• KD/KO Validated

CRLF2 Polyclonal antibody

CRLF2 Polyclonal Antibody for WB, ELISA

Cat No. 28365-1-AP

Host / Isotype

Rabbit / IgG

Reactivity

human

Applications

WB, ELISA

CRL2, CRLF2Y, IL XR, ILXR, TSLP receptor

Formulation:  PBS, Azide, Glycerol
PBS, Azide, Glycerol
Conjugate:  Unconjugated
Unconjugated
Size/Concentration: 

-/ -

Freight/Packing: -

Quantity

Please visit your regions distributor:


Tested Applications

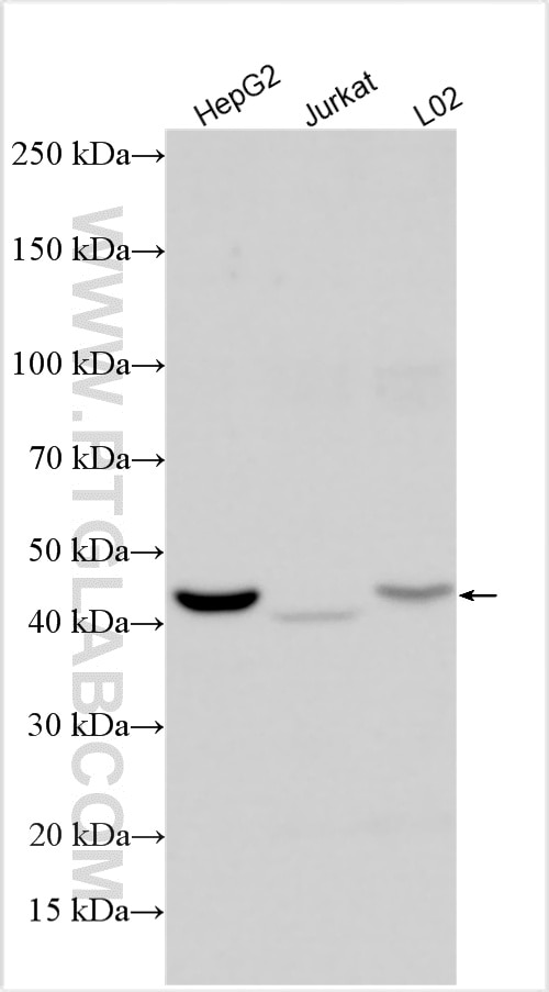
Positive WB detected inHepG2 cells, Jurkat cells, L02 cells

Recommended dilution

ApplicationDilution
Western Blot (WB)WB : 1:500-1:2000
It is recommended that this reagent should be titrated in each testing system to obtain optimal results.
Sample-dependent, Check data in validation data gallery.

Product Information

28365-1-AP targets CRLF2 in WB, ELISA applications and shows reactivity with human samples.

Tested Reactivity human
Host / Isotype Rabbit / IgG
Class Polyclonal
Type Antibody
Immunogen

CatNo: Ag26842

Product name: Recombinant human CRLF2 protein

Source: e coli.-derived, PGEX-4T

Tag: GST

Domain: 24-123 aa of NM_001012288

Sequence: MGGAAEGVQIQIIYFNLETVQVTWNASKYSRTNLTFHYRFNGDEAYDQCTNYLLQEGHTSGCLLDAEQRDDILYFSIRNGTHPVFTASRWMVYYLKPSSPK

Predict reactive species
Full Name cytokine receptor-like factor 2
Calculated Molecular Weight 42 kDa
Observed Molecular Weight42 kDa
GenBank Accession NumberNM_001012288
Gene Symbol CRLF2
Gene ID (NCBI) 64109
Conjugate Unconjugated
FormLiquid
Purification MethodAntigen affinity purification
UNIPROT IDQ9HC73
Storage Buffer PBS with 0.02% sodium azide and 50% glycerol, pH 7.3.
Storage ConditionsStore at -20°C. Stable for one year after shipment. Aliquoting is unnecessary for -20oC storage. 20ul sizes contain 0.1% BSA.

Background Information

Cytokine receptor-like factor 2 (CRLF2), also known as the thymic stromal derived lymphopoietin receptor (TSLPR), which in combination with the interleukin 7 receptor a chain (IL-7R) forms the receptor for thymic stromal lymphopoietin. CRLF2 is a type I cytokine receptor. CRLF2 rearrangements occur either as a translocation to the immunoglobulin heavy-chain enhancer region (IGH-CRLF2) or by a deletion of upstream PAR1 that leads to joining of CRLF2 to adjacent P2RY8. CRLF2 is expressed in heart, skeletal muscle, kidney and adult and fetal liver and is primarily expressed in dendrites and monocytes. (PMID: 20807819; 31644323; 33485429)

Protocols

Product Specific Protocols
WB protocol for CRLF2 antibody 28365-1-APDownload protocol
Standard Protocols
Click here to view our Standard Protocols
Loading...
||
New chat

Able

正在加载,请稍候...