• Featured Product
  • KD/KO Validated

HMGB1 Polyclonal antibody

HMGB1 Polyclonal Antibody for WB, IHC, IF/ICC, ELISA

Cat No. 10829-1-AP

Host / Isotype

Rabbit / IgG

Reactivity

human, mouse, rat and More (1)

Applications

WB, IHC, IF/ICC, IP, CoIP, ChIP, RIP, ELISA

high mobility group box 1, High mobility group protein 1, High mobility group protein B1, HMG 1, HMG1

Formulation:  PBS, Azide, Glycerol
PBS, Azide, Glycerol
Conjugate:  Unconjugated
Unconjugated
Size/Concentration: 

-/ -

Freight/Packing: -

Quantity

Please visit your regions distributor:


Tested Applications

Positive WB detected inHeLa cells, Jurkat cells, NIH/3T3 cells, C6 cells, RAW264.7 cells, mouse kidney tissue, rat kidney tissue
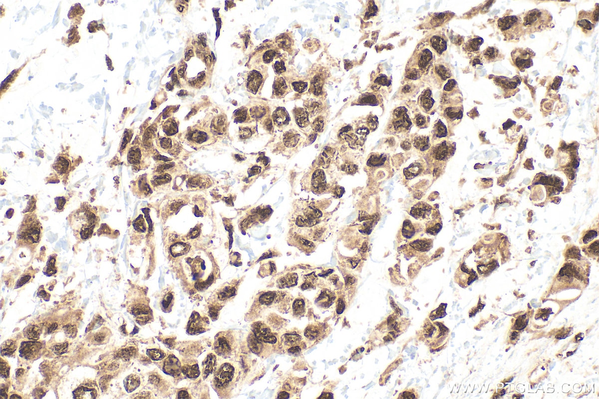
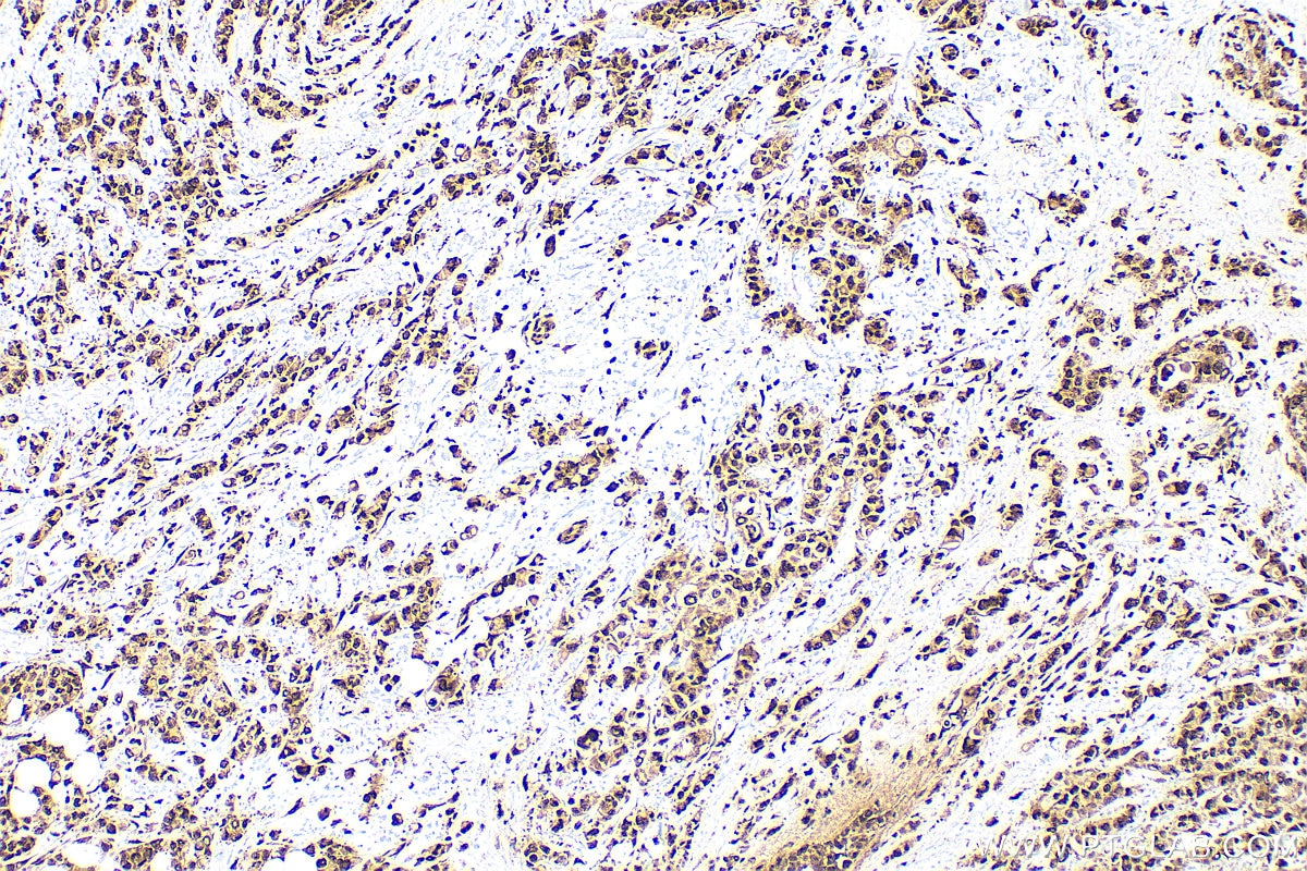
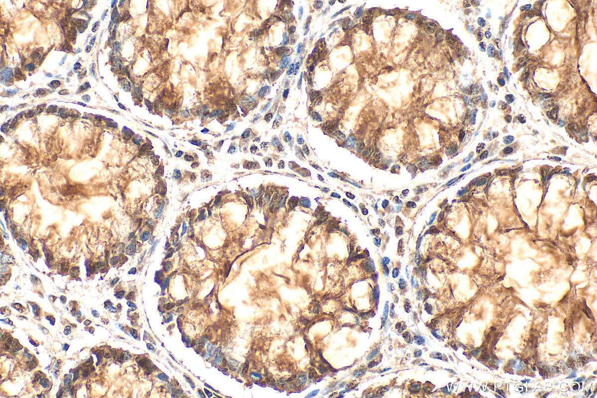
Positive IHC detected inmouse brain tissue, human breast cancer tissue, human colon tissue
Note: suggested antigen retrieval with TE buffer pH 9.0; (*) Alternatively, antigen retrieval may be performed with citrate buffer pH 6.0
Positive IF/ICC detected inHEK-293 cells, U2OS cells

Recommended dilution

ApplicationDilution
Western Blot (WB)WB : 1:5000-1:50000
Immunohistochemistry (IHC)IHC : 1:50-1:500
Immunofluorescence (IF)/ICCIF/ICC : 1:200-1:800
It is recommended that this reagent should be titrated in each testing system to obtain optimal results.
Sample-dependent, Check data in validation data gallery.

Product Information

10829-1-AP targets HMGB1 in WB, IHC, IF/ICC, IP, CoIP, ChIP, RIP, ELISA applications and shows reactivity with human, mouse, rat samples.

Tested Reactivity human, mouse, rat
Cited Reactivityhuman, mouse, rat, zebrafish
Host / Isotype Rabbit / IgG
Class Polyclonal
Type Antibody
Immunogen

CatNo: Ag1264

Product name: Recombinant human HMGB1 protein

Source: e coli.-derived, PGEX-4T

Tag: GST

Domain: 1-215 aa of BC003378

Sequence: MGKGDPKKPRGKMSSYAFFVQTCREEHKKKHPDASVNFSEFSKKCSERWKTMSAKEKGKFEDMAKADKARYEREMKTYIPPKGETKKKFKDPNAPKRPPSAFFLFCSEYRPKIKGEHPGLSIGDVAKKLGEMWNNTAADDKQPYEKKAAKLKEKYEKDIAAYRAKGKPDAAKKGVVKAEKSKKKKEEEEDEEDEEDEEEEEDEEDEDEEEDDDDE

Predict reactive species
Full Name high-mobility group box 1
Calculated Molecular Weight 25 kDa
Observed Molecular Weight 25-30 kDa
GenBank Accession NumberBC003378
Gene Symbol HMGB1
Gene ID (NCBI) 3146
RRIDAB_2232989
Conjugate Unconjugated
FormLiquid
Purification MethodAntigen affinity purification
UNIPROT IDP09429
Storage Buffer PBS with 0.02% sodium azide and 50% glycerol, pH 7.3.
Storage ConditionsStore at -20°C. Stable for one year after shipment. Aliquoting is unnecessary for -20oC storage. 20ul sizes contain 0.1% BSA.

Background Information

The HMG (high mobility group) proteins are nonhistone chromosomal proteins that is present in almost all eukaryotic cells, and it functions to stabilize NUCLEOSOME formation and acts as a transcription-factor-like protein that regulates the expression of several genes[PMID: 18160415]. Once injury, infection or other inflammatory stimuli, activated macrophages, mature dendritic cells and natural killer cells can secret HMGB1, which act as a crucial cytokine[PMID: 20163887]. HMGB1 also involved in V(D)J recombination by acting as a cofactor of the RAG complex, stimulating cleavage and RAG protein binding at the 23 bp spacer of conserved recombination signal sequences (RSS)[PMID: 19360789 ]. Act as a Heparin-binding protein that has a role in the extension of neurite-type cytoplasmic processes in developing cells. HMGB1 (high mobility group box 1) modulates gene expression in the nucleus, but certain immune cells secrete HMGB1 as an extracellular Alarmin to signal tissue damage.The nuclear HMGB1 relocalizes to the extracellular milieu in senescent human and mouse cells in culture and in vivo, which stimulated cytokine secretion through TLR-4 signaling (23649808).This antibody is a rabbit polyclonal antibody raised against full length HMGB1 of human origin. HMGB1 was oxidized to Ox-HMGB1 at mild ROS concentrations and finally to Di-HMGB1(58 kDa) at excessive ROS concentrations (PMID: 33461096).

Protocols

Product Specific Protocols
IF protocol for HMGB1 antibody 10829-1-APDownload protocol
IHC protocol for HMGB1 antibody 10829-1-APDownload protocol
WB protocol for HMGB1 antibody 10829-1-APDownload protocol
Standard Protocols
Click here to view our Standard Protocols

Publications

SpeciesApplicationTitle
mouseWB,IF

Cell

Transcriptional regulation by PHGDH drives amyloid pathology in Alzheimer's disease

Authors - Junchen Chen
mouseIF

ACS Nano

Tumor-Acidity and Bioorthogonal Chemistry-Mediated On-Site Size Transformation Clustered Nanosystem to Overcome Hypoxic Resistance and Enhance Chemoimmunotherapy.

Authors - Kewei Wang
mouse,humanIHC,IF

ACS Nano

Mitochondria-Targeting Polymer Micelle of Dichloroacetate Induced Pyroptosis to Enhance Osteosarcoma Immunotherapy.

Authors - Jiakang Jin
mouseWB

ACS Nano

Nanointegrative In Situ Reprogramming of Tumor-Intrinsic Lipid Droplet Biogenesis for Low-Dose Radiation-Activated Ferroptosis Immunotherapy

Authors - Qiqi Zhang
mouseWB,IHC,IF

Sci Adv

One-dimensional nanosonosensitizer boosted multiple branches of immune responses against MHC-deficient immune-evasive urologic tumor

Authors - Wei Yang
mouseIHC

Nat Commun

Engineered macrophages as near-infrared light activated drug vectors for chemo-photodynamic therapy of primary and bone metastatic breast cancer.

Authors - Yanjuan Huang

Reviews

The reviews below have been submitted by verified Proteintech customers who received an incentive for providing their feedback.


FH

Gaurav (Verified Customer) (02-27-2026)

Works with a variety of cell lysates

  • Applications: Western Blot
  • Primary Antibody Dilution: 1:1000
  • Cell Tissue Type: A7R5, Mouse tissue, HEK292
FH

Vignesh (Verified Customer) (11-12-2025)

excellent

  • Applications: Western Blot
  • Primary Antibody Dilution: 1:500
  • Cell Tissue Type: 231 cells
FH

Chun (Verified Customer) (06-19-2022)

This antibody worked well.

  • Applications: Western Blot
  • Primary Antibody Dilution: 1:500
  • Cell Tissue Type: HeLa cells
FH

PATRICK (Verified Customer) (12-01-2018)

This antibody worked well. ProteinTech provides antibody specific instructions that were helpful for each of the antibodies we ordered.

  • Applications: Immunofluorescence,
  • Primary Antibody Dilution: 1:200
  • Cell Tissue Type: PRIMARY ISOLATED ENDOTHELIAL CELLS
Loading...
||
New chat

Able

正在加载,请稍候...