Use Able AI chat for product recommendations

GHDC Polyclonal antibody

GHDC Polyclonal Antibody for WB, IHC, IF/ICC, ELISA

Cat No. 26123-1-AP

Host / Isotype

Rabbit / IgG

Reactivity

human

Applications

WB, IHC, IF/ICC, ELISA

D11LGP1E, GH3 domain-containing protein, LGP1

Formulation:  PBS, Azide, Glycerol
PBS, Azide, Glycerol
Conjugate:  Unconjugated
Unconjugated
Size/Concentration: 

-/ -

Freight/Packing: -

Quantity

Please visit your regions distributor:


Tested Applications

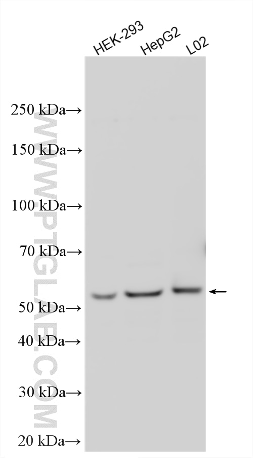
Positive WB detected inHEK-293 cells, HepG2 cells, L02 cells
Positive IHC detected inhuman ovary tumor tissue, human brain tissue, human kidney tissue
Note: suggested antigen retrieval with TE buffer pH 9.0; (*) Alternatively, antigen retrieval may be performed with citrate buffer pH 6.0
Positive IF/ICC detected inHEK-293 cells

Recommended dilution

ApplicationDilution
Western Blot (WB)WB : 1:500-1:2000
Immunohistochemistry (IHC)IHC : 1:50-1:500
Immunofluorescence (IF)/ICCIF/ICC : 1:20-1:200
It is recommended that this reagent should be titrated in each testing system to obtain optimal results.
Sample-dependent, Check data in validation data gallery.

Product Information

26123-1-AP targets GHDC in WB, IHC, IF/ICC, ELISA applications and shows reactivity with human samples.

Tested Reactivity human
Host / Isotype Rabbit / IgG
Class Polyclonal
Type Antibody
Immunogen

CatNo: Ag23480

Product name: Recombinant human GHDC protein

Source: e coli.-derived, PET28a

Tag: 6*His

Domain: 140-429 aa of BC022784

Sequence: KAYPEVLAQGRTARVTLTSPWPRPLPWPGNTLGQVGTPGTKDPRALLLDALRSPGLRALEAGTAVELLDVFLGLETDGEELAGAIAAGNPGAPLRERAAELREALEQGPRGLALRLWPKLQVVVTLDAGGQAEAVAALGALWCQGLAFFSPAYAASGGVLGLNLQPEQPHGLYLLPPGAPFIELLPVKEGTQEEAASTLLLAEAQQGKEYELVLTDRASLTRCRLGDVVRVVGAYNQCPVVRFICRLDQTLSVRGEDIGEDLFSEALGRAVGQWAGAKLLDHGCVESSIL

Predict reactive species
Full Name GH3 domain containing
Observed Molecular Weight 57 kDa
GenBank Accession NumberBC022784
Gene Symbol GHDC
Gene ID (NCBI) 84514
RRIDAB_2880391
Conjugate Unconjugated
FormLiquid
Purification MethodAntigen affinity purification
UNIPROT IDQ8N2G8
Storage Buffer PBS with 0.02% sodium azide and 50% glycerol, pH 7.3.
Storage ConditionsStore at -20°C. Stable for one year after shipment. Aliquoting is unnecessary for -20oC storage. 20ul sizes contain 0.1% BSA.

Protocols

Product Specific Protocols
IF protocol for GHDC antibody 26123-1-APDownload protocol
IHC protocol for GHDC antibody 26123-1-APDownload protocol
WB protocol for GHDC antibody 26123-1-APDownload protocol
Standard Protocols
Click here to view our Standard Protocols

Publications

SpeciesApplicationTitle

JCI Insight

Targeting DRP1 with Mdivi-1 to correct mitochondrial abnormalities in ADOA plus syndrome

Authors - Yan Lin
Loading...
||
New chat

Able

正在加载,请稍候...