Tested Applications
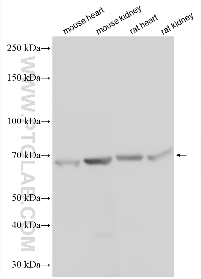
| Positive WB detected in | mouse heart tissue, mouse kidney tissue, rat heart tissue, rat kidney tissue |
Recommended dilution
| Application | Dilution |
|---|---|
| Western Blot (WB) | WB : 1:1000-1:6000 |
| It is recommended that this reagent should be titrated in each testing system to obtain optimal results. | |
| Sample-dependent, Check data in validation data gallery. | |
Product Information
25219-1-AP targets DACH2 in WB, ELISA applications and shows reactivity with human, mouse samples.
| Tested Reactivity | human, mouse |
| Host / Isotype | Rabbit / IgG |
| Class | Polyclonal |
| Type | Antibody |
| Immunogen |
CatNo: Ag18403 Product name: Recombinant human DACH2 protein Source: e coli.-derived, PGEX-4T Tag: GST Domain: 50-181 aa of BC114950 Sequence: KRSLGVLQENARLLTHAVPGLLSPGLITPTGITAAAMAEAMKLQKMKLMAMNTLQGNGSQNGTESEPDDLNSNTGGSESSWDKDKMQSPFAAPGPQHGIAHAALAGQPGIGGAPTLNPLQQNHLLTNRLDLP Predict reactive species |
| Full Name | dachshund homolog 2 (Drosophila) |
| Calculated Molecular Weight | 599 aa, 65 kDa |
| Observed Molecular Weight | 65 kDa |
| GenBank Accession Number | BC114950 |
| Gene Symbol | DACH2 |
| Gene ID (NCBI) | 117154 |
| RRID | AB_2879967 |
| Conjugate | Unconjugated |
| Form | Liquid |
| Purification Method | Antigen affinity purification |
| UNIPROT ID | Q96NX9 |
| Storage Buffer | PBS with 0.02% sodium azide and 50% glycerol, pH 7.3. |
| Storage Conditions | Store at -20°C. Stable for one year after shipment. Aliquoting is unnecessary for -20oC storage. 20ul sizes contain 0.1% BSA. |
Background Information
Dachshund homolog 2 (DACH2), is a 599 amino acid protein, which belongs to the DACH family. DACH2 localizes in the nucleus and as a transcription factor is involved in regulation of organogenesis.
Protocols
| Product Specific Protocols | |
|---|---|
| WB protocol for DACH2 antibody 25219-1-AP | Download protocol |
| Standard Protocols | |
|---|---|
| Click here to view our Standard Protocols |

