Tested Applications
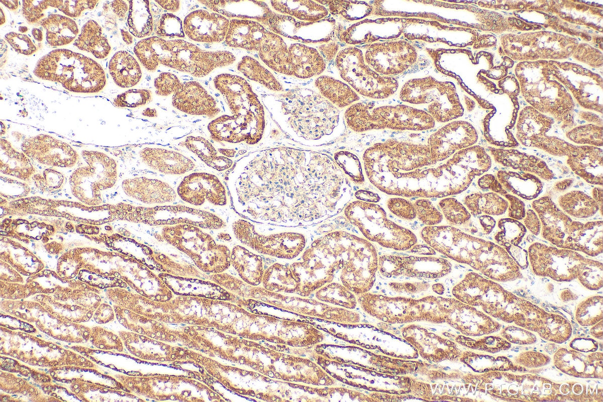
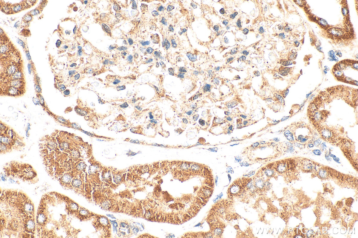
| Positive IHC detected in | human kidney tissue Note: suggested antigen retrieval with TE buffer pH 9.0; (*) Alternatively, antigen retrieval may be performed with citrate buffer pH 6.0 |
Recommended dilution
| Application | Dilution |
|---|---|
| Immunohistochemistry (IHC) | IHC : 1:50-1:500 |
| It is recommended that this reagent should be titrated in each testing system to obtain optimal results. | |
| Sample-dependent, Check data in validation data gallery. | |
Product Information
11974-1-AP targets FICD in IHC, ELISA applications and shows reactivity with human, mouse, rat samples.
| Tested Reactivity | human, mouse, rat |
| Host / Isotype | Rabbit / IgG |
| Class | Polyclonal |
| Type | Antibody |
| Immunogen |
CatNo: Ag2597 Product name: Recombinant human FICD protein Source: e coli.-derived, PGEX-4T Tag: GST Domain: 159-458 aa of BC001342 Sequence: ADYLYTRALTISPYHEKALVNRDRTLPLVEEIDQRYFSIIDSKVKKVMSIPKGNSALRRVMEETYYHHIYHTVAIEGNTLTLSEIRHILETRYAVPGKSLEEQNEVIGMHAAMKYINTTLVSRIGSVTISDVLEIHRRVLGYVDPVEAGRFRTTQVLVGHHIPPHPQDVEKQMQEFVQWLNSEEAMNLHPVEFAALAHYKLVYIHPFIDGNGRTSRLLMNLILMQAGYPPITIRKEQRSDYYHVLEAANEGDVRPFIRFIAKCTETTLDTLLFATTEYSVALPEAQPNHSGFKETLPVKP Predict reactive species |
| Full Name | FIC domain containing |
| Calculated Molecular Weight | 458 aa, 52 kDa |
| Observed Molecular Weight | 52 kDa |
| GenBank Accession Number | BC001342 |
| Gene Symbol | FICD |
| Gene ID (NCBI) | 11153 |
| RRID | AB_2877811 |
| Conjugate | Unconjugated |
| Form | Liquid |
| Purification Method | Antigen affinity purification |
| UNIPROT ID | Q9BVA6 |
| Storage Buffer | PBS with 0.02% sodium azide and 50% glycerol, pH 7.3. |
| Storage Conditions | Store at -20°C. Stable for one year after shipment. Aliquoting is unnecessary for -20oC storage. 20ul sizes contain 0.1% BSA. |
Background Information
Adenosine monophosphate-protein transferase FICD, also named as HIP13 or HYPE, is a 458 amino acid protein, which contains one fido domain and two TPR repeats. FICD localizes in the membrane and belongs to the fic family. FICD as an adenylyltransferase that mediates the addition of adenosine 5'-monophosphate (AMP) to specific residues of target proteins. The fido domain mediates the adenylyltransferase activity
Protocols
| Product Specific Protocols | |
|---|---|
| IHC protocol for FICD antibody 11974-1-AP | Download protocol |
| WB protocol for FICD antibody 11974-1-AP | Download protocol |
| Standard Protocols | |
|---|---|
| Click here to view our Standard Protocols |



