Tested Applications
| Positive WB detected in | A431 cells, mouse skin tissue, rat skin tissue. |
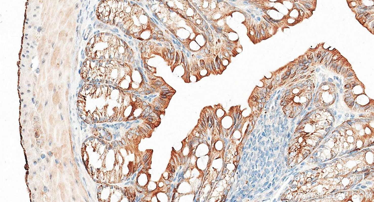
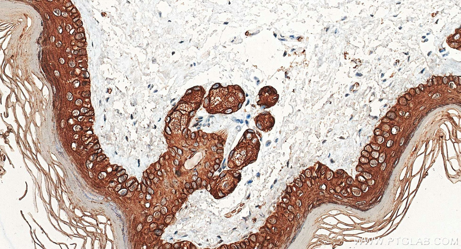
| Positive IHC detected in | human cervical cancer tissue, human oesophagus cancer tissue, mouse colon tissue, mouse skin tissue Note: suggested antigen retrieval with TE buffer pH 9.0; (*) Alternatively, antigen retrieval may be performed with citrate buffer pH 6.0 |
Recommended dilution
| Application | Dilution |
|---|---|
| Western Blot (WB) | WB : 1:5000-1:50000 |
| Immunohistochemistry (IHC) | IHC : 1:500-1:2000 |
| It is recommended that this reagent should be titrated in each testing system to obtain optimal results. | |
| Sample-dependent, Check data in validation data gallery. | |
Published Applications
| IF | See 1 publications below |
Product Information
21725-1-AP targets Cytokeratin 2e in WB, IHC, IF, ELISA applications and shows reactivity with human, mouse, rat samples.
| Tested Reactivity | human, mouse, rat |
| Cited Reactivity | human |
| Host / Isotype | Rabbit / IgG |
| Class | Polyclonal |
| Type | Antibody |
| Immunogen |
CatNo: Ag16384 Product name: Recombinant human KRT2 protein Source: e coli.-derived, PGEX-4T Tag: GST Domain: 210-331 aa of BC096294 Sequence: WELLQQMNVGTRPINLEPIFQGYIDSLKRYLDGLTAERTSQNSELNNMQDLVEDYKKKYEDEINKRTAAENDFVTLKKDVDNAYMIKVELQSKVDLLNQEIEFLKVLYDAEISQIHQSVTDT Predict reactive species |
| Full Name | keratin 2 |
| Calculated Molecular Weight | 639 aa, 66 kDa |
| Observed Molecular Weight | 65 kDa |
| GenBank Accession Number | BC096294 |
| Gene Symbol | KRT2 |
| Gene ID (NCBI) | 3849 |
| RRID | AB_2878914 |
| Conjugate | Unconjugated |
| Form | Liquid |
| Purification Method | Antigen affinity purification |
| UNIPROT ID | P35908 |
| Storage Buffer | PBS with 0.02% sodium azide and 50% glycerol, pH 7.3. |
| Storage Conditions | Store at -20°C. Stable for one year after shipment. Aliquoting is unnecessary for -20oC storage. 20ul sizes contain 0.1% BSA. |
Background Information
Keratins are a large family of proteins that form the intermediate filament cytoskeleton of epithelial cells. Keratin expression is highly regulated, tissue specific, and varies according to cell-state. Type I keratins consist of acidic, low molecular weight proteins with MW ranging from 40 kDa (KRT19) to 64 kDa (KRT9). Type 2 keratins consist of basic or neutral, high molecular weight proteins with MW from 52 kDa (KRT8) to 67 kDa (KRT18).Keratin 2 is a type II cytokeratin. It is found largely in the upper spinous layer of epidermal keratinocytes, and also in other regions, notably the epidermis covering the knee, thigh, and groin.
Protocols
| Product Specific Protocols | |
|---|---|
| IHC protocol for Cytokeratin 2e antibody 21725-1-AP | Download protocol |
| WB protocol for Cytokeratin 2e antibody 21725-1-AP | Download protocol |
| Standard Protocols | |
|---|---|
| Click here to view our Standard Protocols |



















