Tested Applications
| Positive WB detected in | HeLa cells, human placenta tissue, mouse liver tissue |
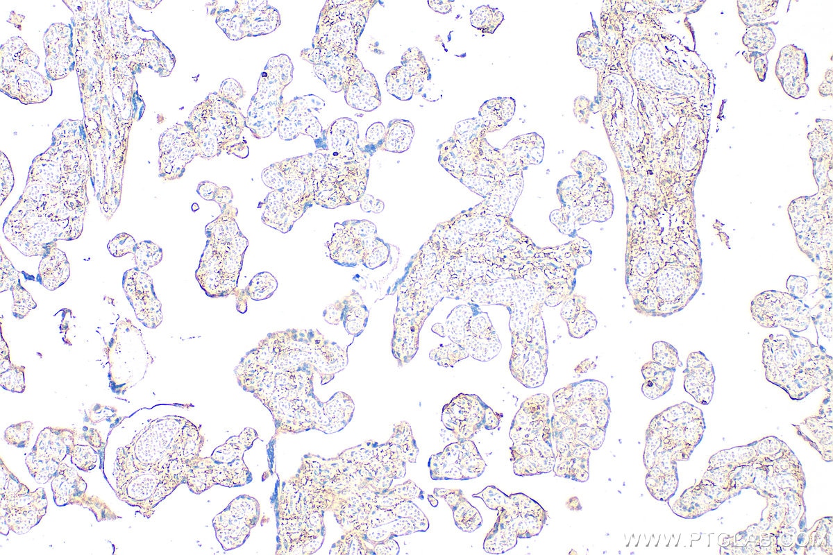
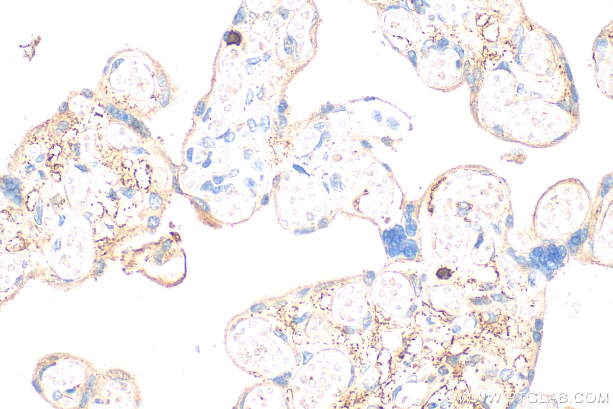
| Positive IHC detected in | human placenta tissue, human intrahepatic cholangiocarcinoma tissue, human ovary cancer tissue, mouse liver tissue Note: suggested antigen retrieval with TE buffer pH 9.0; (*) Alternatively, antigen retrieval may be performed with citrate buffer pH 6.0 |
Recommended dilution
| Application | Dilution |
|---|---|
| Western Blot (WB) | WB : 1:500-1:3000 |
| Immunohistochemistry (IHC) | IHC : 1:200-1:1000 |
| It is recommended that this reagent should be titrated in each testing system to obtain optimal results. | |
| Sample-dependent, Check data in validation data gallery. | |
Published Applications
| WB | See 1 publications below |
| IHC | See 1 publications below |
Product Information
30966-1-AP targets IL-1RAP in WB, IHC, ELISA applications and shows reactivity with human, mouse samples.
| Tested Reactivity | human, mouse |
| Cited Reactivity | human, mouse |
| Host / Isotype | Rabbit / IgG |
| Class | Polyclonal |
| Type | Antibody |
| Immunogen |
CatNo: Ag34121 Product name: Recombinant human IL1RAP protein Source: e coli.-derived, PGEX-4T Tag: GST Domain: 389-570 aa of NM_001167928.1 Sequence: YRAHFGTDETILDGKEYDIYVSYARNAEEEEFVLLTLRGVLENEFGYKLCIFDRDSLPGGIVTDETLSFIQKSRRLLVVLSPNYVLQGTQALLELKAGLENMASRGNINVILVQYKAVKETKVKELKRAKTVLTVIKWKGEKSKYPQGRFWKQLQVAMPVKKSPRRSSSDEQGLSYSSLKNV Predict reactive species |
| Full Name | interleukin 1 receptor accessory protein |
| Calculated Molecular Weight | 65 kDa |
| Observed Molecular Weight | 70 kDa |
| GenBank Accession Number | NM_001167928.1 |
| Gene Symbol | IL1RAP |
| Gene ID (NCBI) | 3556 |
| RRID | AB_3669798 |
| Conjugate | Unconjugated |
| Form | Liquid |
| Purification Method | Antigen affinity Purification |
| UNIPROT ID | Q9NPH3 |
| Storage Buffer | PBS with 0.02% sodium azide and 50% glycerol, pH 7.3. |
| Storage Conditions | Store at -20°C. Stable for one year after shipment. Aliquoting is unnecessary for -20oC storage. 20ul sizes contain 0.1% BSA. |
Background Information
IL-1RAP (Interleukin-1 receptor accessory protein), also known as IL-1RAcP, IL-1R-3, or IL-1R3, is a member of the interleukin-1 receptor family. IL-1RAP is composed of an extracellular region containing three Ig-like C2 type domains, a transmembrane region, and a cytoplasmic region with a TIR (Toll-IL-1-receptor) domain. IL-1RAP functions as a co-receptor for IL-1, IL-33, IL-36. It plays an essential role in the signaling of the IL-1 family cytokines such as IL-1, IL-33, and IL-36, as well as tyrosine kinases FLT3 and c-Kit. IL-1RAP can also exist in a soluble form.
Protocols
| Product Specific Protocols | |
|---|---|
| IHC protocol for IL-1RAP antibody 30966-1-AP | Download protocol |
| WB protocol for IL-1RAP antibody 30966-1-AP | Download protocol |
| Standard Protocols | |
|---|---|
| Click here to view our Standard Protocols |
Publications
| Species | Application | Title |
|---|---|---|
J Ethnopharmacol Rubia cordifolia L. extract ameliorates vitiligo by inhibiting the CXCL10/CXCL9/STAT1 signaling pathway | ||
Front Oncol Integrated single-cell and transcriptome sequencing data reveal the value of IL1RAP in gastric cancer microenvironment and prognosis |
Reviews
The reviews below have been submitted by verified Proteintech customers who received an incentive for providing their feedback.
FH Alina (Verified Customer) (07-31-2025) | The Antibody had a strong signal, but it showed a second allegedly unspecific band. The Antibody was compared to another IL1RAP Antibody, that had a weaker signal but didn´t show an unspecific second band on the membrane. But all in all it is a good strong binding antibody.
|















