Tested Applications
| Positive WB detected in | HeLa cells, HepG2 cells |
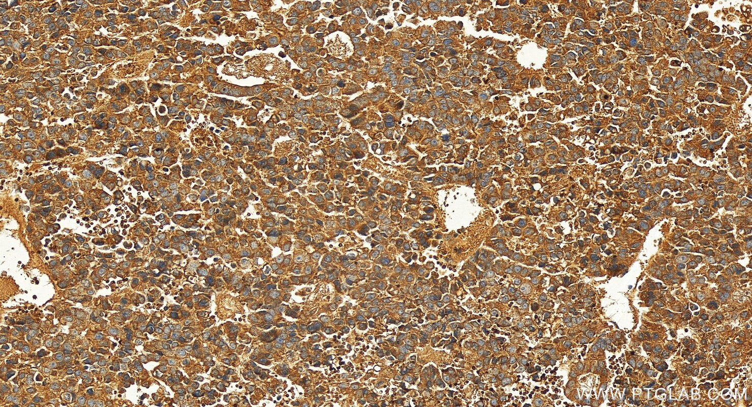
| Positive IHC detected in | human hepatocellular cancer Note: suggested antigen retrieval with TE buffer pH 9.0; (*) Alternatively, antigen retrieval may be performed with citrate buffer pH 6.0 |
Recommended dilution
| Application | Dilution |
|---|---|
| Western Blot (WB) | WB : 1:500-1:1000 |
| Immunohistochemistry (IHC) | IHC : 1:50-1:500 |
| It is recommended that this reagent should be titrated in each testing system to obtain optimal results. | |
| Sample-dependent, Check data in validation data gallery. | |
Published Applications
| KD/KO | See 1 publications below |
| WB | See 1 publications below |
Product Information
31431-1-AP targets GNA12 in WB, IHC, ELISA applications and shows reactivity with human, mouse, rat samples.
| Tested Reactivity | human, mouse, rat |
| Cited Reactivity | human, rat |
| Host / Isotype | Rabbit / IgG |
| Class | Polyclonal |
| Type | Antibody |
| Immunogen |
CatNo: Ag35068 Product name: Recombinant human GNA12 protein Source: e coli.-derived, PGEX-4T Tag: GST Domain: 113-172 aa of BC087537 Sequence: DKLGIPWQYSENEKHGMFLMAFENKAGLPVEPATFQLYVPALSALWRDSGIREAFSRRSE Predict reactive species |
| Full Name | guanine nucleotide binding protein (G protein) alpha 12 |
| Observed Molecular Weight | 37-39 kDa |
| GenBank Accession Number | BC087537 |
| Gene Symbol | GNA12 |
| Gene ID (NCBI) | 2768 |
| RRID | AB_3669980 |
| Conjugate | Unconjugated |
| Form | Liquid |
| Purification Method | Antigen affinity Purification |
| UNIPROT ID | Q03113 |
| Storage Buffer | PBS with 0.02% sodium azide and 50% glycerol, pH 7.3. |
| Storage Conditions | Store at -20°C. Stable for one year after shipment. Aliquoting is unnecessary for -20oC storage. 20ul sizes contain 0.1% BSA. |
Background Information
G protein subunit alpha 12 (GNA12) is a member of the G12 family of G protein alpha subunits. It has 3 isoforms and is expressed in many tissues including lung, testis and placenta. GNA12/13-mediated signaling pathways are involved in a variety of physiological processes including cell growth, cell migration, angiogenesis, platelet activation and apoptosis (PMID: 37426201).
Protocols
| Product Specific Protocols | |
|---|---|
| IHC protocol for GNA12 antibody 31431-1-AP | Download protocol |
| WB protocol for GNA12 antibody 31431-1-AP | Download protocol |
| Standard Protocols | |
|---|---|
| Click here to view our Standard Protocols |
Publications
| Species | Application | Title |
|---|---|---|
Brief Bioinform Large-scale multi-trait genome-wide analysis for inflammatory bowel disease reveals new insights into its molecular mechanisms and emphasizes the roles of systemic immune regulation.
|





