Tested Applications
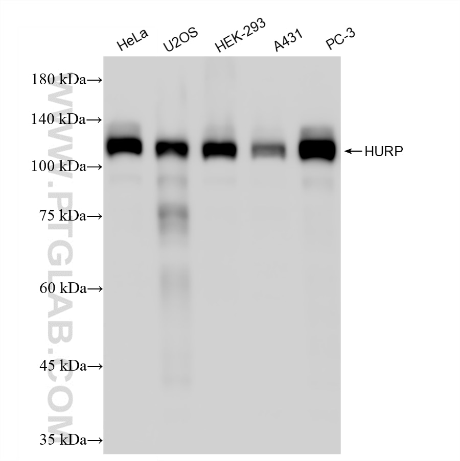
| Positive WB detected in | HeLa cells, U2OS cells, HEK-293 cells, A431 cells, PC-3 cells |
Recommended dilution
| Application | Dilution |
|---|---|
| Western Blot (WB) | WB : 1:5000-1:50000 |
| It is recommended that this reagent should be titrated in each testing system to obtain optimal results. | |
| Sample-dependent, Check data in validation data gallery. | |
Product Information
86704-1-RR targets HURP in WB, ELISA applications and shows reactivity with human samples.
| Tested Reactivity | human |
| Host / Isotype | Rabbit / IgG |
| Class | Recombinant |
| Type | Antibody |
| Immunogen |
CatNo: Ag2667 Product name: Recombinant human HURP protein Source: e coli.-derived, PGEX-4T Tag: GST Domain: 498-847 aa of BC010658 Sequence: IKETTCTDLDGFWDMVSFQIEDVIHKFNNLIKLEESGWQVNNNMNHNMNKNVFRKKVVSGIASKPKQDDAGRIAARNRLAAIKNAMRERIRQEECAETAVSVIPKEVDKIVFDAGFFRVESPVKLFSGLSVSSEGPSQRLGTPKSVNKAVSQSRNEMGIPQQTTSPENAGPQNTKSEHVKKTLFLSIPESRSSIEDAQCPGLPDLIEENHVVNKTDLKVDCLSSERMSLPLLAGGVADDINTNKKEGISDVVEGMELNSSITSQDVLMSSPEKNTASQNSILEEGETKISQSELFDNKSLTTECHLLDSPGLNCSNPFTQLERRHQEHARHISFGGNLITFSPLQPGEF Predict reactive species |
| Full Name | discs, large (Drosophila) homolog-associated protein 5 |
| Calculated Molecular Weight | 846 aa, 95 kDa |
| Observed Molecular Weight | 120 kDa |
| GenBank Accession Number | BC010658 |
| Gene Symbol | HURP |
| Gene ID (NCBI) | 9787 |
| Conjugate | Unconjugated |
| Form | Liquid |
| Purification Method | Protein A purification |
| UNIPROT ID | Q15398 |
| Storage Buffer | PBS with 0.02% sodium azide and 50% glycerol, pH 7.3. |
| Storage Conditions | Store at -20°C. Stable for one year after shipment. Aliquoting is unnecessary for -20oC storage. 20ul sizes contain 0.1% BSA. |
Protocols
| Product Specific Protocols | |
|---|---|
| WB protocol for HURP antibody 86704-1-RR | Download protocol |
| Standard Protocols | |
|---|---|
| Click here to view our Standard Protocols |



