Tested Applications
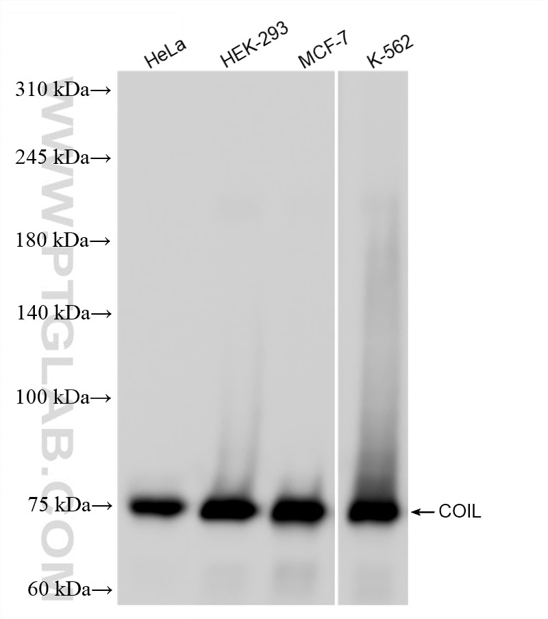
| Positive WB detected in | HeLa cells, HEK-293 cells, NIH/3T3 cells, MCF-7 cells, K-562 cells, C6 cells |
| Positive IF/ICC detected in | HepG2 cells |
Recommended dilution
| Application | Dilution |
|---|---|
| Western Blot (WB) | WB : 1:5000-1:50000 |
| Immunofluorescence (IF)/ICC | IF/ICC : 1:500-1:2000 |
| It is recommended that this reagent should be titrated in each testing system to obtain optimal results. | |
| Sample-dependent, Check data in validation data gallery. | |
Product Information
87171-1-RR targets Coilin in WB, IF/ICC, ELISA applications and shows reactivity with human, mouse, rat samples.
| Tested Reactivity | human, mouse, rat |
| Host / Isotype | Rabbit / IgG |
| Class | Recombinant |
| Type | Antibody |
| Immunogen |
CatNo: Ag1416 Product name: Recombinant human COIL protein Source: e coli.-derived, PGEX-4T Tag: GST Domain: 212-576 aa of BC010385 Sequence: ANQRCSSPKGSARNSLVKAKRKGSVSVCSKESPSSSSESESCDESISDGPSKVTLEARNSSEKLPTELSKEEPSTKNTTADKLAIKLGFSLTPSKGKTSGTTSSSSDSSAESDDQCLMSSSTPECAAGFLKTVGLFAGRGRPGPGLSSQTAGAAGWRRSGSNGGGQAPGASPSVSLPASLGRGWGREENLFSWKGAKGRGMRGRGRGRGHPVSCVVNRSTDNQRQQQLNDVVKNSSTIIQNPVETPKKDYSLLPLLAAAPQVGEKIAFKLLELTSSYSPDVSDYKEGRILSHNPETQQVDIEILSSLPALREPGKFDLVYHNENGAEVVEYAVTQESKITVFWKELIDPRLIIESPSNTSSTEPA Predict reactive species |
| Full Name | coilin |
| Calculated Molecular Weight | 576 aa, 63 kDa |
| Observed Molecular Weight | 75 kDa |
| GenBank Accession Number | BC010385 |
| Gene Symbol | COIL |
| Gene ID (NCBI) | 8161 |
| Conjugate | Unconjugated |
| Form | Liquid |
| Purification Method | Protein A purification |
| UNIPROT ID | P38432 |
| Storage Buffer | PBS with 0.02% sodium azide and 50% glycerol, pH 7.3. |
| Storage Conditions | Store at -20°C. Stable for one year after shipment. Aliquoting is unnecessary for -20oC storage. 20ul sizes contain 0.1% BSA. |
Background Information
The nuclear coiled body(CBs) and nuclear structures known as gems contain high concentrations of the survival motor neurons (SMN) protein complex. CBs and gems often colocalize, and communication between them is mediated by COIL. COIL is a component of the CBS which are involved in the function or assembly/disassembly of nucleoplasmic snRNPs. During mitosis, CBs disassemble, coinciding with a mitotic-specific phosphorylation of p80 coilin, and symmetrical dimethylation of the COIL RG box motif is a molecular switch that determines whether the SMN complex forms gems or becomes incorporated into CBs.
Protocols
| Product Specific Protocols | |
|---|---|
| IF protocol for Coilin antibody 87171-1-RR | Download protocol |
| WB protocol for Coilin antibody 87171-1-RR | Download protocol |
| Standard Protocols | |
|---|---|
| Click here to view our Standard Protocols |









