Tested Applications
| Positive WB detected in | MCF-7 cells, T-47D cells |
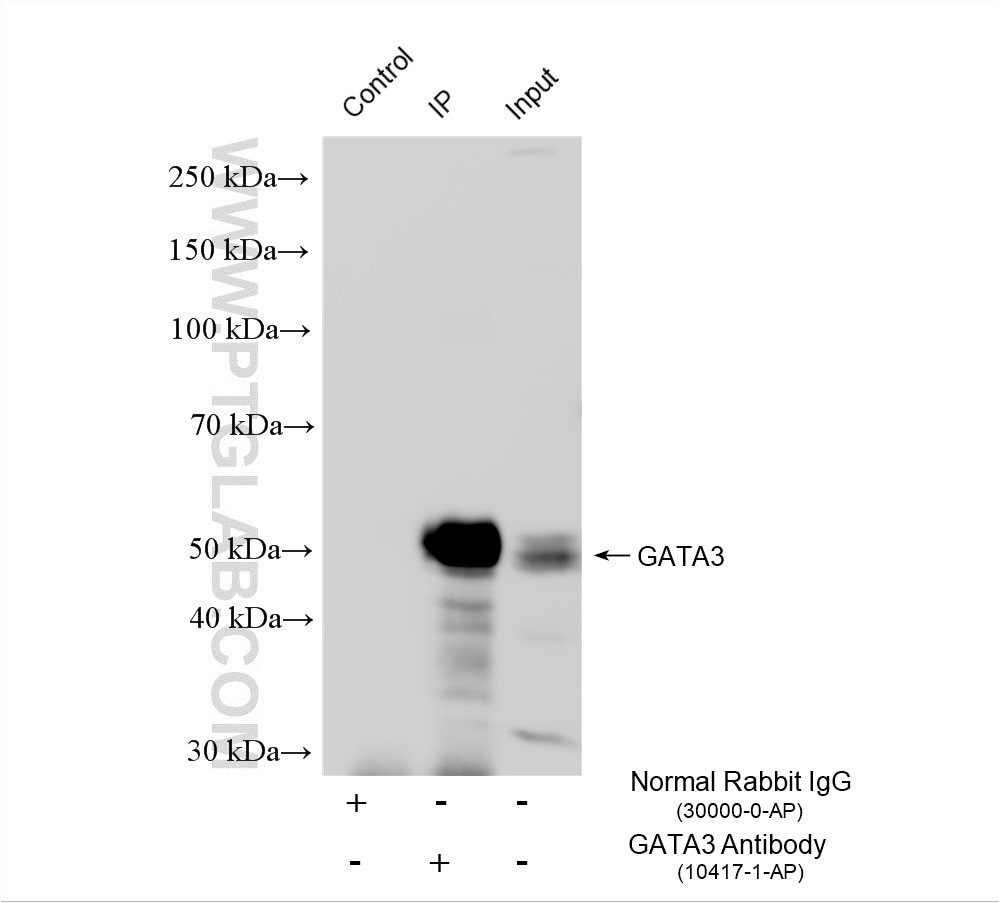
| Positive IP detected in | EL-4 cells |
Recommended dilution
| Application | Dilution |
|---|---|
| Western Blot (WB) | WB : 1:1000-1:4000 |
| Immunoprecipitation (IP) | IP : 0.5-4.0 ug for 1.0-3.0 mg of total protein lysate |
| It is recommended that this reagent should be titrated in each testing system to obtain optimal results. | |
| Sample-dependent, Check data in validation data gallery. | |
Published Applications
| KD/KO | See 2 publications below |
| WB | See 27 publications below |
| ChIP | See 3 publications below |
Product Information
10417-1-AP targets GATA3 in WB, IP, ChIP, ELISA applications and shows reactivity with human samples.
| Tested Reactivity | human |
| Cited Reactivity | human |
| Host / Isotype | Rabbit / IgG |
| Class | Polyclonal |
| Type | Antibody |
| Immunogen |
CatNo: Ag0174 Product name: Recombinant human GATA3 protein Source: e coli.-derived, PGEX-4T Tag: GST Domain: 224-442 aa of BC003070 Sequence: PYVPEYSSGLFPPSSLLGGSPTGFGCKSRPKARSSTGRECVNCGATSTPLWRRDGTGHYLCNACGLYHKMNGQNRPLIKPKRRLSAARRAGTSCANCQTTTTTLWRRNANGDPVCNACGLYYKLHNINRPLTMKKEGIQTRNRKMSSKSKKCKKVHDSLEDFPKNSSFNPAALSRHMSSLSHISPFSHSSHMLTTPTPMHPPSSLSFGPHHPSSMVTAM Predict reactive species |
| Full Name | GATA binding protein 3 |
| Calculated Molecular Weight | 443 aa, 48 kDa |
| Observed Molecular Weight | 37 kDa and 48 kDa |
| GenBank Accession Number | BC003070 |
| Gene Symbol | GATA3 |
| Gene ID (NCBI) | 2625 |
| RRID | AB_2263174 |
| Conjugate | Unconjugated |
| Form | Liquid |
| Purification Method | Antigen affinity purification |
| UNIPROT ID | P23771 |
| Storage Buffer | PBS with 0.02% sodium azide and 50% glycerol, pH 7.3. |
| Storage Conditions | Store at -20°C. Stable for one year after shipment. Aliquoting is unnecessary for -20oC storage. 20ul sizes contain 0.1% BSA. |
Background Information
GATA3 is a transcriptional factor that binds to the enhancer elements of all 4 T-cell antigen receptor genes. GATA3 is highly expressed in naive, freshly activated cells and Th2 lineage cells and thought to be necessary and sufficient for Th2 cytokine gene expression. GATA3 and TBET interfer with each other to regulate gene expression. This is a rabbit polyclonal antibody raised against part of C-terminus of human GATA3.
Protocols
| Product Specific Protocols | |
|---|---|
| IP protocol for GATA3 antibody 10417-1-AP | Download protocol |
| WB protocol for GATA3 antibody 10417-1-AP | Download protocol |
| Standard Protocols | |
|---|---|
| Click here to view our Standard Protocols |
Publications
| Species | Application | Title |
|---|---|---|
Cancer Cell Lunatic fringe deficiency cooperates with the Met/Caveolin gene amplicon to induce basal-like breast cancer. | ||
Cancer Res Cooperation between Pik3ca and p53 mutations in mouse mammary tumor formation. | ||
Oxid Med Cell Longev Androgen Plays a Potential Novel Hormonal Therapeutic Role in Th17 Cells Predominant Neutrophilic Severe Asthma by Attenuating BECs Regulated Th17 Cells Differentiation via MBD2 Expression | ||
Cell Death Dis Calreticulin promotes EGF-induced EMT in pancreatic cancer cells via Integrin/EGFR-ERK/MAPK signaling pathway. | ||
Development The inhibitor of histone acetyltransferases Nir regulates epidermis development. | ||
Int Immunopharmacol Modulating Th1/Th2 drift in asthma-related immune inflammation by enhancing bone mesenchymal stem cell homing through targeted inhibition of the Notch1/Jagged1 signaling pathway |





