Tested Applications
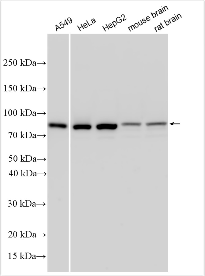
| Positive WB detected in | A549 cells, HepG2 cells, MOLT-4 cells, Caco-2 cells, HCT 116 cells, HeLa cells, mouse brain tissue, rat brain tissue |
| Positive IHC detected in | human liver cancer tissue, mouse brain tissue, human lung cancer tissue Note: suggested antigen retrieval with TE buffer pH 9.0; (*) Alternatively, antigen retrieval may be performed with citrate buffer pH 6.0 |
| Positive IF/ICC detected in | MCF-7 cells |
Recommended dilution
| Application | Dilution |
|---|---|
| Western Blot (WB) | WB : 1:5000-1:50000 |
| Immunohistochemistry (IHC) | IHC : 1:50-1:500 |
| Immunofluorescence (IF)/ICC | IF/ICC : 1:200-1:800 |
| It is recommended that this reagent should be titrated in each testing system to obtain optimal results. | |
| Sample-dependent, Check data in validation data gallery. | |
Published Applications
| KD/KO | See 2 publications below |
| WB | See 17 publications below |
| IHC | See 2 publications below |
| IF | See 4 publications below |
Product Information
10763-1-AP targets eRF3a/GSPT1 in WB, IHC, IF/ICC, ELISA applications and shows reactivity with human, mouse, rat samples.
| Tested Reactivity | human, mouse, rat |
| Cited Reactivity | human, mouse |
| Host / Isotype | Rabbit / IgG |
| Class | Polyclonal |
| Type | Antibody |
| Immunogen |
CatNo: Ag1184 Product name: Recombinant human GSPT1 protein Source: e coli.-derived, PGEX-4T Tag: GST Domain: 265-633 aa of BC009503 Sequence: QEERDKGKTVEVGRAYFETEKKHFTILDAPGHKSFVPNMIGGASQADLAVLVISARKGEFETGFEKGGQTREHAMLAKTAGVKHLIVLINKMDDPTVNWSNERYEECKEKLVPFLKKVGFNPKKDIHFMPCSGLTGANLKEQSDFCPWYIGLPFIPYLDNLPNFNRSVDGPIRLPIVDKYKDMGTVVLGKLESGSICKGQQLVMMPNKHNVEVLGILSDDVETDTVAPGENLKIRLKGIEEEEILPGFILCDPNNLCHSGRTFDAQIVIIEHKSIICPGYNAVLHIHTCIEEVEITALICLVDKKSGEKSKTRPRFVKQDQVCIARLRTAGTICLETFKDFPQMGRFTLRDEGKTIAIGKVLKLVPEKD Predict reactive species |
| Full Name | G1 to S phase transition 1 |
| Calculated Molecular Weight | 68 aa, 4 kDa |
| Observed Molecular Weight | 80-85 kDa |
| GenBank Accession Number | BC009503 |
| Gene Symbol | GSPT1 |
| Gene ID (NCBI) | 2935 |
| RRID | AB_2115506 |
| Conjugate | Unconjugated |
| Form | Liquid |
| Purification Method | Antigen affinity purification |
| UNIPROT ID | P15170 |
| Storage Buffer | PBS with 0.02% sodium azide and 50% glycerol, pH 7.3. |
| Storage Conditions | Store at -20°C. Stable for one year after shipment. Aliquoting is unnecessary for -20oC storage. 20ul sizes contain 0.1% BSA. |
Background Information
The eukaryotic Release Factor 3 (eRF3) is a GTPase that associates with eRF1 in a complex that mediates translation termination. Eukaryotic release factor 3 (eRF3) has many functions in eukaryotic cells, such as controlling the regulation of the cell cycle at the G1 to S phase transition, and regulating protein synthesis as a GTP dependent stimulator of eRF1 in translation termination. It was also reported to play a key role as an initiator of the mRNA degradation machinery in the recycling of ribosomes in successive cycles of translation,and probably also in transcription regulation. eRF3a, also known as GSPT1, is one subunit of eRF3(PMID:15917414,12923185). It involves in translation termination in response to the termination codons UAA, UAG and UGA and stimulates the activity of ERF1. eRF3a/GSPT1 exists some isoforms with MV 69 kDa and 56 kDa. Identification of a processed form of eRF3a/GSPT1 as a BIR3-binding protein-Using a GST-BIR3 fusion protein as an affinity reagent to purify new IAP binding proteins from extracts of human cells and mouse tissues, we previously isolated 3 proteins of molecular weights 23, 38 and 80 kDa. 80 kDa band confirmed that it is a processed form of the human GSPT1/eRF3a protein, lacking the first 69 residues(PMID: 12865429).
Protocols
| Product Specific Protocols | |
|---|---|
| IF protocol for eRF3a/GSPT1 antibody 10763-1-AP | Download protocol |
| IHC protocol for eRF3a/GSPT1 antibody 10763-1-AP | Download protocol |
| WB protocol for eRF3a/GSPT1 antibody 10763-1-AP | Download protocol |
| Standard Protocols | |
|---|---|
| Click here to view our Standard Protocols |
Publications
| Species | Application | Title |
|---|---|---|
Nature A novel cereblon modulator recruits GSPT1 to the CRL4(CRBN) ubiquitin ligase.
| ||
Mol Cell Spatiotemporal Proteomic Analysis of Stress Granule Disassembly Using APEX Reveals Regulation by SUMOylation and Links to ALS Pathogenesis. | ||
Mol Cell Mammalian hyperplastic discs homolog EDD regulates miRNA-mediated gene silencing. | ||
Cell Rep Med Development of an orally bioavailable CDK12/13 degrader and induction of synthetic lethality with AKT pathway inhibition | ||
Cardiovasc Res Readthrough of nonsense mutation W822X in the SCN5A gene can effectively restore expression of cardiac Na+ channels.
| ||
J Biol Chem A Novel Rac1-GSPT1 Signaling Pathway Controls Astrogliosis Following Central Nervous System Injury. |





















