ESCO1 Polyclonal antibody

ESCO1 Polyclonal Antibody for WB, IHC, ELISA

Cat No. 29821-1-AP

Host / Isotype

Rabbit / IgG

Reactivity

human, mouse

Applications

WB, IHC, ELISA

CTF7 homolog 1, ECO1 homolog 1, EFO1, ESO1 homolog 1, hEFO1

Formulation:  PBS, Azide, Glycerol
PBS, Azide, Glycerol
Conjugate:  Unconjugated
Unconjugated
Size/Concentration: 

-/ -

Freight/Packing: -

Quantity

Please visit your regions distributor:


Tested Applications

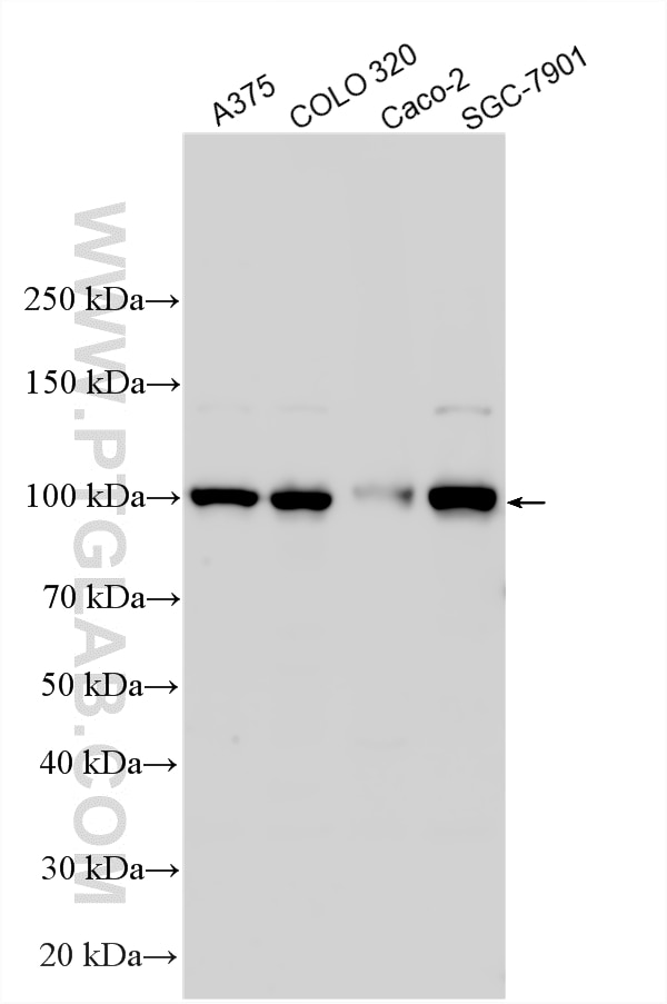
Positive WB detected inA375 cells, COLO 320 cells, SGC-7901 cells, Caco-2 cells
Positive IHC detected inmouse small intestine tissue
Note: suggested antigen retrieval with TE buffer pH 9.0; (*) Alternatively, antigen retrieval may be performed with citrate buffer pH 6.0

Recommended dilution

ApplicationDilution
Western Blot (WB)WB : 1:2000-1:12000
Immunohistochemistry (IHC)IHC : 1:250-1:1000
It is recommended that this reagent should be titrated in each testing system to obtain optimal results.
Sample-dependent, Check data in validation data gallery.

Product Information

29821-1-AP targets ESCO1 in WB, IHC, ELISA applications and shows reactivity with human, mouse samples.

Tested Reactivity human, mouse
Host / Isotype Rabbit / IgG
Class Polyclonal
Type Antibody
Immunogen

CatNo: Ag31189

Product name: Recombinant human ESCO1 protein

Source: e coli.-derived, PGEX-4T

Tag: GST

Domain: 1-210 aa of NM_052911

Sequence: MMSIQEKSKENSSKVTKKSDDKNSETEIQDSQKNLAKKSGPKETIKSQAKSSSESKINQPELETRMSTRSSKAASNDKATKSINKNTVTVRGYSQESTKKKLSQKKLVHENPKANEQLNRRSQRLQQLTEVSRRSLRSREIQGQVQAVKQSLPPTKKEQCSSTQSKSNKTSQKHVKRKVLEVKSDSKEDENLVINEVINSPKGKKRKVEH

Predict reactive species
Full Name establishment of cohesion 1 homolog 1 (S. cerevisiae)
Calculated Molecular Weight 95 kDa
Observed Molecular Weight95 kDa
GenBank Accession NumberNM_052911
Gene Symbol ESCO1
Gene ID (NCBI) 114799
RRIDAB_3086174
Conjugate Unconjugated
FormLiquid
Purification MethodAntigen affinity purification
UNIPROT IDQ5FWF5
Storage Buffer PBS with 0.02% sodium azide and 50% glycerol, pH 7.3.
Storage ConditionsStore at -20°C. Stable for one year after shipment. Aliquoting is unnecessary for -20oC storage. 20ul sizes contain 0.1% BSA.

Protocols

Product Specific Protocols
IHC protocol for ESCO1 antibody 29821-1-APDownload protocol
WB protocol for ESCO1 antibody 29821-1-APDownload protocol
Standard Protocols
Click here to view our Standard Protocols
Loading...
||
New chat

Able

正在加载,请稍候...