Tested Applications
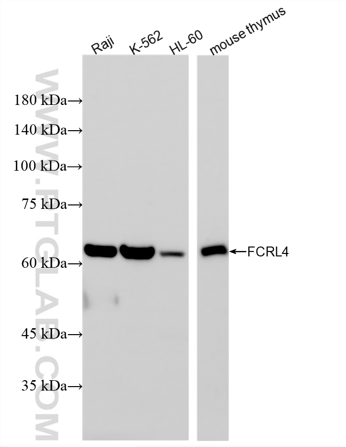
| Positive WB detected in | Raji cells, K-562 cells, HL-60 cells, mouse thymus tissue |
Recommended dilution
| Application | Dilution |
|---|---|
| Western Blot (WB) | WB : 1:1000-1:4000 |
| It is recommended that this reagent should be titrated in each testing system to obtain optimal results. | |
| Sample-dependent, Check data in validation data gallery. | |
Product Information
86941-1-RR targets FCRL4 in WB, ELISA applications and shows reactivity with human, mouse samples.
| Tested Reactivity | human, mouse |
| Host / Isotype | Rabbit / IgG |
| Class | Recombinant |
| Type | Antibody |
| Immunogen |
CatNo: Eg4749 Product name: recombinant human FCRL4 protein Source: mammalian cells-derived, pHZ-KIsec-C-rFc Tag: C-rFc Domain: 190-384 aa of NM_031282.2 Sequence: FPHPELKATDSQPTEGNSVNLSCETQLPPERSDTPLHFNFFRDGEVILSDWSTYPELQLPTVWRENSGSYWCGAETVRGNIHKHSPSLQIHVQRIPVSGVLLETQPSGGQAVEGEMLVLVCSVAEGTGDTTFSWHREDMQESLGRKTQRSLRAELELPAIRQSHAGGYYCTADNSYGPVQSMVLNVTVRETPGNR Predict reactive species |
| Full Name | Fc receptor-like 4 |
| Calculated Molecular Weight | 57 kDa |
| Observed Molecular Weight | 60 kDa |
| GenBank Accession Number | NM_031282.2 |
| Gene Symbol | FCRL4 |
| Gene ID (NCBI) | 83417 |
| Conjugate | Unconjugated |
| Form | Liquid |
| Purification Method | Protein A purification |
| UNIPROT ID | Q96PJ5-1 |
| Storage Buffer | PBS with 0.02% sodium azide and 50% glycerol, pH 7.3. |
| Storage Conditions | Store at -20°C. Stable for one year after shipment. Aliquoting is unnecessary for -20oC storage. 20ul sizes contain 0.1% BSA. |
Background Information
Fc receptor-like (FCRL) 4 is an immunoregulatory receptor expressed on a subpopulation of human memory B cells of mucosa-associated lymphoid tissue. Fc receptor function of FCRL4 was demonstrated by binding of IgA to FCRL4 following heat aggregation of the Ig (PMID: 32513851).
Protocols
| Product Specific Protocols | |
|---|---|
| WB protocol for FCRL4 antibody 86941-1-RR | Download protocol |
| Standard Protocols | |
|---|---|
| Click here to view our Standard Protocols |



