• Featured Product
  • KD/KO Validated

CXCL12/SDF-1 Polyclonal antibody

CXCL12/SDF-1 Polyclonal Antibody for IHC, IF/ICC, ELISA
Cat No. 17402-1-AP

Host / Isotype

Rabbit / IgG

Reactivity

human, mouse and More (1)

Applications

WB, IHC, IF/ICC, ELISA

CXCL12, C-X-C motif chemokine 12, hIRH, hSDF-1, IRH

Formulation:  PBS and Azide
PBS and Azide
Conjugate:  Unconjugated
Unconjugated
CoraLite® Plus 488
Size/Concentration: 

-/ -

Freight/Packing: -

Quantity

Please visit your regions distributor:


Tested Applications

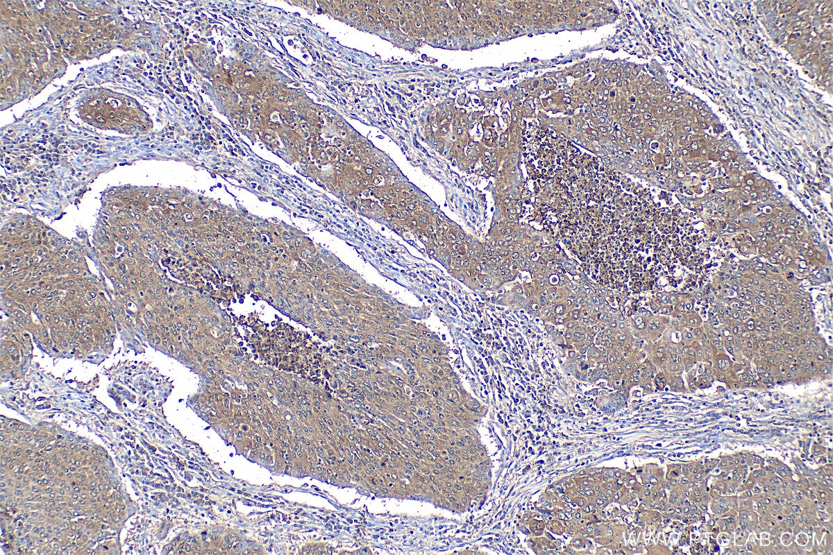
Positive IHC detected inhuman liver cancer tissue, human lung cancer tissue
Note: suggested antigen retrieval with TE buffer pH 9.0; (*) Alternatively, antigen retrieval may be performed with citrate buffer pH 6.0
Positive IF/ICC detected inJurkat cells

Recommended dilution

ApplicationDilution
Immunohistochemistry (IHC)IHC : 1:50-1:500
Immunofluorescence (IF)/ICCIF/ICC : 1:200-1:800
It is recommended that this reagent should be titrated in each testing system to obtain optimal results.
Sample-dependent, Check data in validation data gallery.

Product Information

17402-1-AP targets CXCL12/SDF-1 in WB, IHC, IF/ICC, ELISA applications and shows reactivity with human, mouse samples.

Tested Reactivity human, mouse
Cited Reactivityhuman, mouse, rat
Host / Isotype Rabbit / IgG
Class Polyclonal
Type Antibody
Immunogen

CatNo: Ag11379

Product name: Recombinant human CXCL12 protein

Source: e coli.-derived, PGEX-4T

Tag: GST

Domain: 19-89 aa of BC039893

Sequence: SDGKPVSLSYRCPCRFFESHVARANVKHLKILNTPNCALQIVARLKNNNRQVCIDPKLKWIQEYLEKALNK

Predict reactive species
Full Name chemokine (C-X-C motif) ligand 12 (stromal cell-derived factor 1)
Calculated Molecular Weight 89 aa, 10 kDa
GenBank Accession NumberBC039893
Gene Symbol CXCL12/SDF-1
Gene ID (NCBI) 6387
RRIDAB_2878404
Conjugate Unconjugated
FormLiquid
Purification MethodAntigen affinity purification
UNIPROT IDP48061
Storage Buffer PBS with 0.02% sodium azide and 50% glycerol, pH 7.3.
Storage ConditionsStore at -20°C. Stable for one year after shipment. Aliquoting is unnecessary for -20oC storage. 20ul sizes contain 0.1% BSA.

Background Information

In adulthood, CXCL12 plays an important role in angiogenesis by recruiting endothelial progenitor cells (EPCs) from the bone marrow through a CXCR4 dependent mechanism (PMID: 17878755). It is this function of CXCL12 that makes it a very important factor in carcinogenesis and the neovascularisation linked to tumour progression (PMID: 16943240). CXCL12 also has a role in tumor metastasis where cancer cells that express the receptor CXCR4 are attracted to metastasis target tissues that release the ligand, CXCL12 (PMID: 11242036 ). In breast cancer, however, increased expression of CXCL12 determines a reduced risk of distant metastasis (PMID: 19646861; 17724466 ). This antibody can detect all the isoforms of CXCL12/SDF1.

Protocols

Product Specific Protocols
IHC protocol for CXCL12/SDF-1 antibody 17402-1-APDownload protocol
IF protocol for CXCL12/SDF-1 antibody 17402-1-APDownload protocol
Standard Protocols
Click here to view our Standard Protocols

Publications

SpeciesApplicationTitle
IF

Nature

Tumoural activation of TLR3-SLIT2 axis in endothelium drives metastasis.

Authors - Bernardo Tavora
ratWB

Acta Biomater

Sodium alginate/collagen/stromal cell-derived factor-1 neural scaffold loaded with BMSCs promotes neurological function recovery after traumatic brain injury.

Authors - Shanshan Ma
mouseWB

Biomed Pharmacother

Angelica sinensis polysaccharides ameliorated 5-Fluorouracil-induced damage of early B cell progenitors by alleviating oxidative stress of IL-7 producing mesenchymal stem and progenitor cells

Authors - Hanxianzhi Xiao
humanWB

Breast Cancer Res

CXCR4 promotes tumor stemness maintenance and CDK4/6 inhibitors resistance in ER-positive breast cancer

Authors - Qiangfeng Shi
human

Mol Oncol

Growth arrest-specific protein 2 (GAS2) interacts with CXCR4 to promote T-cell leukemogenesis partially via c-MYC

Authors - Yun Zhao
humanWB

J Nanobiotechnology

Magnetic targeting enhances the cutaneous wound healing effects of human mesenchymal stem cell-derived iron oxide exosomes.

Authors - Xiuying Li

Reviews

The reviews below have been submitted by verified Proteintech customers who received an incentive for providing their feedback.


FH

Yohanes (Verified Customer) (09-16-2022)

Good specificity antibody for immunofluoresence experiment.

  • Applications: Western Blot, Immunofluorescence
  • Primary Antibody Dilution: 1:1000
  • Cell Tissue Type: Mouse brain endothelial cell
CXCL12/SDF-1 Antibody Western Blot,Immunofluorescence validation (1:1000 dilution) in Mouse brain endothelial cell (Cat no:17402-1-AP)
Loading...
||
New chat Able
正在加载,请稍候...