Tested Applications
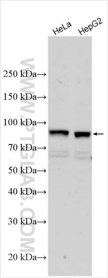
| Positive WB detected in | HeLa cells, HepG2 cells |
Recommended dilution
| Application | Dilution |
|---|---|
| Western Blot (WB) | WB : 1:1000-1:8000 |
| It is recommended that this reagent should be titrated in each testing system to obtain optimal results. | |
| Sample-dependent, Check data in validation data gallery. | |
Product Information
32800-1-AP targets ELL2 in WB, ELISA applications and shows reactivity with human samples.
| Tested Reactivity | human |
| Host / Isotype | Rabbit / IgG |
| Class | Polyclonal |
| Type | Antibody |
| Immunogen |
CatNo: Ag39224 Product name: Recombinant human ELL2 protein Source: e coli.-derived, PGEX-4T Tag: GST Domain: 393-515 aa of BC028412 Sequence: NSNSNSPSTPEGRGTQDLPVDSFSQNDSIYEDQQDKYTSRTSLETLPPGSVLLKCPKPMEENHSMSHKKSKKKSKKHKEKDQIKKHDIETIEEKEEDLKREEEIAKLNNSSPNSSGGVKEDCT Predict reactive species |
| Full Name | elongation factor, RNA polymerase II, 2 |
| Calculated Molecular Weight | 640 aa, 72 kDa |
| Observed Molecular Weight | 80-90 kDa |
| GenBank Accession Number | BC028412 |
| Gene Symbol | ELL2 |
| Gene ID (NCBI) | 22936 |
| Conjugate | Unconjugated |
| Form | Liquid |
| Purification Method | Antigen affinity purification |
| UNIPROT ID | O00472 |
| Storage Buffer | PBS with 0.02% sodium azide and 50% glycerol, pH 7.3. |
| Storage Conditions | Store at -20°C. Stable for one year after shipment. Aliquoting is unnecessary for -20oC storage. 20ul sizes contain 0.1% BSA. |
Background Information
ELL2 (Elongation Factor for RNA Polymerase II 2) is a key transcriptional elongation factor that regulates RNA polymerase II (Pol II) during mRNA synthesis (PMID: 34265249). It belongs to the ELL gene family, which includes ELL1, ELL2, and ELL3, and plays a crucial role in controlling the elongation phase of transcription (PMID: 9108030). ELL2 is an androgen-responsive gene that is expressed by prostate epithelial cells and is frequently down-regulated in prostate cancer (PMID: 29179998). The predicted molecular weight of the ELL2 protein is 72 kDa, but due to post-translational modifications, its molecular weight is approximately 90 kDa. (PMID: 39582094, PMID: 34948391)
Protocols
| Product Specific Protocols | |
|---|---|
| IF protocol for ELL2 antibody 32800-1-AP | Download protocol |
| WB protocol for ELL2 antibody 32800-1-AP | Download protocol |
| Standard Protocols | |
|---|---|
| Click here to view our Standard Protocols |



