Tested Applications
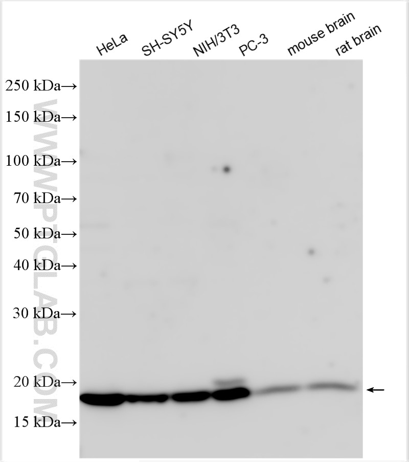
| Positive WB detected in | HeLa cells, PC-3 cells, SH-SY5Y cells, NIH/3T3 cells, mouse brain tissue, rat brain tissue |
| Positive IHC detected in | mouse testis tissue Note: suggested antigen retrieval with TE buffer pH 9.0; (*) Alternatively, antigen retrieval may be performed with citrate buffer pH 6.0 |
| Positive IF/ICC detected in | HeLa cells |
Recommended dilution
| Application | Dilution |
|---|---|
| Western Blot (WB) | WB : 1:2000-1:16000 |
| Immunohistochemistry (IHC) | IHC : 1:50-1:500 |
| Immunofluorescence (IF)/ICC | IF/ICC : 1:50-1:500 |
| It is recommended that this reagent should be titrated in each testing system to obtain optimal results. | |
| Sample-dependent, Check data in validation data gallery. | |
Published Applications
| KD/KO | See 1 publications below |
| WB | See 7 publications below |
| IHC | See 1 publications below |
| IF | See 2 publications below |
| IP | See 1 publications below |
Product Information
11309-1-AP targets EIF5A in WB, IHC, IF/ICC, IP, ELISA applications and shows reactivity with human, mouse, rat samples.
| Tested Reactivity | human, mouse, rat |
| Cited Reactivity | human, mouse |
| Host / Isotype | Rabbit / IgG |
| Class | Polyclonal |
| Type | Antibody |
| Immunogen |
CatNo: Ag1849 Product name: Recombinant human EIF5A protein Source: e coli.-derived, PGEX-4T Tag: GST Domain: 1-154 aa of BC001832 Sequence: MADDLDFETGDAGASATFPMQCSALRKNGFVVLKGRPCKIVEMSTSKTGKHGHAKVHLVGIDIFTGKKYEDICPSTHNMDVPNIKRNDFQLIGIQDGYLSLLQDSGEVREDLRLPEGDLGKEIEQKYDCGEEILITVLSAMTEEAAVAIKAMAK Predict reactive species |
| Full Name | eukaryotic translation initiation factor 5A |
| Calculated Molecular Weight | 18 kDa |
| Observed Molecular Weight | 18 kDa |
| GenBank Accession Number | BC001832 |
| Gene Symbol | EIF5A |
| Gene ID (NCBI) | 1984 |
| RRID | AB_2262001 |
| Conjugate | Unconjugated |
| Form | Liquid |
| Purification Method | Antigen affinity purification |
| UNIPROT ID | P63241 |
| Storage Buffer | PBS with 0.02% sodium azide and 50% glycerol, pH 7.3. |
| Storage Conditions | Store at -20°C. Stable for one year after shipment. Aliquoting is unnecessary for -20oC storage. 20ul sizes contain 0.1% BSA. |
Background Information
Translation of messenger RNA (mRNA) to protein in eukaryotesis a crucial process in protein biosynthesis, in which initiation of translation involves interaction of different eukaryotic translation initiation factors (eIFs), ribosome subunits and mRNAs. Eukaryotic translation initiation factor 5A (EIF5A) is one of the eIFs involved in translation initiation. EIF5A has a essential role in cell viability and the only protein known to contain the amino acid residue hypusine, formed by post-translational modification of a specific lysine residue. Firstly identified as a translation initiation factor, it also has a function in the elongation step of translation.
Protocols
| Product Specific Protocols | |
|---|---|
| IF protocol for EIF5A antibody 11309-1-AP | Download protocol |
| IHC protocol for EIF5A antibody 11309-1-AP | Download protocol |
| WB protocol for EIF5A antibody 11309-1-AP | Download protocol |
| Standard Protocols | |
|---|---|
| Click here to view our Standard Protocols |
Publications
| Species | Application | Title |
|---|---|---|
J Cancer EIF5A expression and its role as a potential diagnostic biomarker in hepatocellular carcinoma. | ||
Nat Chem Biol ENO1 promotes liver carcinogenesis through YAP1-dependent arachidonic acid metabolism
| ||
Oral Dis ZNF331 Represses the Proliferation of Head and Neck Squamous Cell Carcinoma via Co-Repressor TRIM28 | ||
BMC Cancer Multi-omics analysis reveals the impact of YAP/TEAD4-mediated EIF5A1 expression on mitochondrial apoptosis and bladder cancer progression | ||
Poult Sci Spermidine enhances steroidogenesis by elevating eIF5Ahyp level in hierarchical follicular granulosa cells of the goose | ||
Oncol Lett SHCBP1 contributes to the proliferation and self‑renewal of cervical cancer cells and activation of the NF‑κB signaling pathway through EIF5A |











