Tested Applications
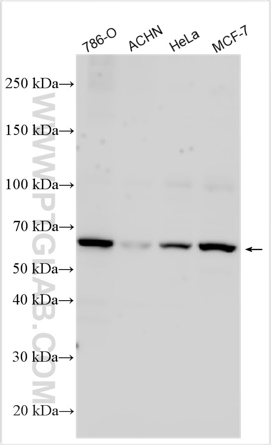
| Positive WB detected in | 786-O cells, ACHN cells, HeLa cells, MCF-7 cells |
Recommended dilution
| Application | Dilution |
|---|---|
| Western Blot (WB) | WB : 1:500-1:2000 |
| It is recommended that this reagent should be titrated in each testing system to obtain optimal results. | |
| Sample-dependent, Check data in validation data gallery. | |
Product Information
33265-1-AP targets FBXL6 in WB, ELISA applications and shows reactivity with human samples.
| Tested Reactivity | human |
| Host / Isotype | Rabbit / IgG |
| Class | Polyclonal |
| Type | Antibody |
| Immunogen |
CatNo: Ag36604 Product name: Recombinant human FBXL6 protein Source: e coli.-derived, PGEX-4T Tag: GST Domain: 1-182 aa of NM_012162.3 Sequence: MAAPASRQVRRRARAAPRPRSAEDWWWDRLAPRGSGYHLLQSDSMLLVLSEPGPARPRAQRRASRRTPRQPPRGPSAAAKPKAGLRSEAAAAPAPAPAPTPTPEEGPDAGWGDRIPLEILVQIFGLLVAADGPMPFLGRAARVCRRWQEAASQPALWHTVTLSSPLVGRPAKGGVKAEKKLL Predict reactive species |
| Full Name | F-box and leucine-rich repeat protein 6 |
| Calculated Molecular Weight | 59kDa,539aa |
| Observed Molecular Weight | 60 kDa |
| GenBank Accession Number | NM_012162.3 |
| Gene Symbol | FBXL6 |
| Gene ID (NCBI) | 26233 |
| Conjugate | Unconjugated |
| Form | Liquid |
| Purification Method | Antigen affinity Purification |
| UNIPROT ID | Q8N531 |
| Storage Buffer | PBS with 0.02% sodium azide and 50% glycerol, pH 7.3. |
| Storage Conditions | Store at -20°C. Stable for one year after shipment. Aliquoting is unnecessary for -20oC storage. 20ul sizes contain 0.1% BSA. |
Background Information
FBXL6 is an F-box/LRR-type E3 ubiquitin ligase that serves as the substrate-recognition subunit of the SCF complex. It stabilizes HSP90AA1 via K63-linked ubiquitination to activate c-MYC and drive hepatocellular carcinoma progression, while also degrading defective mitochondrial ribosomal proteins to preserve mitochondrial proteostasis. Its overexpression correlates with poor prognosis in renal and colorectal cancers and can promote cell proliferation by down-regulating RPL11 to activate the MDM2-p53 axis.
Protocols
| Product Specific Protocols | |
|---|---|
| WB protocol for FBXL6 antibody 33265-1-AP | Download protocol |
| Standard Protocols | |
|---|---|
| Click here to view our Standard Protocols |

