Ly-6G Polyclonal antibody

Ly-6G Polyclonal Antibody for WB, IHC, FC, ELISA

Cat No. 32346-1-AP

Host / Isotype

Rabbit / IgG

Reactivity

mouse

Applications

WB, IHC, IF, FC, ELISA

Ly6g, Ly 6G, Ly-6G.1

Formulation:  PBS, Azide, Glycerol
PBS, Azide, Glycerol
Conjugate:  Unconjugated
Unconjugated
Size/Concentration: 

-/ -

Freight/Packing: -

Quantity

Please visit your regions distributor:


Tested Applications

Positive WB detected inmouse bone marrow
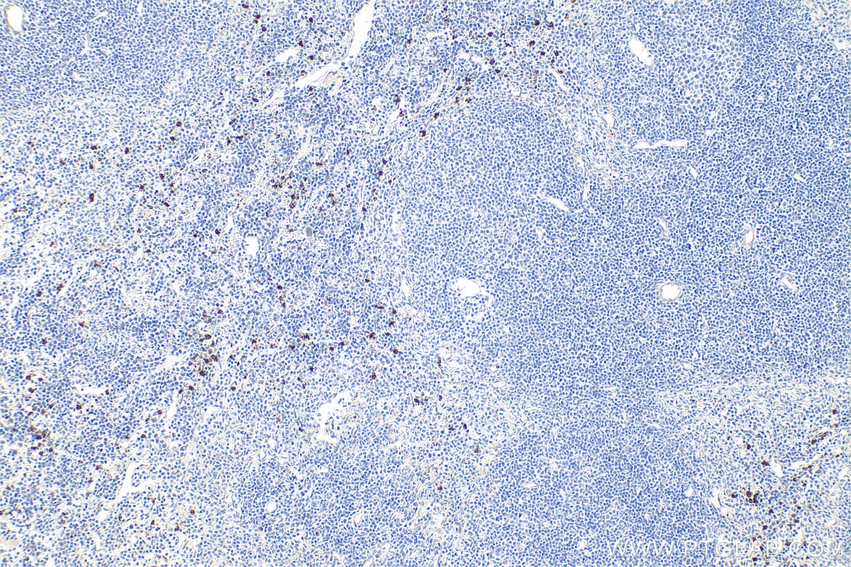
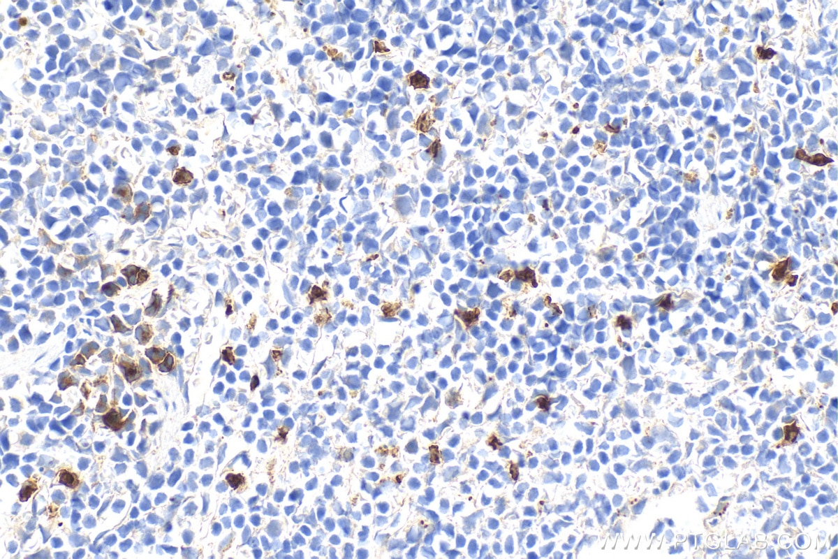
Positive IHC detected inmouse spleen tissue
Note: suggested antigen retrieval with TE buffer pH 9.0; (*) Alternatively, antigen retrieval may be performed with citrate buffer pH 6.0
Positive FC detected inmouse bone marrow cells

Recommended dilution

ApplicationDilution
Western Blot (WB)WB : 1:500-1:2000
Immunohistochemistry (IHC)IHC : 1:1000-1:4000
Flow Cytometry (FC)FC : 0.25 ug per 10^6 cells in a 100 µl suspension
It is recommended that this reagent should be titrated in each testing system to obtain optimal results.
Sample-dependent, Check data in validation data gallery.

Published Applications

IFSee 1 publications below

Product Information

32346-1-AP targets Ly-6G in WB, IHC, IF, FC, ELISA applications and shows reactivity with mouse samples.

Tested Reactivity mouse
Cited Reactivitymouse
Host / Isotype Rabbit / IgG
Class Polyclonal
Type Antibody
Immunogen

CatNo: Eg2609

Product name: Recombinant Mouse Ly-6G protein (rFc Tag)

Source: mammalian cells-derived, V37

Tag: C-rFc

Domain: 21-114 aa of NM_001310438.1

Sequence: AERAQGLECYNCIGVPPETSCNTTTCPFSDGFCVALEIEVIVDSHRSKVKSNLCLPICPTTLDNTEITGNAVNVKTYCCKEDLCNAAVPTGGSS

Predict reactive species
Full Name lymphocyte antigen 6 complex, locus G
Calculated Molecular Weight14 kDa
Observed Molecular Weight 20-30 kDa
GenBank Accession NumberNM_001310438.1
Gene Symbol Ly-6G
Gene ID (NCBI) 546644
Conjugate Unconjugated
FormLiquid
Purification MethodAntigen affinity Purification
UNIPROT IDP35461
Storage Buffer PBS with 0.02% sodium azide and 50% glycerol, pH 7.3.
Storage ConditionsStore at -20°C. Stable for one year after shipment. Aliquoting is unnecessary for -20oC storage. 20ul sizes contain 0.1% BSA.

Background Information

Ly-6G (lymphocyte antigen 6 complex, locus G), also known as Gr-1, is a 21-25 kDa, glycosylphosphatidylinositol-anchored protein expressed on myeloid lineage cells in mouse bone marrow (PMID: 8360469). The expression of Ly-6G increases on neutrophils as they differentiate from immature cells in the bone marrow to mature cells in the blood and spleen (PMID: 8890901).

Protocols

Product Specific Protocols
IHC protocol for Ly-6G antibody 32346-1-APDownload protocol
WB protocol for Ly-6G antibody 32346-1-APDownload protocol
FC protocol for Ly-6G antibody 32346-1-APDownload protocol
Standard Protocols
Click here to view our Standard Protocols

Publications

SpeciesApplicationTitle

J Thromb Haemost

Aptamer BT200 is protective against myocardial ischemia-reperfusion injury in mice

Authors - Xinyuan Chen
mouseIF

J Dent Sci

Neutrophil extracellular traps induced by diabetes aggravate periodontitis by inhibiting janus kinase/signal transducers and activators of transcription signaling in macrophages

Authors - Jing Wen
Loading...
||
New chat

Able

正在加载,请稍候...