Product Information
87147-1-PBS targets MUM1 in WB, Indirect ELISA applications and shows reactivity with human samples.
| Tested Reactivity | human |
| Host / Isotype | Rabbit / IgG |
| Class | Recombinant |
| Type | Antibody |
| Immunogen |
CatNo: Ag3371 Product name: Recombinant human MUM1 protein Source: e coli.-derived, PGEX-4T Tag: GST Domain: 1-152 aa of BC008098 Sequence: MLPDRSRAARDRANQKLVEYIVKAKGAESHLRAILKSRKPSRWLQTFLSSSQYVTCVETYLEDEGQLDLVVKYLQGVYQEVGAKVLQRTNGDRIRFILDVLLPEAIICAISAVDEVDYKTAEEKYIKGPSLSYREKEIFDNQLLEERNRRRR Predict reactive species |
| Full Name | melanoma associated antigen (mutated) 1 |
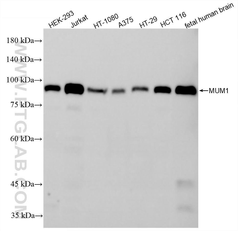
| Calculated Molecular Weight | 18 kDa, 79 kDa |
| Observed Molecular Weight | 80 kDa |
| GenBank Accession Number | BC008098 |
| Gene Symbol | MUM1 |
| Gene ID (NCBI) | 84939 |
| Conjugate | Unconjugated |
| Form | Liquid |
| Purification Method | Protein A purification |
| UNIPROT ID | Q2TAK8 |
| Storage Buffer | PBS only, pH 7.3. |
| Storage Conditions | Store at -80°C. |
Background Information
MUM1, also named as EXPAND1, is an architectural component of the chromatin, which in response to DNA damage serves as an accessory factor to promote cell survival. It is a 53BP1-associated DNA damage-responsive factor. MUM1/EXPAND1 is different to another protein IRF4/MUM1.



