Tested Applications
| Positive WB detected in | A549 cells, HeLa cells, SGC-7901 cells, HepG2 cells, NIH/3T3 cells | 
| Positive IP detected in | HeLa cells | 
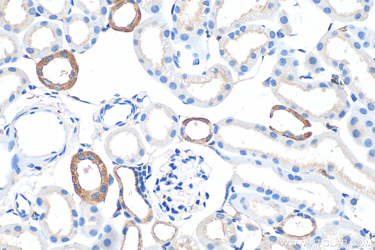
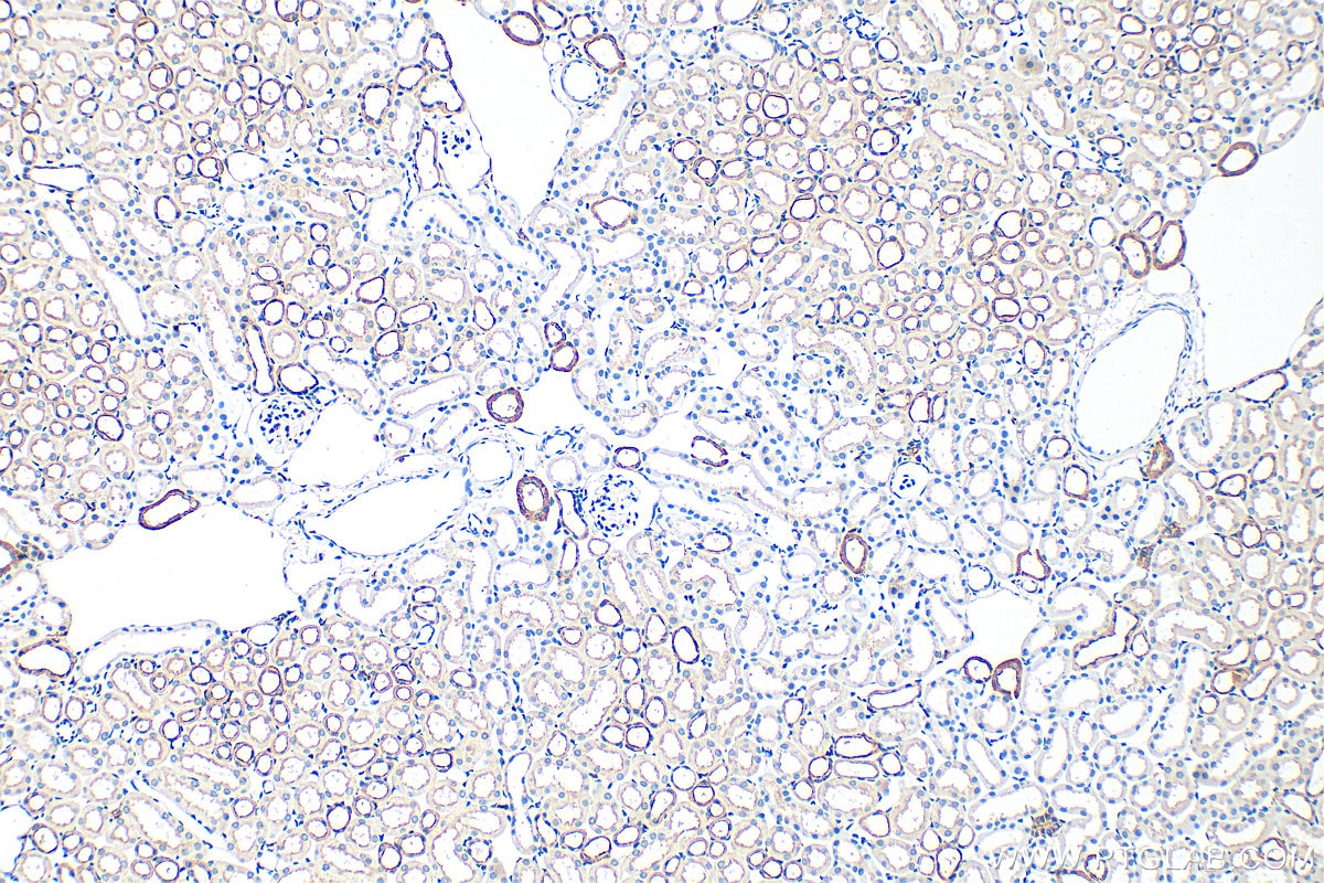
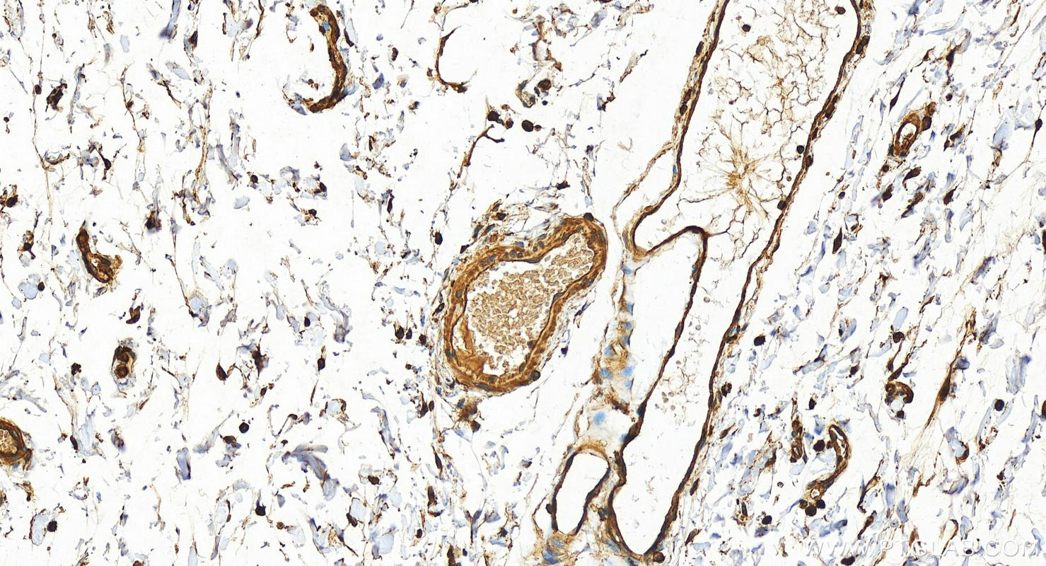
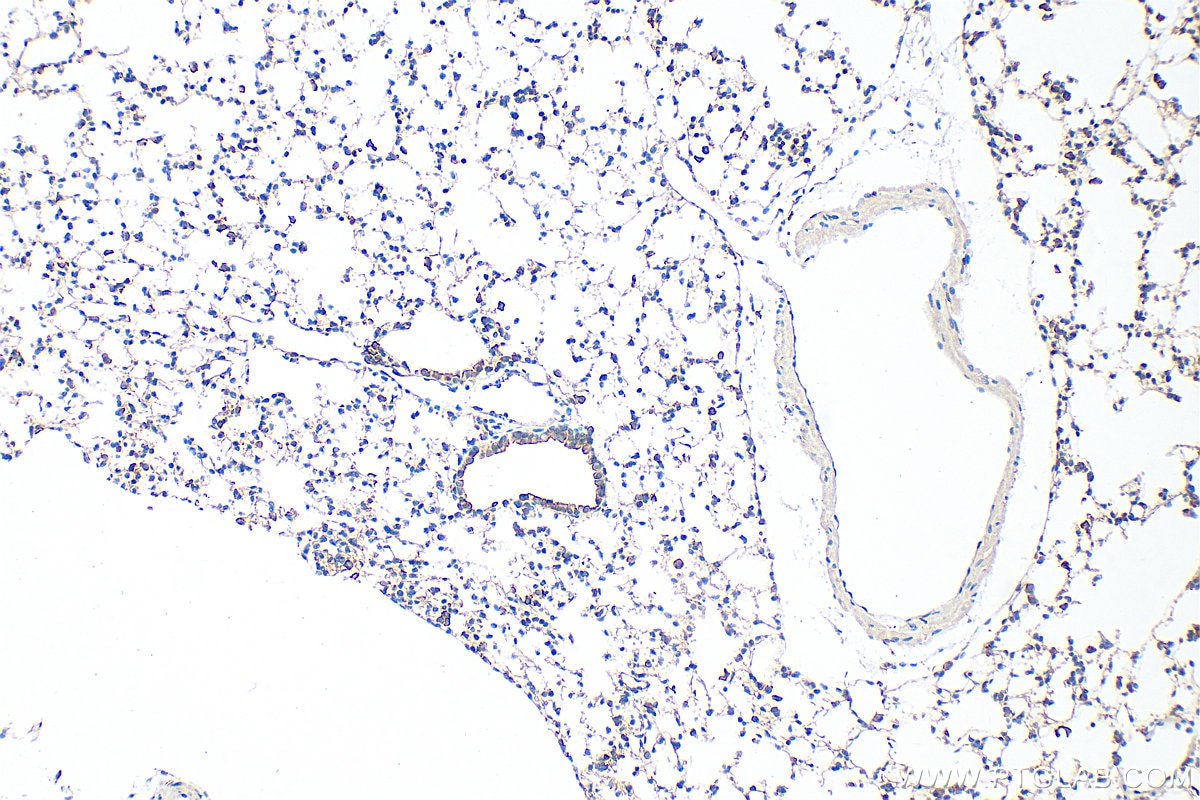
| Positive IHC detected in | mouse kidney tissue, human breast cancer tissue,  human colon tissue,  mouse lung tissue Note: suggested antigen retrieval with TE buffer pH 9.0; (*) Alternatively, antigen retrieval may be performed with citrate buffer pH 6.0  | 
| Positive IF/ICC detected in | MCF-7 cells, HeLa cells, A549 cells | 
| Positive FC (Intra) detected in | HeLa cells | 
Recommended dilution
| Application | Dilution | 
|---|---|
| Western Blot (WB) | WB : 1:2000-1:10000 | 
| Immunoprecipitation (IP) | IP : 0.5-4.0 ug for 1.0-3.0 mg of total protein lysate | 
| Immunohistochemistry (IHC) | IHC : 1:500-1:2000 | 
| Immunofluorescence (IF)/ICC | IF/ICC : 1:200-1:800 | 
| Flow Cytometry (FC) (INTRA) | FC (INTRA) : 0.25 ug per 10^6 cells in a 100 µl suspension | 
| It is recommended that this reagent should be titrated in each testing system to obtain optimal results. | |
| Sample-dependent, Check data in validation data gallery. | |
Published Applications
| KD/KO | See 4 publications below | 
| WB | See 14 publications below | 
| IHC | See 2 publications below | 
| IF | See 1 publications below | 
| IP | See 1 publications below | 
Product Information
22167-1-AP targets IQGAP1 in WB, IHC, IF/ICC, FC (Intra), IP, ELISA applications and shows reactivity with human, mouse samples.
| Tested Reactivity | human, mouse | 
| Cited Reactivity | human, mouse | 
| Host / Isotype | Rabbit / IgG | 
| Class | Polyclonal | 
| Type | Antibody | 
| Immunogen | 
                                             CatNo: Ag17821 Product name: Recombinant human IQGAP1 protein Source: e coli.-derived, PGEX-4T Tag: GST Domain: 478-827 aa of BC151834 Sequence: QLSSSVTGLTNIEEENCQRYLDELMKLKAQAHAENNEFITWNDIQACVDHVNLVVQEEHERILAIGLINEALDEGDAQKTLQALQIPAAKLEGVLAEVAQHYQDTLIRAKREKAQEIQDESAVLWLDEIQGGIWQSNKDTQEAQKFALGIFAINEAVESGDVGKTLSALRSPDVGLYGVIPECGETYHSDLAEAKKKKLAVGDNNSKWVKHWVKGGYYYYHNLETQEGGWDEPPNFVQNSMQLSREEIQSSISGVTAAYNREQLWLANEGLITRLQARCRGYLVRQEFRSRMNFLKKQIPAITCIQSQWRGYKQKKAYQDRLAYLRSHKDEVVKIQSLARMHQARKRYRD Predict reactive species | 
                                    
| Full Name | IQ motif containing GTPase activating protein 1 | 
| Calculated Molecular Weight | 189 kDa | 
| Observed Molecular Weight | 190-195 kDa | 
| GenBank Accession Number | BC151834 | 
| Gene Symbol | IQGAP1 | 
| Gene ID (NCBI) | 8826 | 
| ENSEMBL Gene ID | ENSG00000140575 | 
| RRID | AB_10949193 | 
| Conjugate | Unconjugated | 
| Form | Liquid | 
| Purification Method | Antigen affinity purification | 
| UNIPROT ID | P46940 | 
| Storage Buffer | PBS with 0.02% sodium azide and 50% glycerol, pH 7.3. | 
| Storage Conditions | Store at -20°C. Stable for one year after shipment. Aliquoting is unnecessary for -20oC storage. 20ul sizes contain 0.1% BSA. | 
Background Information
IQGAP1 is a member of a family of scaffolding proteins that interact with signaling and structural molecules. It localizes to sites of cell-cell contact in epithelial cells and regulates distinct cellular processes including cell adhesion, cell migration, extracellular signals through interacting with numerous protein. Multiple studies have shown that IQGAP1 is up-regulated in many human malignancies, such as lung cancer, ovarian cancer, colon cancer, breast cancer, melanoma and HCC. And IQGAP1 plays a critical role in cancer cell invasion.
Protocols
| Product Specific Protocols | |
|---|---|
| FC protocol for IQGAP1 antibody 22167-1-AP | Download protocol | 
| IF protocol for IQGAP1 antibody 22167-1-AP | Download protocol | 
| IHC protocol for IQGAP1 antibody 22167-1-AP | Download protocol | 
| IP protocol for IQGAP1 antibody 22167-1-AP | Download protocol | 
| WB protocol for IQGAP1 antibody 22167-1-AP | Download protocol | 
| Standard Protocols | |
|---|---|
| Click here to view our Standard Protocols | 
Publications
| Species | Application | Title | 
|---|---|---|
Nat Commun Targeting NRAS via miR-1304-5p or farnesyltransferase inhibition confers sensitivity to ALK inhibitors in ALK-mutant neuroblastoma | ||
Cancer Commun (Lond) Glutamine metabolic microenvironment drives M2 macrophage polarization to mediate trastuzumab resistance in HER2-positive gastric cancer
  | ||
Theranostics Anti-allergic drug azelastine suppresses colon tumorigenesis by directly targeting ARF1 to inhibit IQGAP1-ERK-Drp1-mediated mitochondrial fission. | ||
Oncogene The scaffold protein IQGAP1 links heat-induced stress signals to alternative splicing regulation in gastric cancer cells.
  | ||
Oncotarget Diet-induced hypercholesterolemia promotes androgen-independent prostate cancer metastasis via IQGAP1 and caveolin-1. | ||
Front Cell Infect Microbiol IQGAP1 Mediates Hcp1-Promoted Escherichia coli Meningitis by Stimulating the MAPK Pathway.
  | 
Reviews
The reviews below have been submitted by verified Proteintech customers who received an incentive for providing their feedback.
FH JIN-FENG (Verified Customer) (10-01-2025)  | I used the IQGAP1 antibody to screen my CRISPR-generated cells. It produced a highly specific signal, which gave me confidence throughout the screening process. 
 ![]()  | 
FH Joleen (Verified Customer) (06-16-2019)  | The antibody recognizes IQGAP (top band) but also another band at a lower molecular weight. 
 ![]()  | 
FH Chun-Chih (Verified Customer) (01-31-2019)  | Works well in IP at recommended conc. Clear and strong band, 1mg protein lysate per condition. 
  | 





































