Tested Applications
| Positive WB detected in | HeLa cells, mouse lung tissue |
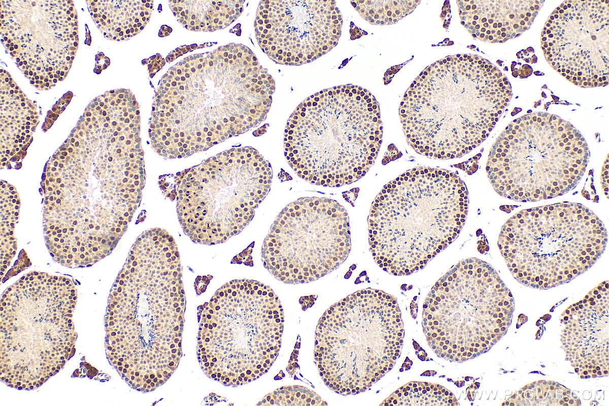
| Positive IHC detected in | mouse testis tissue Note: suggested antigen retrieval with TE buffer pH 9.0; (*) Alternatively, antigen retrieval may be performed with citrate buffer pH 6.0 |
| Positive IF/ICC detected in | A431 cells |
Recommended dilution
| Application | Dilution |
|---|---|
| Western Blot (WB) | WB : 1:500-1:1000 |
| Immunohistochemistry (IHC) | IHC : 1:200-1:800 |
| Immunofluorescence (IF)/ICC | IF/ICC : 1:50-1:500 |
| It is recommended that this reagent should be titrated in each testing system to obtain optimal results. | |
| Sample-dependent, Check data in validation data gallery. | |
Published Applications
| KD/KO | See 1 publications below |
| WB | See 6 publications below |
| IHC | See 2 publications below |
| IF | See 2 publications below |
| ChIP | See 1 publications below |
Product Information
21068-1-AP targets MAZ in WB, IHC, IF/ICC, ChIP, ELISA applications and shows reactivity with human, mouse samples.
| Tested Reactivity | human, mouse |
| Cited Reactivity | human, mouse |
| Host / Isotype | Rabbit / IgG |
| Class | Polyclonal |
| Type | Antibody |
| Immunogen |
CatNo: Ag15200 Product name: Recombinant human MAZ protein Source: e coli.-derived, PGEX-4T Tag: GST Domain: 1-198 aa of BC041629 Sequence: MVPLSLLSVPQLSGAGGGGGEAGAGGGAAAVAAGGVVTTTASGKRIRKNHACEMCGKAFRDVYHLNRHKLSHSDEKPYQCPVCQQRFKRKDRMSYHVRSHDGAVHKPYNCSHCGKSFSRPDHLNSHVRQVHSTERPFKCEKCEAAFATKDRLRAHTVRHEEKVPCHVCGKMLSSAYISDHMKVHSQGPHHVCELCNKG Predict reactive species |
| Full Name | MYC-associated zinc finger protein (purine-binding transcription factor) |
| Calculated Molecular Weight | 477 aa, 49 kDa |
| Observed Molecular Weight | 49-55 kDa |
| GenBank Accession Number | BC041629 |
| Gene Symbol | MAZ |
| Gene ID (NCBI) | 4150 |
| RRID | AB_2878805 |
| Conjugate | Unconjugated |
| Form | Liquid |
| Purification Method | Antigen affinity purification |
| UNIPROT ID | P56270 |
| Storage Buffer | PBS with 0.02% sodium azide and 50% glycerol, pH 7.3. |
| Storage Conditions | Store at -20°C. Stable for one year after shipment. Aliquoting is unnecessary for -20oC storage. 20ul sizes contain 0.1% BSA. |
Background Information
Myc-associated zinc finger protein (MAZ) is a six zinc finger protein with a G-rich binding motif. MAZ is often found at genomic binding sites adjacent to CTCF, a protein which affects large-scale genome organization through its interaction with cohesin (PMID: 33558242). MAZ is widely expressed in most human tissues, such as heart, lung, brain, liver, placenta, testis, colon, peripheral blood leukocytes, skeletal muscle, thymus, pancreas, prostate, thyroid, and adrenal gland (PMID: 35098656). In cancer, MAZ has been proved to be highly expressed in malignant tumors, and to promote cancer progression and metastasis by regulating the transcription of downstream target genes through directly binding with target gene promoters or synergistic action with other transcription factors.
Protocols
| Product Specific Protocols | |
|---|---|
| IF protocol for MAZ antibody 21068-1-AP | Download protocol |
| IHC protocol for MAZ antibody 21068-1-AP | Download protocol |
| WB protocol for MAZ antibody 21068-1-AP | Download protocol |
| Standard Protocols | |
|---|---|
| Click here to view our Standard Protocols |
Publications
| Species | Application | Title |
|---|---|---|
Phytomedicine Formononetin enhances cisplatin chemotherapy sensitivity in osteosarcoma by inducing ferroptosis and reconstructing the immune microenvironment | ||
Genomics PLOD1 promote proliferation and migration with glycolysis via the Wnt/β-catenin pathway in THCA | ||
Oxid Med Cell Longev TUG1/MAZ/FTH1 Axis Attenuates the Antiglioma Effect of Dihydroartemisinin by Inhibiting Ferroptosis | ||
Commun Biol Molecular mechanisms of MAZ targeting up-regulation of NDUFS3 expression to promote malignant progression in melanoma | ||
Alzheimers Res Ther Uncovering the epigenetic regulatory clues of PRRT1 in Alzheimer's disease: a strategy integrating multi-omics analysis with explainable machine learning |











