMKLEPGSRHQLVGGNLVIMNPTKAQDAGVYQCLASNPVGTVVSREAILRFGFLQEFSKEERDPVKAHEGWGVMLPCNPPAHYPGLSYRWLLNEFPNFIPTDGRHFVSQTTGNLYIARTNASDLGNYSCLATSHMDFSTKSVFSKFAQLNLAAEDTRLFAPSIKARFPAETYALVGQQVTLECFAFGNPVPRIKWRKVDGSLSPQWTTAEPTLQIPSVSFEDEGTYECEAENSKGRDTVQGRIIVQAQPEWLKVISDTEADIGSNLRWGCAAAGKPRPTVRWLRNGEPLASQNRVEVLAGDLRFSKLSLEDSGMYQCVAENKHGTIYASAELAVQALAPDFRLNPVRRLIPAARGGEILIPCQPRAAPKAVVLWSKGTEILVNSSRVTVTPDGTLIIRNISRSDEGKYTCFAENFMGKANSTGILSVRDATKITLAPSSADINLGDNLTLQCHASHDPTMDLTFTWTLDDFPIDFDKPGGHYRRTNVKETIGDLTILNAQLRHGGKYTCMAQTVVDSASKEATVLVRGPPGPPGGVVVRDIGDTTIQLSWSRGFDNHSPIAKYTLQARTPPAGKWKQVRTNPANIEGNAETAQVLGLTPWMDYEFRVIASNILGTGEPSGPSSKIRTREAAPSVAPSGLSGGGGAPGELIVNWTPMSREYQNGDGFGYLLSFRRQGSTHWQTARVPGADAQYFVYSNESVRPYTPFEVKIRSYNRRGDGPESLTALVYSAEEEPRVAPTKVWAKGVSSSEMNVTWEPVQQDMNGILLGYEIRYWKAGDKEAAADRVRTAGLDTSARVSGLHPNTKYHVTVRAYNRAGTGPASPSANATTMKPPPRRPPGNISWTFSSSSLSIKWDPVVPFRNESAVTGYKMLYQNDLHLTPTLHLTGKNWIEIPVPEDIGHALVQIRTTGPGGDGIPAEVHIVRNGGTSMMVEN Predict reactive species |
| Full Name | contactin 2 (axonal) |
| Calculated Molecular Weight | 113 kDa |
| Observed Molecular Weight | 135~150 kDa |
| GenBank Accession Number | NM_001346083.2 |
| Gene Symbol | CNTN2 |
| Gene ID (NCBI) | 6900 |
| Conjugate | Unconjugated |
| Form | Liquid |
| Purification Method | Protein A purification |
| UNIPROT ID | Q02246 |
| Storage Buffer | PBS only, pH 7.3. |
| Storage Conditions | Store at -80°C. |
Background Information
Contactin-2 (CNTN2), also known as CNTN2 or axonal glycoprotein TAG-1, is a cell adhesion molecule anchored within the cell membrane that is a member of the immunoglobulin family. It is reported to be transiently expressed in specific neurons during the fetal period (PMID: 27621318, 29777776). CNTN2 consists of six Ig domains followed by four fibronectin domains, and it is tethered to the cell surface by a glycosylphosphatidylinositol anchor. CNTN2 levels may reflect impairment of brain development and indirectly brain iron stores, which are likely deficient in infants of maternal IDA or chronic hypoxic states like IDMs (PMID: 26718491).







